“胸口像被炸开!”男子症状极像心梗,一查胸腔内竟全是剩菜渣!

2026-03-26 10:20来源: 新闻坊

调查问题加载中,请稍候。
若长时间无响应,请刷新本页面

  在快节奏的当下狼吞虎咽和舍不得丢弃剩菜的习惯让急诊室每年都接诊不少“吃出来”的急症患者63岁的张叔便是其中之一他怎么也想不到两个复热的剩包子竟让他半只脚踏进了鬼门关

“胸口像被炸开!”男子症状极像心梗,一查胸腔内竟全是剩菜渣!

  聚餐打包的叉烧包,差点要了他的命

  张叔长期在深圳居住。一次家庭聚餐后,他将没吃完的广式叉烧包打包回家。起初,他吃完后呕吐了一次,以为只是肠胃不适,并未在意。当晚7点多,他将剩包子加热后吃了两个。

  不久,剧烈的呕吐感再次袭来。而这一次,吐完的瞬间,他感到“胸口像被炸开了一样”,剧痛瞬间席卷了整个胸口、腹部,连带着半边背和腿都痛,使他瘫倒在地,无法起身。

  家人立即将其送医。初步检查显示,其左侧胸腔有大量积液,但经止痛、引流后,疼痛丝毫未减,张叔的状态反而急转直下,濒临休克。

  次日凌晨2点,他被紧急转送至北京大学深圳医院。此时,距离发病已过去7小时,而他尚不知晓,自己的食道已在剧烈呕吐中裂开了一道长达10厘米的口子,胃里的食物和强腐蚀性的胃酸正不断漏入胸腔。

“胸口像被炸开!”男子症状极像心梗,一查胸腔内竟全是剩菜渣!

  多问一句话,从死神手里抢回一条命

  转院时,患者病因成谜。在晨会交班时,胸外科主任刘继先敏锐地捕捉到一个关键细节,他多问了一句:“这个病人,发病前有没有呕吐?”“有!吃完包子之后吐了两次,吐完就开始痛了。”在得到肯定答复后,刘主任立即警觉,判断这可能是一种极为凶险的疾病——“自发性食管破裂”(Boerhaave综合征),并紧急安排了口服钡餐检查。

“胸口像被炸开!”男子症状极像心梗,一查胸腔内竟全是剩菜渣!

  结果证实了他的判断:

  钡剂从食道下段的裂口处

  大量漏入了左侧胸腔

  自发性食管破裂

  是胸外科最凶险的急症之一

  发病急、进展快、死亡率极高

  刘继先指出,此病救治的关键在于“及时确诊”,发病后的24小时是黄金救治窗口期。一旦超过此时限,食道管壁会严重水肿、糜烂,变得无法缝合修补。

  呕吐后胸痛千万别当胃病

  人体的食道是一条连接咽喉与胃的肌性薄壁管道。刘继先解释道,人在剧烈呕吐时会下意识地憋气,导致声门紧闭,腹腔压力瞬间飙升。胃内容物被高压向上推挤,但上端出口被堵住,所有压力便集中作用于食道壁最薄弱处。

  “就像吹气球,一直打气,最薄的地方总会先爆开。”

  如果患者本身食道黏膜存在薄弱点,就可能在高压下发生全层破裂。

  破裂的后果是灾难性的:胃内的食物、胃酸和消化液会直接涌入密闭的胸腔,迅速引发严重的胸腔感染、脓胸,进而导致脓毒性休克。

  即使在医疗技术成熟的今天,其死亡率仍超过50%。更棘手的是其极高的误诊率(达70%-80%)

  ,因为其症状——剧烈胸痛、腹痛——与急性心梗、胃病、急腹症等极为相似,患者和首诊医生都容易忽略“呕吐”这一关键前驱症状。

“胸口像被炸开!”男子症状极像心梗,一查胸腔内竟全是剩菜渣!

  多学科联动10厘米裂口被成功修补

  确诊后,胸外科手术团队当天即为张叔实施了胸腔镜下食道修补微创手术。打开胸腔后,眼前的一幕让医护人员震惊:整个左侧胸腔内充斥着叉烧包的菜叶、食物残渣,与脓液、消化液混合在一起。

  手术团队花费了很长时间,才用吸引器一点点将这些污染物清理、冲洗干净。随后,他们找到了食道下段那道10厘米长的裂口,并用可吸收线小心翼翼地进行分层修补。

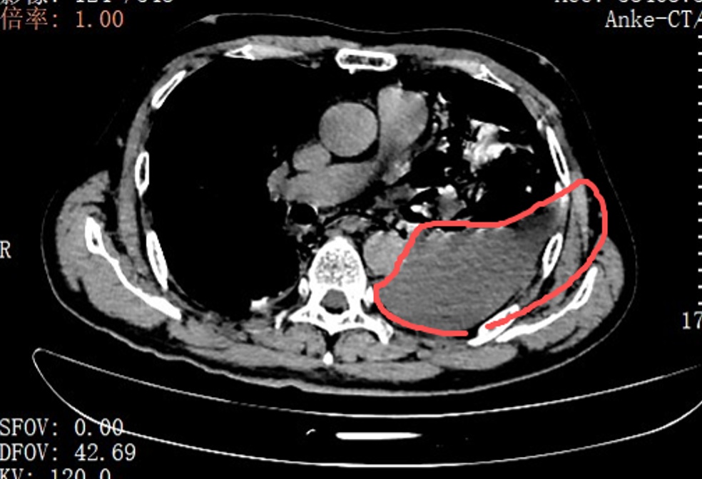
“胸口像被炸开!”男子症状极像心梗,一查胸腔内竟全是剩菜渣!

  红圈区域是食物残渣、消化液破入食管

  医生提醒:

  这两个信号千万别不当回事

  在高速运转的生活里,狼吞虎咽、暴饮暴食、酒后催吐这些看似平常的行为,背后都藏着风险。

  大多数人都知道,吃东西呛到气管里会致命,却不知道,剧烈呕吐也会把食道吐破。呕吐后出现剧烈胸痛,很多人第一反应都是忍忍,或者去挂消化科、心内科,忽略了要去胸外科排查食道的问题。

  日常进食一定要细嚼慢咽,避免干噎、暴饮暴食,呕吐时尽量不要强行憋气,减少食道承受的瞬间高压。

  只要是剧烈呕吐后,出现了持续不缓解的剧烈胸痛、腹痛,要尽快去医院急诊,并且主动告诉医生“我呕吐过”。这是排查自发性食道破裂最关键的线索,或许能在关键时刻,救自己一命。

  网友:这次真是涨知识了!

“胸口像被炸开!”男子症状极像心梗,一查胸腔内竟全是剩菜渣!

  综合深圳大件事等

[责任编辑: ]
阅读剩余全文(
为你推荐
3月26日6时51分,我国在太原卫星发射中心使用长征二号丁运载火箭,成功将四维高景二号05、06星发射升空,卫星顺利进入预定轨道,发射任务取得圆满成功。3月26日6时51分,我国在太原卫星发射中心使用长征二号丁运载火箭,成功将四维高景二号05、06星发射升空,卫星顺利进入预定轨道,发射任务取得圆满成功。
26
”  依托花海资源,篁岭将徽派文化、民俗非遗融入赏花体验,油墩子、打麻糍等互动项目让游客沉浸式感受乡土风情。今年2月以来,中国铁路南昌局集团有限公司累计增开南昌、福州、厦门等主要城市前往武夷山、婺源等方向的“赏花专列”22列。
26
时下正值春季农事关键期,各地农民抢抓农时,开展春耕作业,田间地头一片忙碌景象。时下正值春季农事关键期,各地农民抢抓农时,开展春耕作业,田间地头一片忙碌景象。时下正值春季农事关键期,各地农民抢抓农时,开展春耕作业,田间地头一片忙碌景象。
26
3月24日,位于上海市黄浦区太仓路127号的中国共产党第一次全国代表大会宿舍旧址(博文女校旧址)正式向公众开放。中国共产党第一次全国代表大会宿舍旧址与中共一大会址相距仅200余米,是一幢坐南朝北的砖木结构老式石库门建筑。
25
3月24日拍摄的位于上海外高桥的海通汽车滚装码头(无人机照片)。在上海外高桥的海通汽车滚装码头上,一辆辆崭新的国产汽车源源不断地驶入停靠在码头上的汽车滚装船。在上海外高桥的海通汽车滚装码头上,一辆辆崭新的国产汽车源源不断地驶入停靠在码头上的汽车滚装船。
25
3月24日,宁夏青铜峡灌区唐正闸开闸放水,标志着2026年宁夏引黄灌区正式开启春灌。3月24日,宁夏青铜峡灌区唐正闸开闸放水,标志着2026年宁夏引黄灌区正式开启春灌。3月24日,宁夏青铜峡灌区唐正闸开闸放水,标志着2026年宁夏引黄灌区正式开启春灌。
25
3月22日,在北京市朝阳区亮马河水碓桥附近的水域上,来自广西阳朔的民俗项目“金龙巡游”精彩上演,众多竹筏首尾相连,宛若金色长龙,点亮春夜。
24
3月20日在西藏林芝市波密县易贡乡拍摄的油菜花与桃花(无人机照片)。易贡油菜花田位于西藏林芝市波密县易贡乡。易贡油菜花田位于西藏林芝市波密县易贡乡。易贡油菜花田位于西藏林芝市波密县易贡乡。
24
江西景德镇中国陶瓷博物馆馆藏的“沉思罗汉”是“釉下加彩十八罗汉塑像”中的一尊,因为神情憨态可掬,被网友取名“无语佛”后走红网络。36岁的曾锐是“瓷雕曾”第四代传人,2011年他回家跟随父亲研习制瓷,逐步掌握各类瓷雕技法。
24
3月22日23时49分,我国太原卫星发射中心在山东海阳附近海域使用捷龙三号运载火箭,成功将微厘空间02组卫星发射升空,卫星顺利进入预定轨道,发射任务取得圆满成功。
23
载入更多资讯
返回
返回

点击右上角微信好友

朋友圈

点击浏览器下方“”分享微信好友Safari浏览器请点击“”按钮

点击右上角QQ

点击浏览器下方“”分享QQ好友Safari浏览器请点击“”按钮