总说喝酒误事
最近,24岁的男子林浩(化名)
喝白酒后一时糊涂
吞下了150片药
被发现时已意识模糊
年轻的生命危在旦夕!
抢救不顺利 洗胃后仍昏迷
不久前的一天,凌晨1点,林浩的姐姐发现弟弟一身酒气、意识模糊,又一眼看到床头柜上的空药瓶,担心弟弟做了傻事,赶紧送医。后经推算,此时距林浩服药已过去3小时。
经北大深圳医院急诊科医生判断,林浩的确为药物中毒,迅速启动急救流程——留置胃管、反复洗胃吸出混着药渣的胃内容物,同时开展补液、护胃、导泻等治疗。
令人焦急的是
常规洗胃后
林浩的意识不仅没有好转
反而从嗜睡彻底陷入昏迷
送检的血药浓度结果
更是持续升高
远超重度中毒阈值
医生警觉
这不符合常规药物吸收规律

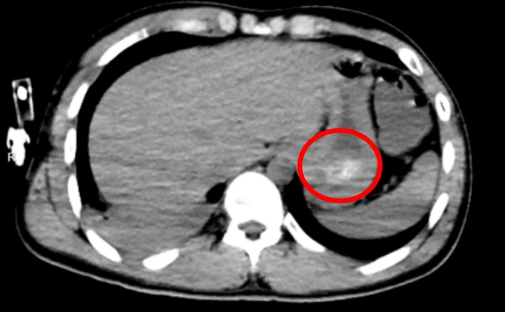
经全腹CT检查证实,林浩胃底存在大量团块状高密度影,也就是常规洗胃无法清除的“药石”,同时胸部CT显示其双肺出现渗出性病变,已引发吸入性肺炎。医生解释:
罪魁祸首就是胃里
持续释放毒性的”药石“
叠加吸入性肺炎
随时可能导致多器官衰竭
43分钟,致命药石终于“拆除”
情况危急,中毒快反团队立即联合EICU医务人员、消化内科组建MDT团队,敲定“胃镜下取药石”的救治方案。家属同意后,林浩被转入EICU,全麻行气管插管保护气道。
消化内科医生操作内镜发现,食管管腔布满黄色药渣,胃底被一大团质软易碎的药石堵得严严实实。“既要彻底清除药渣,又要避免将碎药片冲进肠道加速吸收。”医生凭借精准手感,用圈套器捣碎药团,再以生理盐水反复冲洗、抽吸。捣碎、冲洗、抽吸,这样重复43分钟,直到内镜下无任何药渣残留,这场“拆毒”手术才算完成。
术后第二天,林浩神志彻底清醒,血药浓度逐步下降至安全范围,住院3天后便康复出院。
警惕药物中毒雷区
北大深圳医院中毒医疗救治基地每年接诊上百例口服药物中毒患者,精神类药物、安眠药过量占比最高,其次是降压药、降糖药误服。对此,专家特别梳理三大常见误区,提醒大家规避:
01
误区一:药物中毒,催吐就够了
盲目催吐是最危险的操作。对于意识模糊的患者,催吐易导致呕吐物误吸入气管,引发窒息或吸入性肺炎;即便意识清醒,自行催吐对缓释制剂、大量片剂等情况也无效,还可能损伤食道、胃黏膜。
02
误区二:只有头孢配酒才会出事
“头孢配酒,说走就走”并非唯一风险。安眠药、抗抑郁药、降压药、降糖药、抗过敏药等与酒精同服,都会引发严重后果。酒精会加速药物吸收、加重中枢抑制,可能导致呼吸抑制、心跳骤停。林浩酒后吞药,正是酒精与药物协同作用,加快了意识障碍进展。
03
误区三:家中药物随便放没关系
一片降糖药、降压药,对幼儿而言就可能致命。老人视力不佳,也容易误服药物。专家建议,药物需分类存放、标注清晰,放在老人和儿童够不到处,定期清理过期药物。

那么如果不幸
发现他人已经服药过量
正确的做法是什么呢?
如果发现他人过量服药,先确保环境安全,轻拍呼喊判断意识,立即拨打120并说明症状,保留药瓶、残留药片。对于意识不清者,让其侧卧,清除口腔残留药物,严禁喂食喂水,等待急救人员。对于意识清醒者,应询问服药时间、剂量,保留药瓶、呕吐物,催吐需遵医嘱。需要注意的是,切勿盲目喝牛奶、鸡蛋清,也不要随意服用解毒药,需由专业医生判断。
转自:深圳晚报
点击右上角
微信好友
朋友圈

点击浏览器下方“
”分享微信好友Safari浏览器请点击“
”按钮

点击右上角
QQ

点击浏览器下方“
”分享QQ好友Safari浏览器请点击“
”按钮
