近期
广东惠州一名中年女性
因持续高热、气喘被紧急送医
双肺全白,生命危在旦夕
经过12天的抢救才脱离危险
而这一切
竟与家中的鹦鹉有关
经医院证实
这场疾病的元凶是“鹦鹉热”

无独有偶
武汉市民陈女士4月初出现不适
以为是感冒
自行服用消炎药、抗病毒药
一周后体温还是居高不下
在家人陪同下来到医院就诊
被确诊患上鹦鹉热衣原体肺炎
医生判断
这可能与其不当处置乌鸡有关
加上陈女士有10年糖尿病史
长期血糖控制不佳
导致免疫功能受损增加了感染机会

医生在为患者查房。通讯员周珊 摄
“我还以为是感冒
没想到竟是买了只活乌鸡
感染上‘鹦鹉热’。”
4月15日
各项炎症指标恢复正常
肺部病灶明显吸收的陈女士
康复出院
什么是“鹦鹉热”
“鹦鹉热”是由鹦鹉热衣原体所引起的一种人畜共患传染病,最初发现本病多见于鹦鹉玩赏、喂养者,故命名为“鹦鹉热”,后来发现 几乎所有类型的鸟类及鸡、鸭等家禽都可感染鹦鹉热衣原体。
注意区分!早期症状类似感冒
中山大学附属第一医院重症医学科主任医师刘紫锰提醒,“鹦鹉热”早期症状类似感冒,鹦鹉热衣原体侵入人体后,潜伏期一般为1~2周。
最常引起肺炎,表现为发热、咽痛、咳嗽、呼吸困难以及头痛、肌肉酸痛等流感样症状。

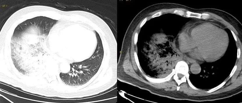
鹦鹉热衣原体肺炎影像示例。图源:江苏省人民医院
相比于一般细菌引起的肺炎,“鹦鹉热”常伴有各种各样的肺外表现,如神经系统症状(头痛、精神状态改变)、消化道症状(呕吐、腹痛,肝功能异常)。
部分病例可致重症肺炎,甚至出现呼吸衰竭、心肌炎、脑炎等严重并发症,危及生命。
医生提醒:发热别硬扛
长江航运总医院·武汉脑科医院呼吸与危重症医学科主任王倩提醒:
“鹦鹉热”,人群普遍易感,感染后不能获得持久免疫,容易复发及再次感染。
在接触鸟类或禽类时,应做好个人防护措施,如戴上手套及外科口罩等。
接触鸟类排泄物及分泌物后,要用流动的清水和肥皂彻底洗手。
若不慎被鸟类挠伤,要及时消毒清洁伤口,必要时就医;糖尿病等慢病患者若接触禽类后发热,应尽早就医并主动告知暴露史。
综合国家应急广播、惠州疾控、央视新闻客户端、深圳卫健委、新闻晨报
点击右上角
微信好友
朋友圈

点击浏览器下方“
”分享微信好友Safari浏览器请点击“
”按钮

点击右上角
QQ

点击浏览器下方“
”分享QQ好友Safari浏览器请点击“
”按钮
