“医生,快!我儿子吞了两枚电池!”近日,广州一名少年在玩耍时将电池咬破后误吞入腹,家长连夜将其送往南方医院增城院区就诊。消化内镜中心医护团队在其胃内食物残渣中“摸索搜寻”,历时1小时成功取出两枚电池。目前,患者恢复良好,已顺利出院。

两枚完整的电池被成功取出
据介绍,事发当晚,该少年在玩耍时将两枚电池咬破,随后误喝水,将电池残骸吞入腹中。家长意识到电池内化学物质具有强腐蚀性,若长时间滞留体内,可能腐蚀食管、胃壁,甚至引发穿孔等严重并发症,随即辗转求医,最终连夜赶到南方医院增城院区急诊就诊。
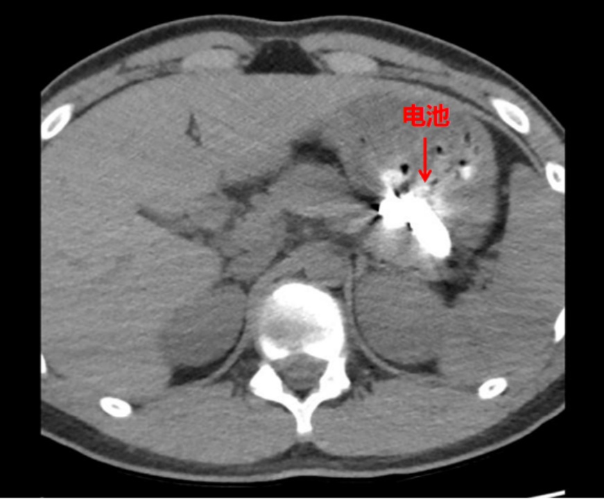
“医生,快立刻给他做胃镜!不然电池就腐蚀了!”面对家属立刻做胃镜的请求,接诊医生并未贸然操作,而是先对患者进行了全面评估。“吞服异物后不能贸然进镜,必须先明确异物位置和身体损伤情况。”医生解释,如未判断清楚电池所在部位及是否存在漏液腐蚀,盲目操作可能加重损伤,甚至引发食管或胃壁穿孔,风险极高。随后,医护团队迅速为患者完善CT检查,明确异物位置。
影像结果显示,两枚电池均位于胃腔内。但患者胃内存在大量未消化食物,电池被掩埋其中,胃镜视野严重受限。同时,由于禁食时间不足,无法立即进行麻醉,只能在患者清醒状态下进行胃镜操作,进一步增加了手术难度与患者不适感。

一场艰难的镜下异物取出术随即展开。医生在浑浊的胃腔中反复冲洗、清理食物残渣,耐心寻找电池位置;患者因不适情绪紧张,操作不得不分次进行,间歇让患者休息;护士在一旁不断安抚,协助配合。整个过程紧张有序。
经过整整一小时的细致操作,两枚电池最终被完整取出。随着异物顺利取出,患者症状明显缓解,家属悬着的心也终于放下。术后患者恢复良好,已顺利出院。
南方医院增城院区消化内科主任蔡建群提醒,电池属于高危异物,一旦误吞,极易对消化道造成严重损伤。青少年及儿童好奇心强,是误吞异物的高发人群。发生类似情况时,应牢记“禁食禁水、及时就医、专业处理”的原则,尽快前往正规医院就诊,由专业医生评估处理。切勿尝试吞饭团、喝醋或拍背等“土办法”,以免延误病情、加重损伤。
文字 | 刘颖颖、通讯员 屈理慧 郭玲玲 刘进娣
图片 | 医院提供
点击右上角
微信好友
朋友圈

点击浏览器下方“
”分享微信好友Safari浏览器请点击“
”按钮

点击右上角
QQ

点击浏览器下方“
”分享QQ好友Safari浏览器请点击“
”按钮
