近4个月来
肺炎支原体感染病例
一直占据
儿科、急门诊疾病谱的首位
近日,成年人“中招”等关键词
频频进入大家视野
难道成年人开始进入感染高峰了?
成年人发烧咳嗽老不好也要当心感染了肺炎支原体
30岁的朱女士平时身体不错,近日突然发热,最高体温达39.8°C,伴随畏寒、寒战,四肢乏力。她曾到社区医院就诊,医生给予布洛芬退热、头孢菌素抗感染等常规治疗后,其症状无明显缓解,随后咳嗽明显、咳黄白色黏痰,不易咳出,夜间尤为严重。
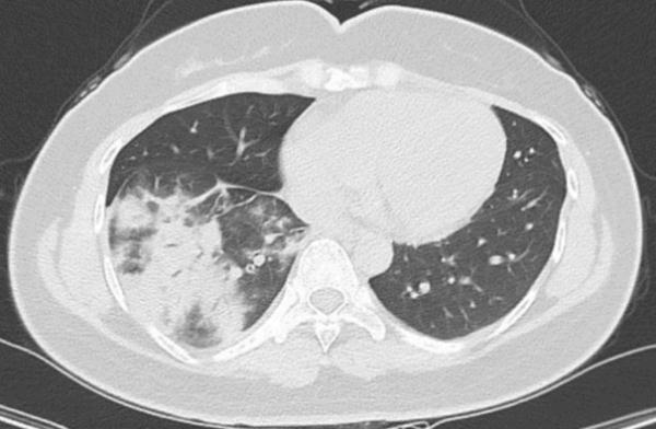
于是,朱女士来到省二医呼吸与危重症医学科门诊寻求治疗。何耀为医师通过胸部CT检查,发现她的右肺下叶有感染性病变,于是将其收治住院,进一步完善检查。

治疗前胸部CT片显示右肺下叶可见多发小片状、斑片状密度增高影
医生通过支气管镜检查,发现朱女士的右下肺支气管有大量黄白色黏痰,通过快速病原学检测发现了“肺炎支原体”。也就是说,朱女士不仅感染了肺炎支原体,病情还比较严重,被确诊为肺炎支原体肺炎。
针对她的情况,医生给予左氧氟沙星针对性抗感染及止咳、化痰等对症支持治疗后,朱女士很快好转出院。
成人也会中招肺炎支原体?专家:属于“有限人传人”
在此秋冬交替之时,对于支原体肺炎,不少人可谓是“谈虎色变”。虽然儿童更容易患上支原体肺炎,但成人同样需要警惕并及时就医。那么,如何判断自己是否得了支原体肺炎?如何避免交叉感染?确诊支原体肺炎后该如何进行治疗呢?

▋肺炎支原体属于“有限人传人”
南方医科大学南方医院疑难感染诊疗中心主任彭劼表示,通过医院发热门诊就诊情况看,确实有成人因感染肺炎支原体就诊,这部分患者约占成人肺部感染患者的20%-30%,总体上讲,肺炎支原体感染还是以儿童为主。
彭劼说,肺炎支原体感染并不像传染病学里包含的甲类传染病、乙类传染病和丙类传染病那样,虽然它有传染的倾向,但传染性并不强,属于“有限人传人”。
何为“有限人传人”?他解释道,只有与患者共处一个密闭场所,如家庭房间、学校教室等,并且有过密切接触,才有可能出现传染。
除了与患者在密闭场所有密切接触外,彭劼分析,成人感染肺炎支原体还与其自身免疫功能低下有关。“免疫功能看不见、摸不着,这段时间你休息不好、疲惫、工作压力大,都有可能引起免疫功能低下,免疫力越弱,越容易感染该病原体。”
▋成人肺炎支原体感染有什么症状?
成人肺炎支原体感染的症状与儿童感染的症状相似,会出现发热,咽痛,阵发性、刺激性干咳等症状,可能伴有头痛、全身肌肉酸痛、流涕等。
彭劼提醒,如果成人出现发热、剧烈咳嗽,甚至有胸闷、气促等表现,就要及时到医院就诊,进行特异性病原体检测,如核酸检测、血清抗体检测等。
▋成人患者首选呼吸喹诺酮类药物
省二医呼吸与危重症医学科主任、主任医师孙瑞琳指出,用于治疗肺炎支原体肺炎的常用药物有大环内酯类、氟喹诺酮类和四环素类,大环内酯类抗生素(如阿奇霉素、克拉霉素)是目前治疗儿童肺炎支原体肺炎的首选药,喹诺酮类和四环素类药物是成人支原体肺炎的首选药物,但目前也有支原体肺炎对大环内酯类抗菌素耐药,所以临床要结合患者个体情况酌情选用。
自行购买和使用抗生素可能不仅无法治疗病情,还可能导致抗生素滥用和耐药性的问题。
▋如何预防,降低肺炎支原体感染风险?
彭劼提醒,有基础疾病的老年人,进行化疗或进行免疫治疗的成年人是易感人群。
预防措施主要包括:
①远离传染源,室内定期开窗通风,去人员密集且封闭场合时建议可佩戴口罩。
②做好手卫生,经常用肥皂(洗手液)流水洗手,或使用含酒精的免洗洗手液擦拭双手。
③多吃新鲜蔬菜和水果,足量饮水,充足睡眠,适量运动,以增强免疫力。
防治多种呼吸道疾病广东省中医药局推荐七款“好方”
秋冬季是一年中呼吸道疾病的高发季节。目前多种呼吸道疾病交织叠加,广东省组织中医药专家编制了《广东省2023年秋冬季中医药治未病指引》,给予相应的指引和预防方建议↓↓↓







综合:羊城晚报·羊城派、南方+、光明日报、南方医科大学南方医院
点击右上角
微信好友
朋友圈

点击浏览器下方“
”分享微信好友Safari浏览器请点击“
”按钮

点击右上角
QQ

点击浏览器下方“
”分享QQ好友Safari浏览器请点击“
”按钮
