又到杨!梅!季!
酸甜可口的杨梅
一直以来都是水果界的顶流
但TA同时也是
让医生头痛不已的水果之一
· 因摘杨梅坠伤导致骨折的
· 杨梅吃多了胃溃疡、胃穿孔、高血糖的
· 不吐杨梅核导致肠梗阻、卡气管里的



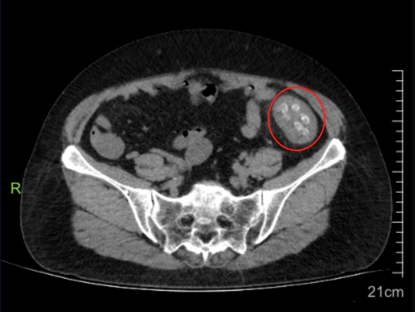
近期,浙江绍兴市人民医院肛肠科李振军博士在门诊遇到了一位王阿姨,因为肚子胀,大便几天没解,由儿子陪同来肛肠科就诊,李博士让王阿姨完善了腹部CT检查,检查结果提示:降结肠处肠管扩张明显,里面可看到数十颗圆圆的阴影,肠壁也有增厚表现。

图/腹部CT:红圈处即考虑是杨梅核
由于最近杨梅逐渐上市,坊间一直有吃杨梅核可以清肠解毒的传闻,李博士便仔细询问王阿姨,最近是否吃了挺多杨梅,还把核吞下去了?王阿姨随即表示是吃了几颗,但往年也会把杨梅核吞下去,从没出现肚子痛的情况,今年怎么会这样……
考虑到王阿姨存在肠梗阻症状,李博士安排王阿姨先住院。经过2天对症治疗后,王阿姨梗阻症状逐渐缓解了,大便通畅、肚子不胀了。
然而!后续的结肠镜检查结果令人意外:结肠发现了一处肿物,导致肠腔明显狭窄。

图/位于结肠的肿瘤
到这里,王阿姨患病的前因后果就清晰了——
根本原因是结肠长了肿瘤,这颗肿瘤平时没有明显的症状,故而一直没有被发现;吞下的数十颗杨梅核,被卡在结肠肿瘤这里,引起了腹痛和腹胀,是导致本次起病的诱因。
“吃杨梅不吐核”的举动误打误撞,让结肠肿瘤现出了原形。
随后由应晓江主任和李振军博士为王阿姨施行了腹腔镜结肠肿瘤切除术,好消息是,顺利接受完手术后的王阿姨目前正在慢慢恢复中。
医生提醒
杨梅核“清肠解毒”的功效存疑,需谨慎!
应主任告诉我们,杨梅核“清肠解毒”的功效是没有科学依据的,相反,我们的胃肠道无法消化坚硬的杨梅核。不慎吞入几颗,肠道尚能排出;
然而,当大量杨梅核堆积在肠道,轻则引起梗阻,重则导致肠穿孔、危及生命;
如果肠道原本就有疾患,再吞食大量杨梅核,则成为压垮健康的最后一根稻草!
重视肠道健康,记得开展结肠肿瘤筛查!
此外,我们也要重视自身的肠道健康,绝大部分结肠肿瘤在早期没有任何症状,早就诊、早筛查、早治疗是预防结肠肿瘤最有效的手段。
常规的结肠肿瘤筛查手段主要有以下几种,一种是大便隐血检查,另一种是高危因素问卷调查,如果隐血检查阳性或问卷调查提示高危风险的,则医生会建议进一步做结肠镜检查。还有一种是多靶点粪便 FIT-DNA 联合检测,通过检测粪便脱落细胞的情况,筛查出结肠肿瘤高风险人群。

图/肠癌的筛查方法
转自:绍兴市人民医院
点击右上角
微信好友
朋友圈

点击浏览器下方“
”分享微信好友Safari浏览器请点击“
”按钮

点击右上角
QQ

点击浏览器下方“
”分享QQ好友Safari浏览器请点击“
”按钮
