惊险!
连续5天熬夜刷手机
浙江丽水一小伙突发心肌梗死
医生连夜抢救
救回一命
1
连着5天玩手机到凌晨2点多
才去睡觉,突发心肌梗死
小李(化名)家住市区,今年27岁,是一名自由职业者。他平时作息很不规律,喜欢熬夜刷手机,每晚都睡得很迟。平常也不太运动,还喜欢吃外卖、喝奶茶,导致体重严重超标,甚至体检时,抽出来的血液都呈牛奶色。
不久前,他迷上了一款手机游戏,连着5天,都玩到凌晨2点多才去睡觉。
第6天晚上9点多,他在和几个朋友一起打麻将时,突然感到胸部疼痛难忍,还有点透不过气来。很快,剧烈的疼痛让他满头大汗、浑身无力。朋友见状,立即拨打“120”急救电话,将其送往市人民医院急救中心抢救。

急救医生给小李做了心电图检查,结果提示发生了急性心肌梗死。
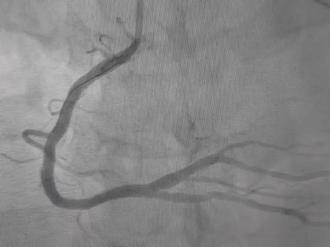
急性心肌梗死(AMI),是指冠状动脉闭塞,血流中断,使部分心肌因严重的持久性缺血而发生局部坏死。经急诊冠脉造影检查,发现小李的右冠状动脉被完全堵死了,情况十分危急。
“ 急性心肌梗死的危害非常大,是临床导致猝死的主要原因之一。”丽水市人民医院心血管内科主任梅益斌告诉记者,心肌一旦坏死就无法恢复,即使抢救成功,也可能留下后遗症,引起心功能下降。因此,对于心梗患者的抢救越早越好,尽可能挽救更多健康的心肌细胞。

△导丝穿过堵塞部位,打通了动脉
心血管内科团队第一时间就位,连夜展开抢救。手术中,梅益斌从梗塞部位抽吸出大块红色血栓,并成功植入一枚支架。经过抢救,小李胸痛等症状明显好转。经过几天的住院治疗,患者病情好转,已于日前康复出院。
2
越来越多的年轻人被急性心梗 “光顾”
与生活习惯有很大关系
梅益斌提醒,近年来,越来越多的年轻人被急性心梗 “光顾”。研究表明,心梗年轻化与现代人的生活习惯有很大关系。
因此,他建议,预防心梗,请做好以下几方面:
生活有规律,早睡早起,每晚睡足8小时,避免熬夜工作、精神紧张;
坚持规律运动,避免久坐,坚持适度的有氧运动,保持正常体重、增强心肺功能;
以低盐低脂、清淡饮食为主,按时进餐、饮食有节;
戒烟限酒,吸烟与冠状动脉硬化明显相关,大量饮酒可使血压升高,增加心脏负担。



幸亏抢救及时
否则后果不堪设想
年纪再轻也要减少熬夜
转自:丽水网
点击右上角
微信好友
朋友圈

点击浏览器下方“
”分享微信好友Safari浏览器请点击“
”按钮

点击右上角
QQ

点击浏览器下方“
”分享QQ好友Safari浏览器请点击“
”按钮
