炎炎夏日,出门一定要注意防晒,避免紫外线容易损伤皮肤。那么夏天出门,穿什么颜色的衣服最防晒呢?
01
红色衣服防晒效果更佳
高温天,遮阳伞、防晒衣成了很多人的“刚需”, 每次出门恨不得用防晒衣、防晒帽、太阳伞、冰袖,把自己包裹得严严实实。

当询问市民觉得穿哪种颜色的衣服最防晒,大家不约而同答:黑色。不过,事实却恰恰相反,红色衣服防晒效果更好。

张扬 南京市职业病防治院(南京市皮肤病防治所)副主任医师:
在同等面料下,颜色越深的防晒效果越好。红色优于黑色,黑色优于橘色。

医生解释,深色衣服可大量吸收日光中的紫外线,适合长时间的户外活动,浅色衣物虽然受到的热辐射相对较少,确实会比较凉快,但它对紫外线没什么太大作用,不适合长时间暴露在骄阳下。
防晒面料的选择也有讲究。一般来说,牛仔、灯芯绒等厚重、紧密编织的面料防晒效果最好,但是大夏天穿这种面料肯定不合适。

张扬 南京市职业病防治院(南京市皮肤病防治所)副主任医师
目前防晒衣的主要材质还是化纤成分,化纤成分里面又以涤纶为主,涤纶防晒效果要略优于锦纶。
02
软硬兼施!头皮也要注意防晒
另外还有几个知识点要提醒,宽松的衣服比贴身的防晒效果要好。
其次,大家防晒时会穿长袖,甚至用面纱、口罩遮挡脸部,但却忽略了头部,让整个头皮暴露外晒。医生提醒,头皮娇嫩,也要注意防晒。

张扬 南京市职业病防治院(南京市皮肤病防治所)副主任医师:
软防晒我们主要是用头皮防晒的喷雾,但是不足就是每用一次,每次都要洗头。硬防晒还是我们常规说的戴帽子打伞,还有穿那种带帽的防晒衣。
03
防晒产品使用不当
20岁姑娘查出“白肺”
网红产品防晒喷雾,因为使用方便又有清凉感,成了不少爱美人士的心头好。但近日,浙江绍兴一位20岁的姑娘,因使用防晒喷雾不当,竟查出“白肺”,得了急性过敏性肺炎。
6月17日中午,20岁的绍兴姑娘丽丽(化名)在父母的陪伴下来到医院就诊,她胸闷气急、呼吸非常困难。
丽丽的妈妈说,女儿日常非常注重防晒,中午打算和她一道外出吃饭逛街。为此,丽丽特地用上了新买的防晒喷雾,该防晒喷雾号称针对青少年、学生,想着小孩子都能用,丽丽就更加放心,出门前对着脸和脖子大面积喷射。
当时,丽丽一边和妈妈说话一边喷防晒喷雾,没有屏住呼吸,结果刚喷完就咳嗽不止,而且越咳越凶。
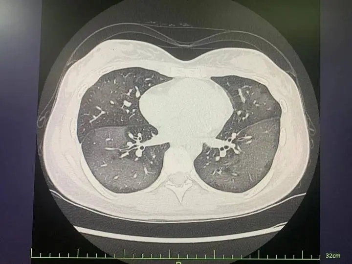
经CT检查发现,丽丽的双肺呈现大范围白色样病变,报告提示“白肺”。

患者肺部CT
医生解释,此类“白肺”与使用防晒喷雾时吸入的有害物质有关,喷雾中的某些化学成分会刺激诱发一系列过敏反应,从而导致广泛的气管、支气管乃至肺水肿,让肺部无法正常工作。
04
防晒措施,过犹不及
一女子过度防晒得软骨病
一位28岁的女子,为了追求皮肤白,不论天气和季节,只要外出就必备遮阳伞,防晒霜每天要涂五六次,从不间断。如此严密的防晒措施,再加上日常饮食不规律,导致她维生素D严重缺乏,患上软骨病,发展到后来连食物都无法咀嚼了。
浙江杭州市第一人民医院皮肤性病科医生说,门诊偶尔会遇到一些“过度防晒”的案例,大多是因为长期不晒太阳导致的骨质疏松。
医生指出,维生素D的缺乏并非一朝一夕不晒太阳所致,它往往是长时间(至少7天以上)缺乏阳光照射累积的结果。
05
如何进行科学防晒?
除了正确使用防晒喷雾,在日常生活中,我们还可以怎样科学防晒呢?
➤防晒不应该漏掉眼晴
顶着大太阳出门,不少怕晒的人都把自己包装严严实实,却唯独忘了眼睛。在夏天,我们的眼睛更需要防晒。像白内障的发病就与日晒明显相关,所以尤其是老人,在阳光特别猛烈的时候出门,特别建议要戴太阳眼镜。
➤10:00-16:00尽量避免晒太阳
随着夏季到来,10:00-16:00是紫外线特别强的时间段,要尽量避免在这个时间段晒太阳。
➤防晒霜要用够
建议日常在出门前15-20分钟涂抹防晒产品。防晒霜用量要足,全面部量以1元人民硬币面积大小产品,厚度应达2mg每平方厘米。涂抹不够达不到防晒效果。当户外活动时流汗、油脂分泌等因素会影响防晒产品的有效性,则需每隔2-3小时重复涂抹。全身曝光部位均需涂抹防晒产品。
➤遮阳帽帽檐要够宽
室外活动阳光剧烈以及对防晒产品过敏的人群,可以通过穿衣戴帽、遮阳伞、戴太阳镜、戴口罩等遮盖手段,尽量避免皮肤直接暴露于阳光下。此外,遮阳帽帽檐的边长最好在7.5cm以上,才有较好的防晒效果。建议选购 UFP(紫外线防护指数)> 25,UA 透过率<5%标识的产品。
综合:广州日报、江苏新闻
点击右上角
微信好友
朋友圈

点击浏览器下方“
”分享微信好友Safari浏览器请点击“
”按钮

点击右上角
QQ

点击浏览器下方“
”分享QQ好友Safari浏览器请点击“
”按钮
