景德镇3岁女童
突然神志不清,
双眼凝视,四肢抽搐,
父母急忙带她来到
江西省儿童医院神经外科就诊
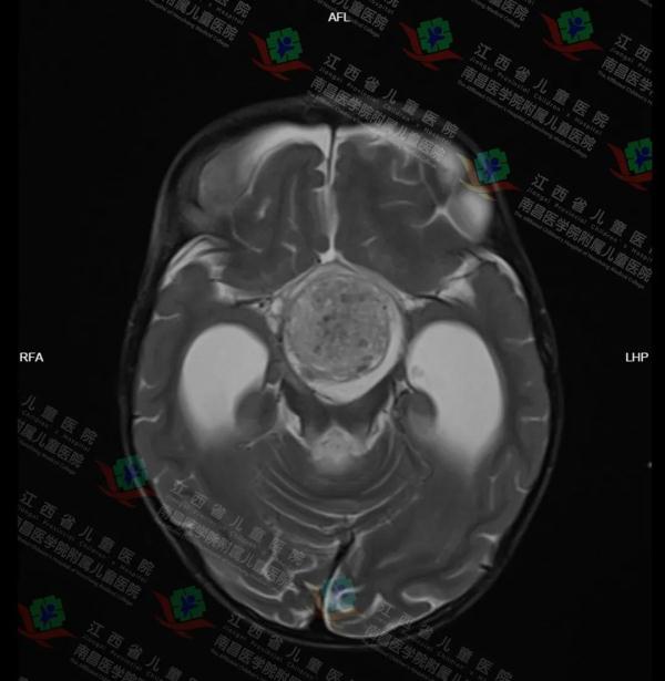
在入院完善相关检查后,颅脑CT显示,鞍区(颅底)占位并脑积水,立即为其办理入院并完善颅脑磁共振等相关检查,可见肿块大小约为37mm×35mm×55mm,神经外科主任医师杨明团队考虑女童有颅咽管瘤可能,根据女童的情况展开多次讨论,考虑到肿瘤大且位置深,周围毗邻下丘脑、垂体、视交叉、颈内动脉等重要脑功能区域,病情危重,决定为其尽快实施颅内肿瘤切除术并制定详细手术方案。

术中,杨明团队在手术室、麻醉科及护理团队的通力配合下,运用神经导航精准定位肿瘤位置,神经电生理实时监测脑功能,小心避开神经、血管等重要功能区域,最大化保留正常脑功能,顺利将肿瘤彻底切除。目前,女童在治疗中。

杨明介绍,颅咽管瘤是儿童常见的颅内肿瘤,占儿童颅内肿瘤的5.6%~15% ,占儿童鞍区肿瘤的54%,儿童病例的发病高峰为5~15岁;临床表现为头痛、呕吐、多饮多尿、身材矮小、发育落后、视力下降等。虽然其细胞学上为良性病变,世界卫生组织分级为Ⅰ级,但其位置毗邻视神经、垂体、下丘脑及颈内动脉系统等重要结构,全切除手术难度大,可能造成患者终生神经内分泌功能障碍,严重影响生活质量,因此称其为“生物学恶性”肿瘤。
江西省儿童医院温馨提示:
如果儿童出现头痛、呕吐、
多饮多尿、身材矮小、
发育落后等症状,
家长应及时去儿童专科医院就诊。
转自:江西省儿童医院宣教中心
点击右上角
微信好友
朋友圈

点击浏览器下方“
”分享微信好友Safari浏览器请点击“
”按钮

点击右上角
QQ

点击浏览器下方“
”分享QQ好友Safari浏览器请点击“
”按钮
