深夜,24岁的林先生和朋友聚餐。
散场回家后
因酒精导致意识昏沉的他
吞下了一大把药
足足有150片
吞下的药片
在胃里悄悄粘结、凝固。
变成一块足以夺走他性命的 “致命药石”
持续释放毒性...
一把吞下150片药
24岁男子洗胃后昏迷不醒
凌晨1点,林先生的姐姐推开他的房门,发现了瘫在床上意识模糊的他,和床头柜上已经全空的药品。慌了神的姐姐来不及多想,立刻将林先生送往北京大学深圳医院急诊科。
此时,距离他服药已经过去了3小时。
林先生精神萎靡、嗜睡,回应越来越弱,浑身的酒气在密闭的抢救室里格外刺鼻。急诊值班医生根据姐姐的描述和临床经验,判断林先生已经达到药物中毒的剂量,第一时间启动急救流程:留置胃管、用生理盐水反复洗胃,吸出大量混着药渣的胃内容物,同时给予补液、护胃、导泻治疗...

所有人都以为,在常规洗胃结束后,就能把他从鬼门关拉回来,可意外还是发生了。
他的意识不仅没有好转,反而持续恶化,从嗜睡陷入昏迷。同时,紧急送检的血药浓度结果出来,所有人都倒吸一口凉气:血药浓度远超中毒阈值,达重度水平。
“不对劲。” 北京大学深圳医院中毒医疗救治基地快速反应团队(以下简称“中毒快反团队”)立刻警惕了起来。常规来说,口服药物经胃肠道吸收入血,血药浓度会在服药后1-2小时达到峰值,随后逐渐下降。
可林先生服药已经超过14小时,血药浓度不仅没降,还在持续升高,意识障碍不断加重。
这只有一种可能:药物没有被完全排出体外,仍在胃肠道里持续释放、被人体吸收。
可已经做了充分洗胃,为什么还会出现这种情况?
中毒快反团队立刻做出判断:一次性吞服超百片药物,大概率在胃内形成了常规洗胃无法清除的“药团”,也就是临床所说的“药石”。
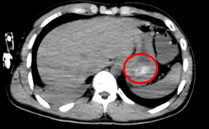
全腹CT结果验证这一判断:他的胃底可见大量团块状高密度影,正是那团凝结的药物;同时,胸部CT也提示,双肺出现渗出性病变,右肺下叶尤为严重,已经出现了吸入性肺炎。

也就是说,导致林先生昏迷不醒的——正是胃里还在持续释放毒性的药团,再叠加吸入性肺炎。
如果不能尽快清除药团,多器官功能衰竭、死亡将接踵而至。
藏在胃里的毒药库
常规洗胃根本清不掉
“很多人都以为,药物中毒只要洗胃就万事大吉,这是个误区。”北京大学深圳医院急诊科副主任杨莹解释道。
一次性吞服超过50片片剂,尤其是缓释、控释剂型的药物,在胃酸、胃粘液的共同作用下,极易相互粘结,形成质地坚硬的药石。
而林先生混着白酒吞服的行为,更是雪上加霜:
酒精不仅会加速药物吸收,让中枢抑制的效果翻倍,中毒症状来得更快更猛,还会抑制胃的蠕动,延缓药物排出,给药石的形成创造了完美的条件。
等到中毒快反团队介入时,林先生胃里的药石已经基本成型。
常规洗胃管的孔径有限,只能抽出粉末状、小颗粒的药物残留,对于这种凝结成块的药团根本无法触及。
而这颗留在胃里的药石,就像一个埋在胃里的“缓释毒库”,会持续不断地向胃肠道释放药物,被人体吸收入血,导致患者血药浓度居高不下,中毒症状持续加重,甚至突然恶化。
呼吸抑制、多器官损伤、心跳骤停的风险都在飙升。
50次反复冲洗
43分钟清空致命药团
中毒快反团队最终敲定了救治方案:胃镜下取“药石”,从根源上掐断毒物的释放。林先生被立即转入EICU,全麻下行气管插管保护气道。
内镜顺着食道缓缓送入,镜头里的画面让所有人都心头一紧:食管管腔里遍布黄色药渣残留,胃底更是被一大团质软易碎的黄色团块堵得严严实实,那正是150余片药凝结成的“药石”。

这场清洗持续了43分钟,直到内镜下再也看不到明显的药渣残留:食管、胃底、胃体、十二指肠里的药物被彻底清除干净,这场惊心动魄的拆毒团行动,终于宣告成功。
术后第二天,林先生的神志彻底清醒,顺利拔除了气管插管,血药浓度逐步下降至安全范围,住院3天后,便康复出院。
这些中毒误区
每个人都可能踩中
而这场生死抢救背后,藏着的是大众对药物中毒的普遍认知误区,每一个都可能致命。
误区
01
药物中毒,催吐就够了
盲目催吐,是药物中毒急救中最危险的操作。
很多人发现有人误服或过量服药后,第一反应是抠喉咙催吐,但对于意识已经模糊的患者,催吐会导致呕吐物误吸进入气管,引发窒息,或是像林先生这样出现吸入性肺炎,反而加重病情。
哪怕是意识清醒的患者,也不建议自行催吐,尤其是服用了强酸强碱、缓释制剂、大量片剂的情况,催吐不仅无效,还可能造成食道、胃粘膜的二次损伤。
误区
02
只有头孢配酒才会出事
很多人都知道“头孢配酒,说走就走”。
却不知道,除了头孢类抗生素,安眠药、抗抑郁药、降压药、降糖药、抗过敏药等绝大多数药物,和酒精同服,都会引发严重后果。
轻则加速药物吸收,让药效翻倍、不良反应加重,重则直接导致呼吸抑制、心跳骤停、多器官衰竭。
林先生酒后误吞的情况,酒精不仅加速了药物吸收,还和精神类药物产生协同作用,让中枢抑制的效果呈指数级上升,直接加快了他意识障碍的进展。
酒后不服药,服药不饮酒——这是要刻在心里的红线。
误区
03
家里的药随便放没关系
临床中,最常见的就是老人和儿童的误服。
很多家庭没有妥善保管药物的习惯,降压药、降糖药、安眠药、精神类药物,随手放在餐桌上、茶几上,老人视力不好,很容易吃错剂量、吃错药物;孩子好奇心重,会把彩色的药片当成糖豆误食。
“对于成人来说的常规剂量,对孩子来说,可能就是致命的。”关媛医生提醒,一片降糖药、一片降压药,就足以让一个幼儿出现严重的低血压、低血糖,甚至危及生命。
家中药物一定要分类存放、标注清晰,放在老人和孩子够不到的地方,定期清理过期药物,从根源上避免误服风险。
转自丨北京大学深圳医院
点击右上角
微信好友
朋友圈

点击浏览器下方“
”分享微信好友Safari浏览器请点击“
”按钮

点击右上角
QQ

点击浏览器下方“
”分享QQ好友Safari浏览器请点击“
”按钮
