对于有养狗经验的朋友来说,宠物给生活增添了诸多乐趣,但如若疏于看管,萌宠也可能给主人招来麻烦。
近日,上海郝女士家的泰迪犬被一只未戴嘴套的金毛犬咬伤,为此郝女士花费了超过3.1万元人民币的医疗费。

由于双方未就赔偿费用协商一致,郝女士将金毛犬主人告上了法庭,要求其承担全部赔偿责任。
狗咬狗引发了人告人,上海闵行区法院会如何判决呢?
金毛咬了泰迪 医药费花了3万+
事发傍晚,家住上海闵行区的郝女士牵着自家的泰迪犬外出散步,在小区门口遇到了顾女士牵着的金毛犬,谁料这只金毛犬突然挣脱牵引绳冲向泰迪犬,并扑过去撕咬。看到爱犬被咬,郝女士心痛不已。
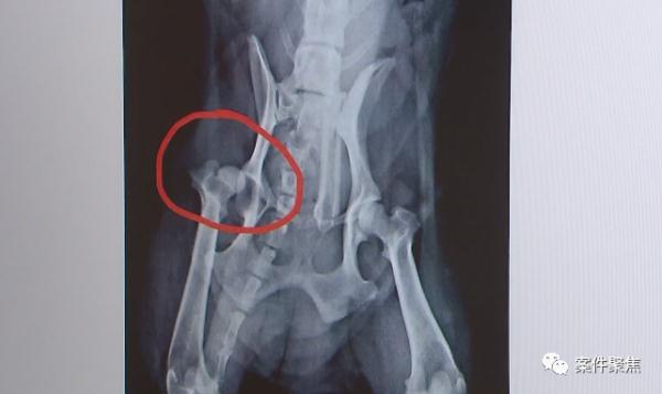
有目击“狗咬狗”过程的一位路人表示,金毛犬在拼命地咬泰迪犬,泰迪犬受伤后出血,自己当时跑过去发现,泰迪犬的肚子上被直接咬出个洞。

为了治疗泰迪犬,郝女士花费了3万余元医疗费,然而,赔偿费用协商不成,两位犬只主人只能对簿公堂。

双方各执一词
原告郝女士一方认为,被告顾女士携带犬只外出时没有按规定给大型犬只戴嘴套,也没有管理好犬只的行为。而且涉事金毛犬只在进小区之前与另外一只狗刚刚发生过冲突,而涉事金毛犬一见到自己的泰迪犬就直接冲上来咬。

被告顾女士辩称,郝女士的泰迪犬系无证饲养,并存在挑衅金毛的行为,此外,原告的泰迪犬原先就患有疾病且治疗费用过高,有碰瓷金毛犬以获高额赔偿之嫌。

被告顾女士还表示,自己每次晚上十点钟下来遛狗就会碰到郝女士遛狗,然后对方的泰迪犬就朝我们奔过来挑衅。”

法院这样判
上海闵行区法院审理后认为,泰迪犬是否为有证饲养,及其自身体质、旧伤等个体原因,均与这次事件发生无关。涉案事实和双方证据,围绕争议焦点作出认定。
对于被告是否应当承担赔偿责任?法官认为,被告顾某携金毛犬外出时未按规定给金毛犬佩戴嘴套,继而咬伤原告郝某牵引的泰迪犬。被告作为金毛犬的饲养人及管理人,应当承担赔偿责任。
那么,被告承担的赔偿责任是否能减轻?
关于泰迪犬是否为有证饲养的事实,与本案的发生及损害结果之间并无因果关系,不能以此作为减轻被告赔偿责任的依据。关于本案泰迪犬自身体质、旧伤等个体原因,并非法定的减轻被告作为侵权人、赔偿义务人赔偿责任的事由,本案属于特殊侵权纠纷,应依法适用无过错责任原则。关于被告所述原告具有借泰迪犬“碰瓷”大型犬以获高额赔偿之嫌,因其未能提供充分证据予以证明,法院难以采信。
上海闵行区人民法院法官陈雪琼表示,金毛犬的主人主张泰迪犬的主人具有碰瓷大型犬以获得高额赔偿救济的嫌疑,法院最后未予以采纳;而没有给金毛犬佩戴嘴套的行为,与这起纠纷的发生有很大的因果关系,所以这个是最终作为法院定案的一个依据。

最终,上海闵行区法院判决被告金毛犬主人赔偿泰迪犬的全部治疗费用3万余元。
此外,上海闵行警方对泰迪犬无证饲养作出了罚款200元的处罚,对金毛犬未戴嘴套作出了罚款50元的处罚。
点击右上角
微信好友
朋友圈

点击浏览器下方“
”分享微信好友Safari浏览器请点击“
”按钮

点击右上角
QQ

点击浏览器下方“
”分享QQ好友Safari浏览器请点击“
”按钮
