在快节奏的当下
很多人吃饭都像在“打仗三口并作两口一顿饭十分钟搞定美其名曰“高效”
急诊室里每年总有那么几个“吃出来”的急症患者他们往往不是因为吃了什么山珍海味而是因为舍不得扔掉那一口剩菜
又或者,吃得太急太猛
63岁的张叔
就是其中一位
他怎么也想不到
两个复热的叉烧包
竟让他半只脚踏进了鬼门关
聚餐打包的叉烧包差点要了他的命!
张叔是山西人,长期在深圳居住。不久前,亲戚来深探亲,一家人特意去吃了顿广式早茶。中午点的那笼叉烧包没吃完,他舍不得扔,打包带回了家。
起初,一切看似平常。吃完没多久,他跑到厕所吐了一次,当时只觉得是肠胃不舒服,吐完就缓了过来,没太当回事。到了晚上7点多,他把打包的叉烧包热了热,就着粥吃了两个。
可没过多久,一阵剧烈的呕吐感再次涌上来。这一次,吐完的瞬间,他的胸口像被炸开了一样,剧痛瞬间席卷而来。
“不是普通的胃疼,是整个胸口、肚子都痛,半边背连带着腿都跟着痛,痛得我直接瘫在地上,起都起不来。”张叔回忆道。
老伴吓得赶紧拨打了120。当晚7点多,他被紧急送到就近医院。胸片结果很快显示:左侧胸腔大量积液。止痛针打了,积液引流做了,但疼痛丝毫没有止住。更糟糕的是,张叔的状态越来越不稳定,眼看就要陷入休克。
凌晨2点,他被紧急转送到北京大学深圳医院。此时,他还不知道,自己的食道,已经在剧烈的呕吐中裂开了一道长达10公分的口子,胃里的食物和胃酸,正源源不断地漏进胸腔里。
多问一句话
从死神手里抢回一条命
转院到医院时,距离张叔发病已经过去了7个小时。值班医生接诊后,初步查出了左侧胸腔积液、剧烈胸痛和循环不稳,但具体病因仍是个谜。
第二天早上8点的晨会交班,胸外科主任刘继先听完病例汇报,敏锐地捕捉到了一个细节。他多问了一句:“这个病人,发病前有没有呕吐?”
“有!吃完包子之后吐了两次,吐完就开始痛了。”值班医生的回答,让刘继先瞬间绷紧了神经。
“赶紧安排口服钡餐,高度怀疑是自发性食道破裂!”
很快,口服钡餐的结果印证了他的判断:钡剂从食道下段的裂口处大量漏出,直接进入了左侧胸腔。

自发性食管破裂,也称为Boerhaave综合征,是胸外科最凶险的急症之一,发病急、进展快、死亡率极高。而此时,距离张叔发病还不到24小时——这是救治的黄金窗口期。

图源:腾讯医典
“这个病,最关键的从来都不是手术,而是及时确诊。只要诊断明确了,后续的治疗就有方向了。”刘继先主任解释,一旦超过24小时,食道管壁会严重水肿、糜烂,变得像泡发的棉花套一样,根本无法缝合修补。
呕吐后胸痛
为何极易被误诊?
呕吐后胸痛千万别当胃病
在人体的消化系统里,食道是一条连接咽喉与胃的肌性管道,平时处于闭合状态,管壁很薄。
刘继先主任用最通俗的话解释了这场急症的发病逻辑:人在剧烈呕吐时,会下意识地憋气,声门紧紧闭合,腹腔压力瞬间飙升。胃里的容物被高压推着往上冲,可上面的出口堵着,所有压力都集中在食道管壁上。
“就像吹气球,你一直往里打气,最薄弱的地方总会先爆。”
刘继先说,如果患者本身食道黏膜就有薄弱之处,高压之下,食道便会瞬间全层破裂。
破裂后的场景是灾难性的。胃里的食物、强腐蚀性的胃酸和消化液,会顺着裂口直接漏进密闭的胸腔,在短时间内引发严重的胸腔感染,进展为脓胸、脓毒性休克。哪怕在医疗技术成熟的今天,这种情况的死亡率依然超过50%。
更可怕的是它极高的误诊率。临床上,自发性食道破裂的首诊误诊率高达70%-80%。因为食道位置隐蔽,破裂后的剧烈胸痛、腹痛,与急性心梗、胃病、急腹症的症状太过相似。
大多数患者发病时,只说自己胸口痛、肚子痛,不会特意想起自己呕吐过,而首诊医生也容易忽略这个关键细节,从而错过最佳救治时机。
多学科联动
10公分裂口被成功修补
面对这一凶险急症,北京大学深圳医院第一时间启动急危重症绿色通道,由胸外科主任刘继先统一指挥,迅速集结多学科骨干力量,制定抢救方案。
当天,手术团队为张叔实施了胸腔镜下食道修补微创手术。打开胸腔的那一刻,在场的医护人员都愣住了:整个左侧胸腔里,全是叉烧包的菜叶子、食物残渣,混着脓液和消化液,到处都是。

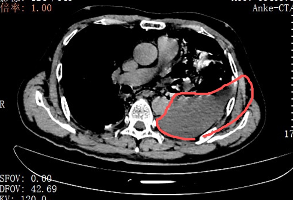
红圈区域是食物残渣、消化液破入食管
手术团队拿着吸引器,一点点清理、冲洗,花了很长时间才将胸腔里的每一点食物残渣都清干净。随后,团队找到了食道下段那道长达10公分的裂口,用可吸收线小心翼翼地完成了分层修补。
术后,张叔在ICU接受了24小时的密切监护。在医院度过一整个春节后,他的食道修补处愈合得非常好。医生查房时,张叔正坐在病床上吃包子,一顿能吃四个。近日,他已顺利出院。
刘继先主任叮嘱他:“吃包子可以,一定要多嚼几口,配着汤水慢慢吃,千万别再干噎着了,我给你缝得再结实,也经不住你这么使劲噎。”张叔不好意思地笑了,表示以后吃东西,再也不敢狼吞虎咽了。
医生提醒:
这两个信号
千万别不当回事
在高速运转的生活里,狼吞虎咽、暴饮暴食、酒后催吐这些看似平常的行为,背后都藏着风险。
大多数人都知道,吃东西呛到气管里会致命,却不知道,剧烈呕吐也会把食道吐破。呕吐后出现剧烈胸痛,很多人第一反应都是忍忍,或者去挂消化科、心内科,忽略了要去胸外科排查食道的问题。
医生在此提醒
日常进食一定要细嚼慢咽,避免干噎、暴饮暴食,呕吐时尽量不要强行憋气,减少食道承受的瞬间高压。
只要是剧烈呕吐后,出现了持续不缓解的剧烈胸痛、腹痛,要尽快去医院急诊,并且主动告诉医生“我呕吐过”。这是排查自发性食道破裂最关键的线索,或许能在关键时刻,救自己一命。
点击右上角
微信好友
朋友圈

点击浏览器下方“
”分享微信好友Safari浏览器请点击“
”按钮

点击右上角
QQ

点击浏览器下方“
”分享QQ好友Safari浏览器请点击“
”按钮
