平日里再寻常不过的
嗑瓜子习惯,
竟让一位21岁的大学生
险些付出沉重代价。
近日,
扬州一名大学生
因突发剧烈腹痛,
几经周折后被紧急送往
扬州市妇女儿童医院,
最终确诊为
一枚被整个吞下的瓜子
导致罕见的肠道畸形部位穿孔。
这一惊险案例,
为大众的饮食习惯敲响了警钟。
小伙腹部剧痛,保守治疗无效病情加重
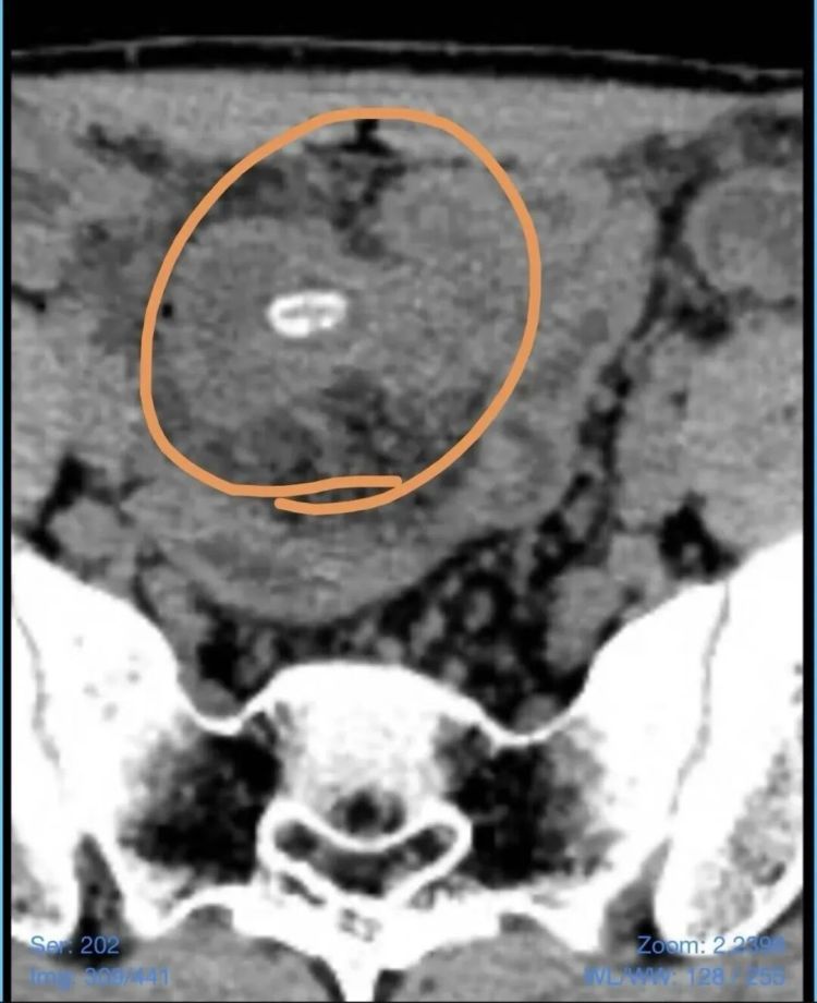
几天前,正在就读大学的小李(化名)突然感到右下腹持续性疼痛,有时甚至疼得直不起腰,无法正常活动。家人见状,立即将他送往附近医院就诊。腹部CT检查提示,小李的阑尾略增粗,同时小肠内竟有一个疑似坚果的异物影像。结合症状,接诊医生初步诊断为“阑尾炎”,并给予了抗感染保守治疗。
然而,经过两天的输液治疗,小李的腹痛不仅没有丝毫缓解,反而愈演愈烈,甚至出现了发热、恶心等新症状。焦急万分的家人不敢再耽搁,立即将其转诊至扬州市妇女儿童医院寻求进一步诊治。
医生慧眼识“真凶”,锁定罕见病因
扬州市妇女儿童医院外科副主任医师夏伟接诊后,立刻对小李进行了细致检查和详细病史询问。在翻阅外院CT报告并反复追问下,一个关键细节浮出水面:小李回忆起,发病前几天曾吃过瓜子,并且他平时就有直接吞咽瓜子的习惯,很少咀嚼。
结合患者右下腹持续加重的疼痛、腹部明显的压痛反跳痛等体征,以及CT提示的小肠内异物,夏伟凭借丰富的临床经验,敏锐地意识到这并非普通的阑尾炎。“患者的症状虽然很像阑尾炎,但抗感染治疗无效,这提示我们病因可能更为复杂。”夏伟分析道,“我们高度怀疑是瓜子导致了‘美克尔憩室’这一先天性肠道畸形部位的穿孔。”
腹腔镜探明真相,术中取出完整瓜子
时间就是生命。为避免病情进一步恶化导致弥漫性腹膜炎甚至感染性休克,夏伟果断决定为小李实施急诊腹腔镜探查手术。

术中所见证实了夏伟的判断。腹腔镜下,清晰可见小李回肠末端有一个先天性的憩室,而该憩室的顶端已经发生糜烂穿孔,穿孔周围积聚了大量脓液,周围肠管水肿充血明显,腹腔内已出现局限性腹膜炎。手术团队精细操作,小心分离粘连组织,最终将病变的憩室完整切除。当切开切除的标本时,所有人都不禁倒吸一口凉气——在憩室内,赫然躺着一枚完整的、未被消化的瓜子。
正是这枚被整个吞下的瓜子,随着肠道蠕动,恰好嵌顿在了这个名为“美克尔憩室”的薄弱“口袋”里,日复一日地刺激、磨损黏膜,最终导致憩室穿孔,引发了这一场惊心动魄的急腹症。

得益于腹腔镜手术的微创优势,小李术后恢复得十分迅速。术后第一天就能下床活动,第三天便开始进食流质,随后逐步恢复正常饮食,目前已痊愈出院。
专家科普:
美克尔憩室——隐藏在腹中的“定时炸弹”
“美克尔憩室是一种先天性消化道畸形,是胚胎期卵黄管退化不全留下的‘痕迹’,通常位于回肠末端,距离回盲部不远。”夏伟介绍道,“它在人群中的发生率为1%—3%,且男性多于女性。大多数携带者终身无症状,仅在体检或腹部其他手术时偶然发现,但它确实是一个潜在的隐患。”
夏伟进一步解释,一旦这个憩室发生炎症、梗阻,或者像小李这样被异物嵌顿、穿孔,就会引发剧烈的腹痛等急腹症。由于其症状与急性阑尾炎高度相似,在临床上极易被误诊,堪称腹腔里的“伪装者”,若延误治疗,可能导致严重的腹腔感染,甚至危及生命。
医生提醒:
吃东西要细嚼慢咽,腹痛不止速就医
夏伟特别提醒广大市民,尤其是儿童和青少年,日常饮食中务必养成细嚼慢咽的好习惯,避免整个吞咽瓜子、花生、核桃、豆类等坚果或带核食物。对于装有假牙的老年人来说,进食时更应小心,防止囫囵吞枣,给异物可乘之机。
同时,若出现不明原因的持续性腹痛、发热、恶心呕吐等症状,切勿抱有侥幸心理,自行服药或拖延观察,应及时前往正规医院就诊。就诊时,也需向医生详细描述近期的饮食情况,为医生提供更全面的诊断线索,避免因误诊、漏诊而延误最佳治疗时机,造成严重后果。
通讯员丨刘海霞
记 者丨王诗韵
点击右上角
微信好友
朋友圈

点击浏览器下方“
”分享微信好友Safari浏览器请点击“
”按钮

点击右上角
QQ

点击浏览器下方“
”分享QQ好友Safari浏览器请点击“
”按钮
