平时母慈子孝,一到考试鸡飞狗跳。40岁出头的董女士(化名)是名老师,平时要面对众多孩子,秉着耐心细心的原则努力教导,但每当忙完学校的事情,下班后回家再辅导自己孩子作业,总有些力不从心,母女俩常“剑拔弩张”。 “明明讲了这么多遍,咋还不会?”
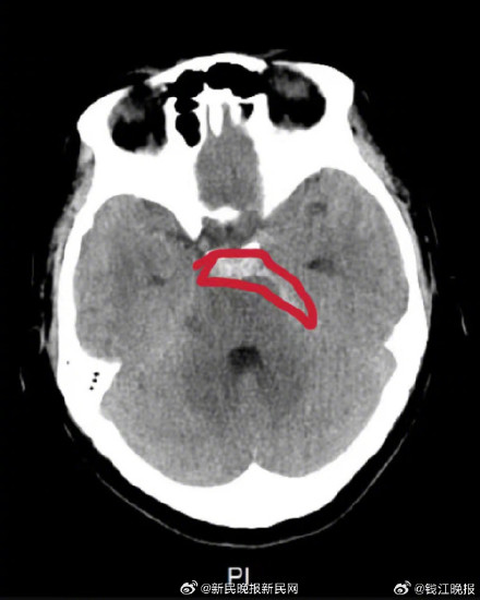
近日,董女士在辅导二年级女儿的作业时,又难免情绪上头。 她突然感觉头痛欲裂,还直犯恶心,在卫生间干呕了一阵之后,她起初以为是最近上班太累了,可休息了一晚情况仍未好转,熬了一阵子后,觉得情况不对的她之后就近来到杭州师范大学附属医院就诊,接诊的神经外科裘五四主任医师为她安排做了头部CT,结果显示:蛛血,建议复查。
拿着检查报告的董女士怎么也想不通,身体健康的自己,怎会脑出血? “幸好董女士的颅内出血量不算多,只需接受保守治疗,注意观察为主,无新发出血可出院。”裘五四主任医师反复强调,住院期间必须保持心情平和,切勿激动,注意休息。目前,董女士已顺利出院。 via潮新闻

点击右上角
微信好友
朋友圈

点击浏览器下方“
”分享微信好友Safari浏览器请点击“
”按钮

点击右上角
QQ

点击浏览器下方“
”分享QQ好友Safari浏览器请点击“
”按钮
