趁热吃,趁热喝
是福建人生活习惯之一
但这种习惯
可能也会给身体健康埋下隐患
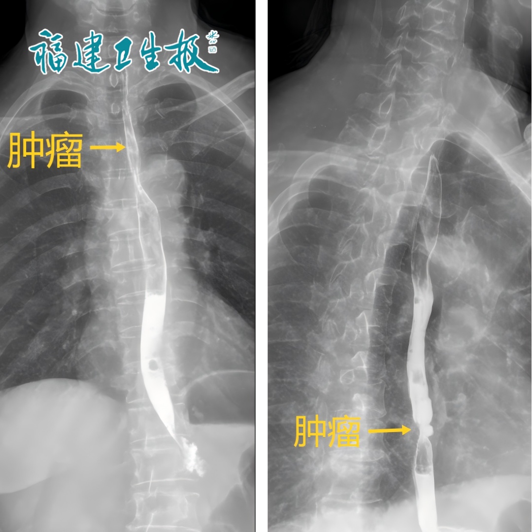
夫妻体检,发现同样的癌
今年1月,泉州56岁的徐先生(化名)和妻子前往当地的医院体检。没想到,做胃肠镜时,夫妻俩都被查出了食管癌。幸运的是,夫妻俩发现及时,没有转移,尚属于早期。

▲夫妻俩都发现食管癌
夫妻俩来到福建省肿瘤医院。“我也就算了,我父亲当年也是得了食管癌,可能有基因遗传,但我妻子为什么这么年轻也得了这病?”徐先生非常不解。
详细了解情况后,方卫民医生告诉徐先生,夫妻俩喝热茶、吃热汤、爱吃火锅,习惯 “趁热吃”,反复高温刺激食管黏膜,是诱发食管癌的重要因素。
在详细评估了两人的情况后,方卫民给出了治疗方案——充气纵隔镜食管癌根治术。

▲方卫民团队在为患者开展手术(资料图)
术后5天,徐先生和妻子顺利出院,经过一周科学康复过渡,便拔除了鼻饲管,恢复正常饮食。
40岁以上
就该筛查胃肠镜
方卫民郑重提醒:食管癌早期症状非常隐匿,常表现为吞咽异物感、胸口发闷、进食不畅,很容易被当成咽炎或消化不良。
远离食管癌需戒掉 “趁热吃” 的习惯,避免长期饮用烫茶、烫粥,少吃火锅、麻辣烫等高温刺激性食物。
福建沿海属于食管癌高发区,40岁以上人群本身就是高危群体,加上徐先生的家族史因素,他患病风险进一步升高。值得警惕的是,徐先生的妻子无家族史,却同样患病,足以说明地域饮食习惯的长期危害。
沿海高发区居民,无论有无症状、有无家族史,年满40岁就应尽早做胃肠镜筛查。早发现、早干预,微创技术就能实现根治。
转自:福建卫生报
点击右上角
微信好友
朋友圈

点击浏览器下方“
”分享微信好友Safari浏览器请点击“
”按钮

点击右上角
QQ

点击浏览器下方“
”分享QQ好友Safari浏览器请点击“
”按钮
