近日
家住驻马店上蔡县的王女士(化名)
突然出现上腹部胀痛
伴背部放射性疼痛
还有恶心、胸闷的情况
便立即和家人一起
到驻马店市中心医院就诊
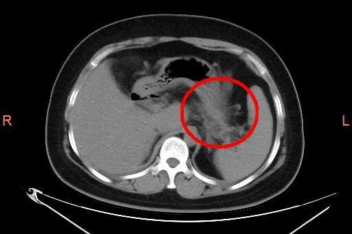
医生经过查体和腹部CT检查

患者符合
急性胰腺炎指征
随后入住消化二肝胆胰内科治疗
入院检查时
抽出来的血液竟然
接近奶白色
浮着一层“油脂”

化验结果显示
其中甘油三酯
竟然超标34倍

确诊为
重症高脂血症性急性胰腺炎
正常血液
应该是深红色
为啥她的血液会呈现白色?
经过与其主管医生
张逸强主任医师沟通得知
王女士在春节期间
吃了大量油炸的食物
高脂饮食会导致
血脂急剧升高
如不及时就医
将会有生命危险
幸运的是
经过SICU和消化内科
10天的联合救治
她最终脱离危险
康复出院
医生提醒:
如果在酒足饭饱后
出现剧烈而持续的中上腹痛
并向腰背部放射
伴有恶心呕吐
且吐后疼痛不缓解
这绝不是普通胃痛
必须立即禁食禁水
马上到医院就诊
综合 |驻马店日报 驻马店中心医院
点击右上角
微信好友
朋友圈

点击浏览器下方“
”分享微信好友Safari浏览器请点击“
”按钮

点击右上角
QQ

点击浏览器下方“
”分享QQ好友Safari浏览器请点击“
”按钮
