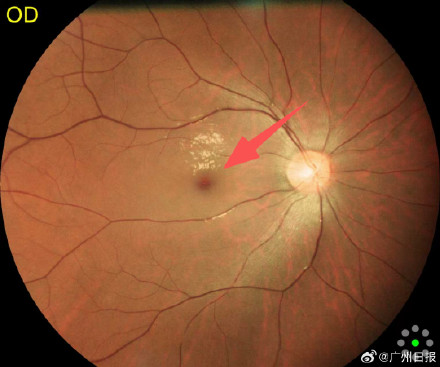
18日晚,24岁的福州小伙阿明(化名)的右眼突然看不见了,就医检查结果令人心惊:右眼无光感,瞳孔散大,直接对反射消失,最终确诊为右眼视网膜中央动脉阻塞,也就是俗称的“眼中风” ,是眼科最危急的重症之一。目前经治疗,阿明右眼中心视力恢复,但脂肪栓子并没有消失,只是跑到了更远端的血管,这依然可能会导致他日后出现局灶性的视野缺损。医生表示,“眼中风”预后很差,视力往往很难恢复到0.1以上。
“眼中风”通常发生在伴有高血压、糖尿病、高脂血症等疾病的中老年人身上,年轻人罹患该病的概率非常低。一个年轻力壮的小伙子,眼睛怎么会“中风”?在排除其他致病因素后,医生将目光投向了阿明日常的饮食习惯。
阿明自述,他平日里爱喝奶茶,几乎每周要喝四五杯。“虽然不能100%断定就是奶茶直接导致的,但这无疑是重要的诱因。”医生分析道。高糖、高脂的奶茶会导致血液粘稠度增加、血脂异常,甚至形成脂肪栓子。他也提醒阿明,不仅仅是眼睛,他还需要警惕其他位置的血管同样存在阻塞的风险,如心脏、脑部等。
医生介绍,这个典型病例也为年轻人敲响警钟:日常一定要注意健康饮食,限制奶茶等高糖高脂食物的摄入量,出现“眼中风”症状要争分夺秒立即就诊。“眼中风”抢救的黄金窗口期很短,仅有40~60分钟。(福州晚报)


点击右上角
微信好友
朋友圈

点击浏览器下方“
”分享微信好友Safari浏览器请点击“
”按钮

点击右上角
QQ

点击浏览器下方“
”分享QQ好友Safari浏览器请点击“
”按钮
