“热射病”作为最严重的中暑类型,是夏季常见的健康隐患。但你知道吗,在寒冷的冬季,也会发生中暑!
生活在杭州的韩爷爷(化名)每年一到冬天,就喜欢到洗浴中心蒸个桑拿澡,一待就是一整天,别提有多舒服了。今年冬天依旧如此,已经84岁的他,只要没什么特别的安排,总能在桑拿房找到他。
家人也曾劝阻过韩爷爷蒸桑拿,毕竟老人年逾八旬,还有高血压,但韩爷爷对蒸桑拿充满了执念,怎么劝都不肯放弃这一大爱好,无奈的家人也就不再阻拦了,只能一遍遍提醒他“适可而止”。
可韩爷爷哪还听得进去啊,他唯独看到了蒸桑拿的好处,却忽略了潜在的危险……
去年12月底的一天,他又如往常一样在午后刚吃完饭就去了洗浴中心,刚进去没多久,整个人直接昏了过去,顿时口吐白沫,中午吃进去的食物全都吐了出去。周围的人看到后慌了神,赶紧拨打120把他送到了最近的医院。
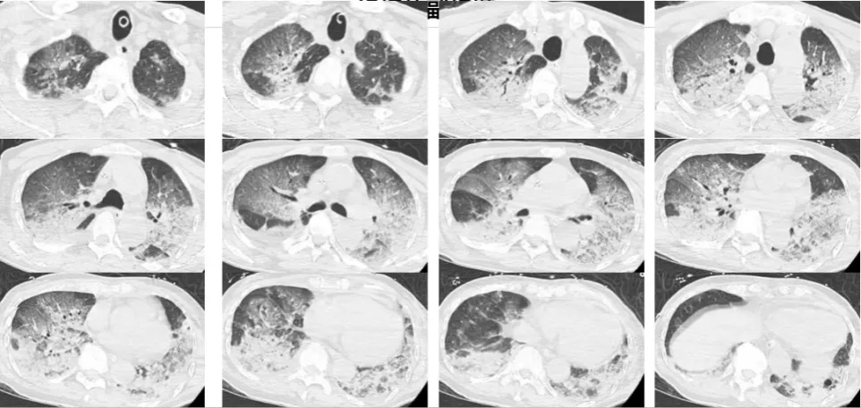
蒸个桑拿,把肺蒸“白”了
接诊后,医生们一度怀疑韩大爷有肺栓塞或者脑梗,韩大爷意识不清,血压下降、心率也降到30次/分,氧饱和度只有80%到90%之间,急查血气显示pH仅有7.094,二氧化碳分压高达77.4mmHg,有明显的Ⅱ型呼衰和呼吸性酸中毒,于是立即启动抢救程序。韩大爷插管后被立即送到CT室进行了头颅和胸部CT和肺血管CTA检查。
结果一出来,大家吓了一跳,两肺全白了!
医生检查后排除了脑中风和肺栓塞的可能性,经过及时抢救,韩爷爷各项检查指标也有了明显改善,但问题是到底是什么病导致这样的白肺呢?

医院供图
结果竟是“热射病”惹的祸
当地医院立即联系了杭州市第一人民医院呼吸内科主任医师沈凌进行会诊,最终韩爷爷被确诊为热射病诱发的肺水肿。
这可是冬天啊,怎么会得热射病呢?
沈凌分析,韩爷爷入院时降钙素原有明显增高,而非感染性疾病能导致降钙素原升高的有十几种,没有一种能和患者的情况对得上号,反而与热射病症状相符。原来,热射病会导致降钙素原(PCT)增高,主要与机体在热射病状态下出现的应激反应、炎症反应以及器官功能损伤等因素相关。
在桑拿房这种高温高湿的特殊环境,人体皮肤散热会变得极为困难,汗液无法正常排出,就像被“锁”在了体内。这种情况下也会导致体内热量大量积聚,即便在冬天,也完全有可能出现类似夏天热射病的症状,尤其是有基础疾病的老年人。
热射病发生后,脱水是常见的后果。脱水会导致患者血压下降,更严重的是,它还会对心肌造成损害,心功能会受到极大影响。在这种情况下,很容易出现心功能短暂的急性心衰。心脏的泵血功能一旦出现问题,大量血液就会淤积在肺部血管,进而引发肺水肿。
中暑并非夏季的“专属疾病”
在寒冷的冬季,很多人选择进入温暖的浴缸泡一个热水澡,既可以放松身心,又能够驱散寒意。殊不知,这样一冷一热很容易导致“热休克”。
冬季泡澡时,若水温过高或者浴室环境过热,会导致身体出汗过多,血管扩张,血压下降,从而引起休克。沈凌表示,其主要原因是温度变化过于剧烈, 有些人会因温差过大造成循环系统负担增加,不仅导致脑中风或心血管疾病突发,严重者会引发突然休克。尤其是患有动脉硬化、糖尿病、高血压、肥胖症、高脂血症、高尿酸血症的人,以及高龄老人等。
沈凌提醒,冬季洗澡牢记三点,预防热休克:
1、消除环境间的温差:在更衣室(脱衣服的地方)、走廊、厕所等感觉很冷的地方,安装小型取暖器,进入浴室前提前预热身体。
2、饭后、酒后不要立即洗澡:饭后血液会聚集到消化器官以消化食物,血压会稍稍降低;酒精具有扩张血管的作用,在喝酒过程中和酒后的血压会有所下降。此时在超过42℃比较烫的热水中泡澡,可能会出现一时性的血压大幅上升,剧烈波动,导致热休克。因此建议饭后一小时或酒后稍事休息再沐浴。
3、寒冬洗澡前尽可能告知身边人:发生热休克的早期患者可能有头晕、胸闷、胸痛等表现,此时如果身边人能及时发现,可以最大程度减少不良预后的发生。
淋浴会比泡澡更安全吗
沈凌指出,不一定。一方面,长时间站立在花洒底下,血液随着重力容易流向两条腿,使得回心血量减少,也就是心脏可以重新向全身分配的血液变少了,所以容易晕厥。
另一方面,机体原本可以让交感神经兴奋来代偿上述过程,但一些人也许因为个体差异,这种机制不被激活的同时,反而激活了迷走神经,起到和交感神经完全相反的作用,让回心血量进一步减少。这种情况叫做血管迷走性晕厥。
这时候容易手脚和口唇发麻、头晕目眩、站立不稳,有的人还会冒冷汗,如果出现这种情况,除了尽可能及时呼救,可以立即平躺抬高下肢,让血液尽可能向心脏回流。
转自 | 潮新闻
点击右上角
微信好友
朋友圈

点击浏览器下方“
”分享微信好友Safari浏览器请点击“
”按钮

点击右上角
QQ

点击浏览器下方“
”分享QQ好友Safari浏览器请点击“
”按钮
