4月21日,云南临沧市人民医院儿科支气管镜室紧急开展了一场特殊异物取出手术,成功从一名8岁患儿气管内取出一条8厘米活体蠕动蚂蟥。在此之前,该患儿反复咳嗽十余天,后续出现痰中带血,半年前曾从鼻腔取出蚂蟥。
据临沧市人民医院相关科室负责人介绍,患儿小林反复咳嗽十余天,县级医院住院抗感染治疗效果不佳,后续出现痰中带血,遂转至临沧市医院就诊。李亚莉主任问诊得知,患儿半年前曾从鼻腔取出蚂蟥,随即安排入院进一步诊治。电子支气管镜检查结果触目惊心:患儿气管内附着一条活体蚂蟥,吸盘紧紧吸附气管黏膜,虫体随呼吸上下活动,呼气时几乎堵塞整个气道。正是这条蚂蟥持续刺激气道,引发患儿顽固性咳嗽、咽喉不适及咯血。蚂蟥吸附力极强,剧烈咳嗽也无法脱落,若延误处理,极易造成气道梗阻、严重感染,危及生命。

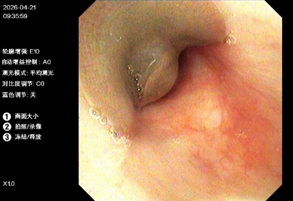
蚂蟥在气道内
儿科联合麻醉科快速制定方案,在全麻不插管条件下实施异物取出术。医护紧密配合,经鼻腔置入气管镜,清晰暴露术区后,用异物钳精准钳夹,完整取出活体蚂蟥。经测量虫体长8厘米,取出时仍不停蠕动。目前患儿术后恢复良好,生命体征平稳,无特殊不适。

取出后的蚂蟥
医生在此提醒,野外山泉、溪水中易存在蚂蟥幼虫及虫卵,直接饮用后,幼虫可附着于咽喉、气管黏膜寄生吸血,引起反复咳嗽、痰中带血、声音嘶哑等症状,严重时可导致气道梗阻、大出血,危及生命,应避免直接饮用山泉水。
综合:澎湃新闻、百姓关注
点击右上角
微信好友
朋友圈

点击浏览器下方“
”分享微信好友Safari浏览器请点击“
”按钮

点击右上角
QQ

点击浏览器下方“
”分享QQ好友Safari浏览器请点击“
”按钮
