对于脑卒中(中风)患者来说,活着,往往只是闯过的第一关。由于大脑中枢神经受损,很多患者失去了自主咳嗽和吞咽的能力。为了保住呼吸,医生不得不进行气管切开术,插入一根“救命管”——气切套管。
然而,当生命体征稳定后,这根管子却成了康复路上的“拦路虎”。只要管子拔不掉,患者就面临着反复感染的风险,也无法恢复正常交流与进食。
4月10日,潇湘晨报·晨视频记者从郴州市第一人民医院了解到,近日,65岁的脑卒中患者张大爷(化名)通过“肺部大扫除”——支气管肺泡灌洗,最终成功拔掉气管导管。
据医生介绍,65岁的张大爷因突发大面积脑梗死接受了气管切开术。术后两个月,他虽然神志转清,肢体也稍有活动,但呼吸功能障碍,存在肺容积下降,咳嗽能力差,气道廓清障碍。呼吸肌力量不足,腹式呼吸不能,膈肌活动度下降,因此反复出现发热、痰多、呼吸困难。
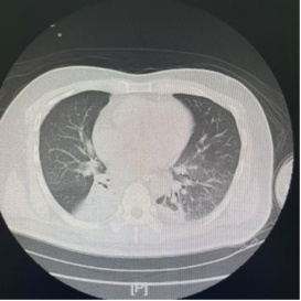
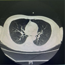
主管医生多次尝试堵管(封闭气切套管口,观察能否自主呼吸),但每次都以失败告终。原因很简单:只要一堵管,张大爷就憋得满脸通红,血氧饱和度急剧下降。胸部CT显示,他的右下肺呈现不张状态,大量的痰液像“淤泥”一样堵塞了深部的支气管。
这些痰液黏稠、位置深,靠张大爷无力的咳嗽排不出来,常规的吸痰管也够不到。如果强行拔管,这些痰栓会立刻导致窒息;如果长期不拔管,肺炎将迁延不愈。郴州市第一人民医院重症康复科团队根据痰培养/发热/咳痰情况调整抗生素,予抗感染/化痰/雾化/气道管理。结合呼吸训练/体位管理/咳嗽训练/气道廓清技术/吞咽训练/运动训练等系统康复治疗。
在以上治疗基础上使用关键武器:支气管肺泡灌洗(BAL)。这到底是什么技术?简单来说,这就像给堵塞的下水道进行一次高清探头下的“定向高压冲洗”。
医生会将一根非常纤细、可弯曲的电子支气管镜,经张大爷的气切套管口伸入气道。这根镜子自带“摄像头”,能一路经过气管、隆突,深入到像树枝一样分叉的支气管深处,精准找到被痰栓堵塞的“病灶”。

找到目标后,医生会通过镜子注入一定量的无菌生理盐水,像“洗衣服”一样反复冲洗肺泡和支气管,再将含有大量细菌、炎性分泌物和黏稠痰液的液体吸出。

为什么它比普通吸痰更有效?医生向记者介绍:普通吸痰是“盲吸”,只能吸到大气管;支气管镜是“眼见为实”,能清理到普通吸痰管进不去的深部。对于像张大爷这样因长期不张导致的肺叶,灌洗能直接冲开堵塞的黏液栓,让塌陷的肺重新“吹”起来。吸出来的液体可以送去化验,明确是哪种细菌感染,从而实现抗生素的“精准打击”。
在充分评估后,医生为张大爷进行了多次床旁支气管肺泡灌洗。首次操作时,医生通过气切套管放入支气管镜。屏幕上清晰地显示,张大爷的右下叶支气管开口处被一团黄白色、极其黏稠的“痰栓”完全堵死,周围的黏膜充血水肿。双肺可见大量粘性痰液。
医生小心翼翼地注入温热的生理盐水,边冲洗边负压吸引。随着“痰栓”被一点点吸出,原本塌陷的肺段在镜下逐渐显露出通畅的管腔,张大爷血氧饱和度明显上升。整个操作持续了约20分钟,洗出了约30毫升的脓性分泌物。
操作结束后,效果立竿见影。张大爷的血氧饱和度从原来的92%(吸氧状态下)上升到了98%(未增加吸氧浓度)。当天下午,张大爷咳出了大量稀薄的痰液,呼吸变得平稳。
术后复查胸部CT显示:原本不张的右下肺已基本复张。医生再次尝试堵管,张大爷呼吸平稳,没有丝毫憋闷感。


经过多次支气管肺泡灌洗和系统性肺康复及吞咽训练后,张大爷的肺部感染指标恢复正常,痰量明显减少,咳嗽有力。在医护人员的监护下,张大爷的气切套管被顺利拔除。医生仅用无菌敷料覆盖了颈部窦道,几天后,伤口自行愈合。
拔掉气切套管,意味着张大爷重新建立起了完整的上呼吸道防御屏障。他不再需要通过脖子上的“洞”呼吸,口鼻恢复了通气,这不仅大大降低了肺部感染的几率,更重要的是,他能够尝试经口发声,为后续的语言康复和吞咽康复打开了大门。
专家科普:BAL不仅是治疗,更是“桥梁”
对于脑卒中后气管切开的患者,拔管困难往往不是因为“离不开呼吸机”,而是因为 “清不净痰液” 。支气管肺泡灌洗术在此时扮演了双重角色:作为治疗手段,清除顽固性分泌物,逆转肺不张,控制肺部感染;作为评估手段,通过灌洗后观察患者的自主排痰能力和呼吸储备,医生能精准判断患者是否具备拔管条件,避免盲目拔管导致的风险。
但医生提醒,并不是所有气切患者都需要进行支气管肺泡灌洗。它主要适用于痰液黏稠、反复肺不张、经验性抗感染治疗效果不佳的患者。具体是否需要操作,需由专业医生结合影像学、血气分析及体格检查综合判断。
在脑卒中康复的长跑中,拔除气切套管是一道关键的“分水岭”。现代呼吸介入技术(如支气管肺泡灌洗)就像一支训练有素的“清道夫”部队,通过精准、微创的方式,为患者扫清障碍,助其早日摆脱管路的束缚,迈向有尊严、高质量的康复生活。
潇湘晨报·晨视频 记者张紫娟 通讯员李永朝
点击右上角
微信好友
朋友圈

点击浏览器下方“
”分享微信好友Safari浏览器请点击“
”按钮

点击右上角
QQ

点击浏览器下方“
”分享QQ好友Safari浏览器请点击“
”按钮
