1月12日
“女子硬扛流感10天白肺”
引发关注

通常来说
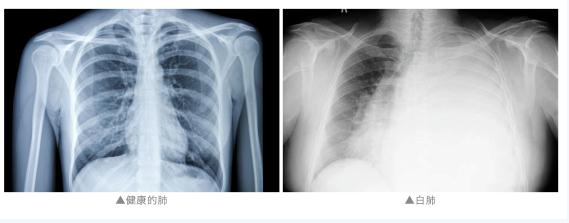
“白肺”是指急性呼吸窘迫综合征
主要发生在重症感染时
双肺弥漫性病变进展迅速
其症状和严重程度都与支原体肺炎不同


继甲流后
乙流成为关注焦点
国家流感中心发布的
最新一期《流感监测周报》显示
近期甲流比例明显下降
乙流占比有所上升
如何应对乙流?
你关心的问题都在这里
↓↓↓
问题1
甲流和乙流究竟有何区别?
乙流引起的流行性感冒
潜伏期多为1—4天
医生表示
乙流和甲流在临床症状上
没有太大的区别
均表现为
发热 头痛 关节肌肉痛等
有的病人可能出现
咽痛 咳嗽 胸闷等
乙流通常以小规模或散发为主
因此乙流占比上升不必过于担忧

问题2:
感染乙流后会发展成肺炎吗?
医生表示
无论是甲流还是乙流
严重的病人都可能出现
比如肺炎 心肌炎
或神经系统的并发症的表现
由于大多数病人就诊较早
因此发生合并肺炎的病人并不多
比例在10%以下
问题3:
甲流和乙流会同时感染吗?
医生表示
确实遇到过
同时感染甲流和乙流的病人
以及感染甲流后
又感染乙流的病人
这是因为二者存在一定差异
因此感染甲流并不能对乙流
产生完全的交叉免疫
感染甲流或乙流后
如果患者体质相对弱
依然有可能感染
另一种亚型的流感病毒

问题4:
如何预防流感?
第一招:打疫苗
接种流感疫苗
是预防流感最有效的手段
可显著降低接种者
发生严重并发症的风险
第二招:做防护
勤洗手
避免用脏手触摸眼 鼻或口
每日开窗通风至少3次
每次不少于30分钟
另外在流感流行季节
60岁及以上老人 5岁以下儿童
孕妇以及患有基础性疾病的患者等
尽量避免去人群聚集场所
如必须前往
建议佩戴口罩

问题5:
感染乙流如何用药?
乙流由病毒引致
平常用的青霉素 头孢等抗生素
是针对细菌的药
对乙流是没用的
因此不建议一发烧就擅自用抗生素
应及时就医
按医嘱规范治疗

综合来源:中国青年报 荔枝新闻 央视新闻
图文制作:山西广电融媒体
点击右上角
微信好友
朋友圈

点击浏览器下方“
”分享微信好友Safari浏览器请点击“
”按钮

点击右上角
QQ

点击浏览器下方“
”分享QQ好友Safari浏览器请点击“
”按钮
