日常生活中,头痛、恶心、呕吐常被误认为颈椎病、劳累或感冒所致,尤其对于长期伏案的职场人群,更容易忽视这些症状背后可能隐藏的严重问题。
潇湘晨报记者了解到,近日,湖南省第二人民医院(湖南省脑科医院)神经外科三病区接诊了一位典型患者——从事财务工作的陈女士。因年前工作繁忙,她出现头部不适,以为是颈椎问题,在附近医院按颈椎病治疗,然而一个月后病情不但没有减轻,反而越来越重,陈女士感觉自己不但头越来越痛,清晨还有明显的恶心感,尤其觉得“脑子不清楚了”,每天生活在朦胧中一样,对饭菜味道感觉也越来越迟钝。意识到情况不对劲的陈女士,赶紧在家人的陪同下到上一级医院进行检查,这不查不知道,一查吓一跳,颅内长了一个直径达10cm的巨大肿瘤!陈女士一家人瞬间吓懵了,不知道怎么办才好。

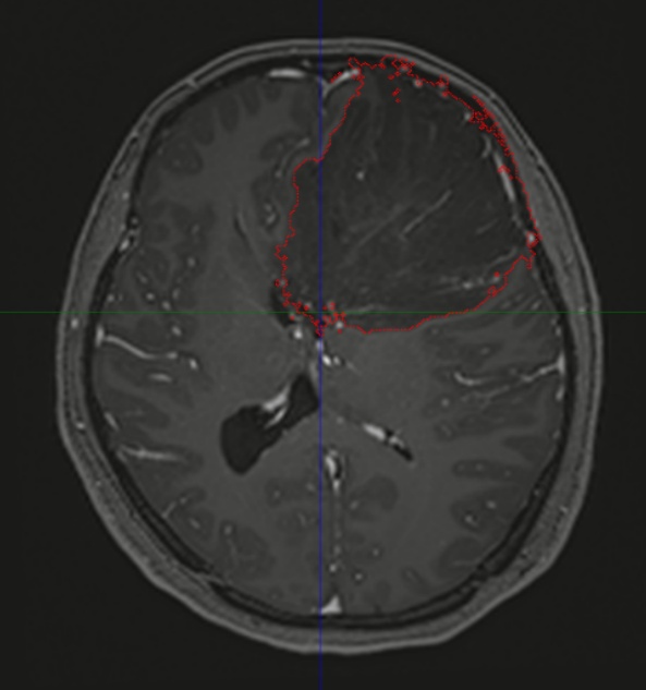
▲图中所示红色区域为肿瘤
所幸就诊医院考虑到手术难度比较大,及时为陈女士办理了转诊,陈女士顺利住进了湖南省第二人民医院(湖南省脑科医院)神经外科三病区病房,经过周密的术前准备,科室匡卫平、陈小峰主任医师团队为其施行了“神经导航联合神经电生理监测下的巨大脑肿瘤切除术”。尽管肿瘤巨大并且挤压功能区,但是在神经导航的引导下,电生理监测精准勾画出了肿瘤毗邻的功能区。
手术中,医生的手术显微镜就像装上了精准的GPS导航系统,精准定位病灶并且有效避开大脑功能区,在彻底切除肿瘤的情况下,对语言、运动、感觉等关键神经功能没有丝毫损伤。术前的各项不适感也完全消失,顺利出院,出院时她感慨:“感觉就像换了一个人”,重获健康生活。
幸运的是,陈女士的脑肿瘤性质偏向良性,后续在分子病理学检查的指导下进入到主要以追踪观察为主的随访阶段。陈女士的经历也给我们提了一个醒。
陈小峰介绍,颅内占位性病变(如肿瘤、囊肿等)早期症状往往不典型,极易与颈椎病、偏头痛、疲劳综合征等混淆,长期伏案、熬夜劳累的中年人群更易误诊。若出现以下症状,务必第一时间就医检查:
1. 持续性头痛,且呈进行性加重,休息或按摩后无法缓解;
2. 头痛伴随恶心、呕吐,且呕吐后头痛未见明显改善;
3. 同时伴有头晕、视力模糊、肢体麻木、记忆力下降等表现。
程序员、财务、教师等长期低头、高压工作的人群,切勿将头痛简单归因于颈椎问题,盲目推拿或自行用药只会延误病情。

▲患者向医生表示感谢
传统脑部手术因脑组织结构复杂、病灶位置隐蔽,常面临定位困难、易损伤功能区的挑战。如今,神经导航与神经电生理监测的联合应用,正推动颅脑手术迈入“精准微创时代”:
1.神经导航:术前通过影像数据构建个体化大脑三维模型,术中实时引导手术器械精准抵达病灶,实现“指哪打哪”,在最大限度切除病变的同时,有效保护正常脑组织;
2.神经电生理监测:术中持续监测脑功能区神经电活动,一旦触及关键神经区域即刻预警,帮助术者精准规避,全力守护语言、运动、认知等重要功能,术后恢复更平稳,并发症显著减少。
匡卫平提醒,头痛头晕绝非小事,尤其当伴有恶心、呕吐时,更需高度警惕。颅内病变唯有早发现、早诊断、早治疗,才能有效降低手术风险,最大限度保留脑功能,避免病情加重甚至危及生命。一旦出现头部异常不适,需及时前往正规医院神经外科就诊检查。
潇湘晨报·晨视频记者刘畅 通讯员周彬
点击右上角
微信好友
朋友圈

点击浏览器下方“
”分享微信好友Safari浏览器请点击“
”按钮

点击右上角
QQ

点击浏览器下方“
”分享QQ好友Safari浏览器请点击“
”按钮
