@所有人:当前呼吸道传染病高发!这类人群更易“中招”!

2024-01-22 13:11来源: 北京交通广播

调查问题加载中,请稍候。
若长时间无响应,请刷新本页面

  导 读

  目前,北京仍处于呼吸道传染病的高发季节,并呈现出多种病原体共同流行的态势。监测数据显示,近一周北京市哨点医院流感样病例中流感病毒阳性率为49.9%,新冠病毒变异株JN.1的占比也逐渐增加。

  面对甲流、乙流、腺病毒等多种呼吸道病原体,我们应该注意哪些内容?

  上门取样检测是否必要?

  什么时候应该去医院就诊?

  一起来看北京交通广播记者的报道。

  多种病原体叠加流行

  中午11点多,北京大学人民医院发热门诊的病人接连不断。近期从早晨一直到晚上12点前,发热门诊基本都是人流集中的情况,每天的门诊接待量超300人次,是日常的3倍左右。

  市民程女士发烧4天,来医院后被确诊为乙流。她表示,上周末晚上发烧到38℃,周一温度稍有降低,但本周三的时候又发烧到38℃。除了发烧之外,她还存在咳嗽和肌肉酸痛的症状。

@所有人:当前呼吸道传染病高发!这类人群更易“中招”!

  北京大学人民医院发热门诊/记者拍摄

  孙女士的女儿今年7岁,从5天前开始发烧,目前怀疑是腺病毒感染。孙女士表示,孩子发烧症状非常明显,最开始的时候39℃多,最近是一到38.5℃就给她吃退烧药,还有点咳嗽,但是咳嗽症状也不严重。

@所有人:当前呼吸道传染病高发!这类人群更易“中招”!

  北大人民医院发热门诊的病人/记者拍摄

  市民杜女士最近也出现了呼吸道感染的症状,居家自测后发现是新冠感染。她表示周日下午鼻子有一些不通气,嗓子也有一些疼,但没发烧。美团快检显示是新冠阳性。杜女士说,她这次是二阳,到现在为止也没有发烧,食欲没有影响,自己用了消炎药和感冒药,这几天就是正常感冒的一个症状。

@所有人:当前呼吸道传染病高发!这类人群更易“中招”!

  患者进行采血/记者拍摄

  北京市疾病预防控制中心1月17日发布,近一周北京市哨点医院流感样病例中流感病毒阳性率为49.9%,比去年12月初降低了近10个百分点,乙型流感病毒占比增加到88.5%,是当前主要流行株。冬春季节是各种病原体的流行高峰期。

  北京大学人民医院儿科主治医师丁明明介绍,目前,除了乙流和甲流之外,腺病毒、呼吸道合胞病毒、肺炎支原体等多种病原体都在共同流行。她表示,目前能查出来的病原体比例中,有一半是流感,这一半里,可能60%~70%是乙流。除了流感之外,剩下的病毒像腺病毒、呼吸道合胞病毒、支原体现在还是存在。当然还有一些少见的病毒,像鼻病毒、人偏肺病毒、肠道病毒等等。

@所有人:当前呼吸道传染病高发!这类人群更易“中招”!

  北京大学人民医院儿科/记者拍摄

  JN.1变异株占比增加

  除此之外,近一周哨点医院流感样病例中新冠病毒阳性率为1.8%,以XBB变异株为主,JN.1变异株占比逐渐增加,新冠疫情呈逐步上升趋势。北京佑安医院感染综合科主任医师李侗曾介绍,JN.1变异株的传播能力有所增强。

  JN.1变异株较之前的病毒株又增加了几十个位点的变异,有可能导致它更容易入侵人的呼吸道细胞,对既往人们产生的针对新冠的抗体是有逃逸能力的。李侗曾说,从全球来看,在很多国家和地区,JN.1已经成为了最主要的毒株,说明它确实免疫逃逸能力更强,传播力会更强。有可能在中国也会出现输入病例,并带动本土病例增加。

@所有人:当前呼吸道传染病高发!这类人群更易“中招”!

  全国新型冠状病毒感染本土病例变异株 变化趋势/源自中国疾控中心官网

  但目前还没有证据表示JN.1变异株的致病力增强。南方医科大学公共卫生学院教授赵卫表示,JN.1变异株引起的症状和以前的奥密克戎变异株是比较接近的,没有重症率提升的现象。中国已经有一些JN.1变异株的感染者,目前均是轻型或者是没有症状的。JN.1变异株的传播范围可能会增加,但是对健康的威胁或者对公共卫生的风险还是比较低的。

@所有人:当前呼吸道传染病高发!这类人群更易“中招”!

  2023年12月全国新冠病毒感染新增重症和 死亡病例报告情况/源自中国疾控中心官网

  多种病原体如何防治?

  甲流、乙流、腺病毒、新冠等呼吸道传染性疾病的症状基本相似,包括发热、鼻塞、咽痛等等。北京大学人民医院儿科主治医师丁明明介绍,流感比较突出的特点是容易烧的高,而且容易出现肌肉酸痛;支原体容易发生的时节是晚秋和初冬,它的特点是容易引起大孩子的刺激性咳嗽,容易走支气管和走肺;腺病毒感染的人群相对也偏大一点,它的特点就是烧的比较高,嗓子疼,可能会出现脓点,眼睛容易充血;婴幼儿容易得呼吸道合胞病毒感染,容易咳嗽,容易喘起来。

@所有人:当前呼吸道传染病高发!这类人群更易“中招”!

  医院就诊的患者和家属/记者拍摄

  在治疗方面,流感和新冠有相应的特效药物,对于一般的呼吸道传染疾病,大多是对症治疗。北京大学人民医院感染科主治医师王越介绍,对于新冠的治疗,一类就是3CL蛋白酶抑制剂,还有就是RNA聚合酶抑制剂;流感就是用奥司他韦和玛巴洛沙韦;支原体可以吃阿奇霉素,但是阿奇霉素耐药率是比较高的,用得比较多的就是左氧氟沙星和莫西沙星,但是孩子用不了,18岁以下禁用。

  对于没有特异性治疗的病毒感染,王越表示,他首先推荐的是靠自己的抵抗力去抵御病毒。其实医生更侧重是一些对症的治疗。如果体温升高了,对症用一点退热药。如果咳嗽或者是有痰又不好咳,可以用一点对症止咳的或者是对症化痰的药。

@所有人:当前呼吸道传染病高发!这类人群更易“中招”!

  医院分诊台/记者拍摄

  每年秋冬都是多种病原体肆虐,呼吸道感染的高发季节。目前,甲流、乙流、腺病毒、新冠、呼吸道合胞病毒等混合感染的病人不在少数,免疫力低下的人群更容易“中招”。北京大学人民医院儿科主治医师丁明明表示,混合感染一般发生在接触过不同感染源的人。如果这个时候不好好休息,喝水特别少,情绪低落,那免疫细胞的监视能力,也就是发现苗头就把敌人压住的能力下降的话,那就可能会感染上。

  另外,也有可能当人体先感染一个病原体,在还没完全康复,抵抗力仍然下降的时候,再碰到另一个病原体,从而导致混合感染。丁明明提示。一次感染,觉得好像要见好的时候,突然病情又加重了,这个时候一定要警惕混合感染。

@所有人:当前呼吸道传染病高发!这类人群更易“中招”!

  医院发热门诊/记者拍摄

  新冠JN.1变异株的传入,可能会增加呼吸道疾病叠加感染的风险。北京佑安医院感染综合科主任医师李侗曾分析,现在,流感、呼吸道合胞病毒、腺病毒、肺炎支原体等多种病原体共同流行,有些人可能会反复感染、重叠感染。如果JN.1变异株进入国内,有可能会增加新冠流行的风险,可能会让现在的呼吸道感染的情况更加复杂、尤其是脆弱人群,像老年人、免疫力低下的人群、有基础疾病的人群,可能会面临更多呼吸道感染的风险。

  加强监测,科学就医

  在多种呼吸道病原体混合感染的背景下,一款居家自查的产品吸引了大家的目光。在家就可以检测12种呼吸道病原体,听起来似乎是比较方便快捷,但真的有必要吗?

  北京大学人民医院感染科主治医师王越表示,检验结果只是一个方面,疾病的诊断还需要依靠专业人士的综合判断。

  一方面,自己采样,上门收样,可能采的不到位,会从一定程度上影响检测的结果。另一方面,即使在家出了症状,但过早的进行检测,病原体的量太低,机体也没调动起来,也不见得会拿到一个阳性的结果。另外,有一些检测出来的病原体不见得一定是导致本次生病的病原体,它可能是我们人日常也会携带的。是不是致病,还需要结合整体症状和一些影像学,或者是抽血去评估。王越强调,不能被检验牵着鼻子走,诊疗一定是一个非常综合的考量。

@所有人:当前呼吸道传染病高发!这类人群更易“中招”!

  12种呼吸道病原体相关检测报告/源自网络

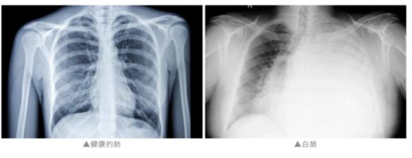
  近日,“女子硬扛流感10天白肺”的话题登上热搜。此前报道:流感≠感冒!女子硬扛流感10天险丧命!有这些症状拖不得

  王越表示,出现这种情况的患者大都存在一定的基础疾病,比如,一些肺部的疾病,慢阻肺、哮喘等等,或者有一些心脏,包括血管的问题。有的患者还有一些肿瘤,或者正吃着一些影响免疫功能的药物等等,这些人都是高危人群。还有一部分人可能确实发展成肺炎了,类似“病毒开路,细菌捣鬼”,可能混合了其他的问题。

@所有人:当前呼吸道传染病高发!这类人群更易“中招”!

  白肺相关情况/源自网络

  因此,呼吸道疾病的患者需要观察自己的症状,如果出现持续高热不退、气短、基础病加重等情形,应该及时到医院就诊。王越提示,像持续的高热不退,出现了非常明显的气短或者说喘憋,这些可能往往意味着肺炎,或者是出现了更加严重的呼吸系统的问题。像高危人群,包括有基础病的人群,其实建议如果有症状要尽快就诊。因为他本体的免疫功能可能没有那么好,所以可能反应起来就没有这么剧烈。这也是很重要的,可能会延误诊断和治疗的一个节点。

@所有人:当前呼吸道传染病高发!这类人群更易“中招”!

  出现相关症状要及时来医院就诊/记者拍摄

  面对“来势汹汹”的呼吸道传染病,加强预防是关键。春节即将到来,北京大学人民医院儿科主治医师丁明明提示,要减少暴露在人群比较多的环境里,在人群多的环境里戴口罩都是很好的办法,手卫生也比较关键,从外边回来及时的洗手。

  第二,就是让免疫细胞的能力够强,这需要喝水充足,减少精力的消耗,清淡饮食,注意保暖也很重要。如果隔绝了病原,免疫细胞能力是一个比较高的状态的话,感染的概率就会少了。

@所有人:当前呼吸道传染病高发!这类人群更易“中招”!

  要加强自我防护/源自网络

  充足睡眠、健康饮食、适度锻炼、放松心情,并保持良好的卫生习惯……当我们建立起更强的免疫力,便能更好地构筑健康屏障。

  健康作息,合理饮食

  增强免疫力

  北京交通广播王楠、朱艳婷

[责任编辑: ]
阅读剩余全文(
为你推荐
在贵州,“村超”“村BA”成为地区崭新“金名片”;滕王阁前,背诵《滕王阁序》的游客络绎不绝;文旅消费的综合带动作用日益凸显,演艺经济、夜间经济、票根经济等有效延展消费链条,群众多元消费需求在丰富多彩的文旅供给中不断得到满足。
18
10月17日,财政部、海关总署、国家税务总局三部门联合对外发布公告,调整海南离岛旅客免税购物政策,并将于11月1日起实施。吴京芳表示,此次调整就是为推进更高水平的对外开放,更好满足旅客多元化购物需求,进一步释放离岛免税政策效应。
18
在全运会射击赛场上,超世界纪录夺冠者不在少数,突破自己创造的世界纪录的也不算稀奇,但在超过世界纪录后还评价自己表现“中规中矩”的,大概只有刘宇坤。
18
当日上午,中国海军83舰编队抵达泰国梭桃邑港,开始对泰国进行为期4天的友好访问。当日上午,中国海军83舰编队抵达泰国梭桃邑港,开始对泰国进行为期4天的友好访问。当日上午,中国海军83舰编队抵达泰国梭桃邑港,开始对泰国进行为期4天的友好访问。
17
10月16日,在第七届中国天津国际直升机博览会开幕式上,陆军“风雷”飞行表演队进行飞行表演。10月16日,第七届中国天津国际直升机博览会在天津空港经济区开幕,陆军“风雷”飞行表演队为观众带来特技飞行表演。
17
2017年,贵州省黔西南布依族苗族自治州望谟县蔗香镇通过“东西部协作”,引进农业科技企业,依托当地良好的地理气候资源优势,利用荒山坡地,大力发展青柠檬种植4600亩,助力农业提质增效、农户“家门口”增收。
17
记者从海口出入境边防检查总站获悉,截至2025年10月15日,海南出入境人员已超200万人次,同比增长22.4%;其中,入出境外国人超过106万人次,同比增长45.1%,入出境外国人占出入境总人数的53%。
16
10月15日,2025湾区半导体产业生态博览会(湾芯展)在深圳开幕,本届湾芯展展览面积超6万平方米、参展企业超600家。10月15日,2025湾区半导体产业生态博览会(湾芯展)在深圳开幕,本届湾芯展展览面积超6万平方米、参展企业超600家。
16
金秋时节,各地农民抢抓农时有序开展秋收作业,田间地头一片忙碌景象。金秋时节,各地农民抢抓农时有序开展秋收作业,田间地头一片忙碌景象。金秋时节,各地农民抢抓农时有序开展秋收作业,田间地头一片忙碌景象。
16
10月15日,在南县南洲镇育才村,农机手驾驶收割机进行水稻收获作业(无人机照片)。南县是湖南省粮食主产区之一,近年来,当地大力发展稻虾产业,2025年南县虾稻米种植面积超60万亩,预计亩产稻谷600公斤。
15
载入更多资讯
返回
返回

点击右上角微信好友

朋友圈

点击浏览器下方“”分享微信好友Safari浏览器请点击“”按钮

点击右上角QQ

点击浏览器下方“”分享QQ好友Safari浏览器请点击“”按钮