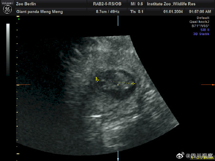
德国柏林动物园当地时间13日宣布,11岁的旅德大熊猫“梦梦”再次怀上双胞胎。柏林动物园介绍,根据目前胚胎的大小,如果一切顺利的话,大熊猫双胞胎预计将于8月底出生。大熊猫“梦梦”于2017年抵达德国,并在2019年成功诞下双胞胎“梦想”“梦圆”。(央视新闻)

点击右上角
微信好友
朋友圈

点击浏览器下方“
”分享微信好友Safari浏览器请点击“
”按钮

点击右上角
QQ

点击浏览器下方“
”分享QQ好友Safari浏览器请点击“
”按钮
