男子鼻子不舒服3个月,医生取出“藏”了40年的螺丝钉

2026-03-17 16:58来源: 龙视新闻在线

调查问题加载中,请稍候。
若长时间无响应,请刷新本页面

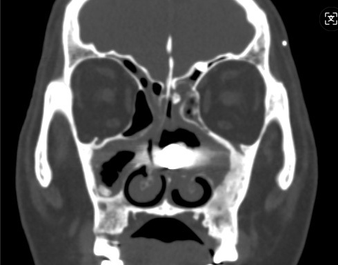
  58岁的林先生怎么也没想到,困扰他三个月的鼻腔顽疾,源头竟是一枚“藏”了40年的螺丝钉。

男子鼻子不舒服3个月,医生取出“藏”了40年的螺丝钉

  3月7日,林先生因鼻子持续流脓鼻涕、伴有明显异味,来到十堰市太和医院耳鼻咽喉头颈外科就诊。接诊医生蔡正敏锐地意识到:成年人鼻腔异味的背后,很可能藏着“意外”。

  反复追问下,一段尘封40年的记忆被唤醒——林先生回忆,年轻时玩猎枪时,曾有金属物从颌面部擦过,当时只简单包扎了事。三年前做核磁共振时突遭“电击感”,医生提醒体内可能有金属,他才隐约想起那次意外。

  CT检查印证了推断:左侧鼻腔内果然有一高密度异物!

  3月10日,邹帆专家团队在全麻下为其实施手术。由于异物留存太久,已被肉芽组织紧紧包裹,手术难度陡增。但凭借精准操作,团队仅用35分钟,就将一枚长约3厘米的螺丝钉完整取出。

男子鼻子不舒服3个月,医生取出“藏”了40年的螺丝钉

  术后林先生恢复良好,已康复出院。医生叮嘱:鼻窦炎系异物长期刺激所致,取出后规范治疗即可。

  转自:极目新闻

[责任编辑: ]
阅读剩余全文(
为你推荐
这是3月16日在北京航天飞行控制中心屏幕上拍摄的神舟二十一号乘组航天员工作的画面。3月16日19时35分,经过7小时的出舱活动,神舟二十一号乘组航天员张陆、武飞、张洪章密切协同,在空间站机械臂和地面科研人员的配合支持下,圆满完成空间碎片防护装置安装等任务。
17
3月16日,在北京地铁六里桥站附近,一名乘客走下从雄安新区驶抵北京的京雄定制快巴。3月16日,在北京六里桥地铁站附近,一辆从雄安新区抵达北京的京雄定制快巴在乘客下车后驶离。
17
春回大地,暖风轻拂,北京街头各种花卉次第开放,人们走出家门,赏花观景,乐享和煦春光。春回大地,暖风轻拂,北京街头各种花卉次第开放,人们走出家门,赏花观景,乐享和煦春光。
17
3月15日21时22分,我国在太原卫星发射中心使用长征六号改运载火箭,成功将遥感五十号02星发射升空,卫星顺利进入预定轨道,发射任务取得圆满成功。新华社发(尚宇航 摄)
16
3月15日,中国体育代表团宣布,越野滑雪和冬季两项男运动员蔡佳云、轮椅冰壶女运动员王蒙将担任米兰冬残奥会闭幕式中国体育代表团旗手。王蒙在本届冬残奥会和队友杨金桥携手鏖战,勇夺轮椅冰壶混合双人项目金牌,此项目为冬残奥会新设项目,这枚金牌具有历史意义。
16
北京市园林绿化局还联合科研院所研发花粉固定剂、花粉控制剂等新型环保生物制剂,助力科学有效地开展综合防治工作。北京市园林绿化局还联合科研院所研发花粉固定剂、花粉控制剂等新型环保生物制剂,助力科学有效地开展综合防治工作。
16
当地时间3月14日,在意大利科尔蒂纳举行的米兰-科尔蒂纳冬残奥会高山滑雪女子回转(坐姿)比赛中,中国选手张雯静夺得冠军。当地时间3月14日,在意大利科尔蒂纳举行的米兰-科尔蒂纳冬残奥会高山滑雪女子回转(坐姿)比赛中,中国选手张雯静夺得冠军。
15
春光明媚,花开正艳,人们纷纷走出家门踏青赏花,尽享春色。春光明媚,花开正艳,人们纷纷走出家门踏青赏花,尽享春色。春光明媚,花开正艳,人们纷纷走出家门踏青赏花,尽享春色。
15
初春时节,在江苏省宿迁市泗洪县的多处河道和水库中,蚌农们忙着种蚌并投放养殖。初春时节,在江苏省宿迁市泗洪县的多处河道和水库中,蚌农们忙着种蚌并投放养殖。初春时节,在江苏省宿迁市泗洪县的多处河道和水库中,蚌农们忙着种蚌并投放养殖。
15
3月13日,2026年春运迎来最后一天。3月13日,2026年春运迎来最后一天。
14
载入更多资讯
返回
返回

点击右上角微信好友

朋友圈

点击浏览器下方“”分享微信好友Safari浏览器请点击“”按钮

点击右上角QQ

点击浏览器下方“”分享QQ好友Safari浏览器请点击“”按钮