“只是有点便秘,
吃点通便茶就好了……”
这句话,
44岁的廖女士对自己说了整整十年。
她怎么也没想到,
这句话的代价,是一段被切掉的肠子。
从“小毛病”到“切肠子”
10年前,廖女士开始偶尔便秘。起初只是两三天排一次,她觉得“不是什么大事”。
朋友推荐了一款网红通便胶囊,“纯天然、排毒养颜”。她看了看成分表——大黄、番泻叶,都是中药嘛,安全。于是开始吃。效果确实好。吃了就拉,肚子也舒服了。
可慢慢地,她发现自己离不开它了。一旦停药,便秘比之前更严重。于是她加量,从一天一粒变成一天三粒。十年间,她换过无数品牌的通便茶、排毒果冻、西梅汁,只要宣称“通便”,她就敢试。
今年年初,廖女士的肚子突然剧痛,连续五天没有排便。家人把她送到西安市人民医院(西安市第四医院)时,她整个人蜷缩在病床上,脸色发青。
急诊医生紧急安排了保守治疗——禁食、灌肠、补液。三天过去了,肠子纹丝不动。“不能再等了。”主刀医生赵东波副主任医师神情凝重地告诉家属,“肠梗阻严重,必须手术。”
手术台上,医生切开腹腔时倒吸一口冷气——她的一段结肠已经失去弹性,肠壁像被墨水浸泡过一样,呈现骇人的黑色。


正常肠道vs失去弹性的肠道
长期服用刺激性泻药,肠壁被药物反复刺激,色素沉积,神经末梢坏死,肠道再也无法自主蠕动。
最终,廖女士被切除了30厘米的肠管。术后醒来,她看着肚子上的伤口,哭得说不出话。“如果十年前,我能早点去医院看看就好了……”
肠子变"豹纹"
一点也不罕见
无独有偶,
另一位江苏的季女士
也遭遇类似的情况。
50多岁的季女士被便秘困扰了4年多,起初,她通过改变饮食结构、多吃粗粮来改善。
后来,她迷上了网络推荐,开始尝试各种通便茶和保健品。服用后,季女士发现便秘确有好转,就养成了长期服用的习惯,还会定期囤些货在家。当一种茶或保健品没什么效果后,她就会换另一种尝试。
直到2024年4月中旬
季女士发现所有的通便茶
都不管用了
她腹部持续胀痛
才到淮安市中医院肛肠科就诊
不查不知道
一查吓一跳
季女士整条大肠内壁
呈现出棕黑色蛇皮样
黑色素沉着明显
被诊断为"结肠黑变病"
若继续发展
有癌变的可能
经过治疗,季女士的便秘症状有了明显的好转。
医生介绍,临床上许多患者
自行口服药物后筛查肠镜
均有不同程度的结肠黑变病
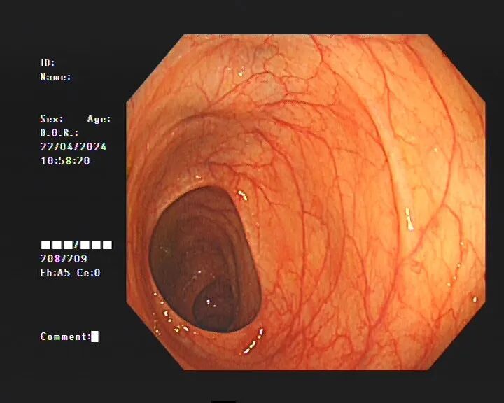
正常的结肠黏膜就像口腔黏膜一样,是淡红色的,看起来光滑平坦,黏膜表面的小血管纹理清晰可见。

正常的肠道
而结肠黑变病的肠黏膜色泽呈现棕色、褐色,有豹纹或者蛇皮一样的条状纹,严重的甚至会变成黑色。

结肠黑变病患者
结肠黑变病是因为结肠壁的吞噬细胞吞噬了褐色素样物质,导致肠壁色素沉着。通俗点说,就是大肠吃多了色素,就变成了黑肠。此外,直肠前突、肠套叠、溃疡性结肠炎等其他疾病也可能导致黑变病。
3·15刚刚曝光了真相
就在上个月,2026年3·15晚会揭开了“网红排毒产品”的遮羞布。
多款热销的西梅汁、酵素果冻、通便茶,被检出非法添加了酚丁类衍生物、比沙可啶等强效泻药成分。
这些成分,从未获批作为食品添加剂。但商家把它们伪装成“天然通便”“0添加排毒”,大肆宣传。
为什么?因为见效快。消费者吃了半小时就想跑厕所,以为自己“终于找到了宝藏产品”。
可他们不知道的是,每一次“立竿见影”的背后,都是肠道神经在无声地抗议。
关于便秘:
我们误解了太多
医学上,便秘不是“感觉排不出来”就算。它有硬指标:
每周排便少于3次;
排便困难、粪便干结;
症状持续6个月以上,才算“慢性便秘”。
很多人偶尔一两天没排便,就焦虑得不行,急急忙忙找“通便神器”。这种焦虑,恰恰成了无良商家的突破口。
便秘的危害,也远不止“不舒服”这么简单。
长期便秘的人,不只是腹胀、长痔疮、肛裂这么“轻”。排便时拼命用力,血压会瞬间飙升——临床上,有多少心梗、脑溢血,就是发生在马桶上。
还有更隐蔽的风险:长期便秘,结直肠癌的发病率会明显升高。
那些“速效通便”
到底做了什么?
市面上常见的“通便茶”“网红西梅汁”,核心套路高度一致:
添加刺激性泻药——番泻苷、比沙可啶、酚酞、大黄素……
这些东西的原理是什么?
简单说,它们是“鞭子”。强行抽打肠道,让它拼命蠕动。一次两次还行,天天抽,肠道神经就坏了。

药物依赖:肠道失去自主蠕动能力,不吃药就彻底“罢工”,医学上叫“泻剂结肠”。
结肠黑变病:肠壁色素沉着,虽然目前认为可逆,但长期刺激下,癌变风险不容忽视。
功能紊乱:腹泻与便秘交替,肠道彻底“疯了”。
你以为在“排毒”,其实是在“毁肠”。
正确的方法
其实没那么复杂
真正的通便,不需要“猛药”。它需要的是耐心和对身体的尊重。
先看生活:
膳食纤维:每日摄入25-30g,如燕麦、红薯、绿叶菜、火龙果。
饮水:每天1.5-2L温水,软化粪便。
运动:快走、揉腹(顺时针按摩左下腹)促进肠蠕动。

用药有讲究:
益生菌:调节肠道菌群,需坚持1-3个月。;
温和泻药:如乳果糖、聚乙二醇,遵医嘱使用。
中药调理:根据体质辨证施治,如气虚者补气健脾,阴虚者滋阴润燥。
警惕“网红产品”陷阱
看配料表:纯西梅汁仅含西梅浓缩汁,若含“番泻苷”“比沙可啶”等成分,立即停用。
拒绝“速效”宣传:天然食物通便作用温和,凡宣称“30分钟通便”的产品,大概率非法添加泻药。
选择正规渠道:商超、官方旗舰店购买,避免三无产品。
便秘不是丢人的事,它是身体发出的信号,提醒你:饮食该调整了,水喝少了,压力太大了,或者——该去看看医生了。
健康没有捷径
善待肠道
它才会善待你
新民晚报综合西安市人民医院 西安市第四医院、新闻坊等
点击右上角
微信好友
朋友圈

点击浏览器下方“
”分享微信好友Safari浏览器请点击“
”按钮

点击右上角
QQ

点击浏览器下方“
”分享QQ好友Safari浏览器请点击“
”按钮
