佛山市第二人民医院接诊了一名特殊患者:
来自海南的王先生,肚大如足月妊娠,
伴随呕吐、排便困难,
最终跨越千里来到佛山求医,
而这一切,源于一次“擅自停药”。
几个月来,王先生腹部胀痛明显,肚子鼓胀如同足月妊娠,同时伴随呕吐、排便困难,严重影响生活。他先后辗转海南多家医院,均被告知“难以医治”。万般无奈下,王先生决定跨越千里,来到佛山市第二人民医院求医。

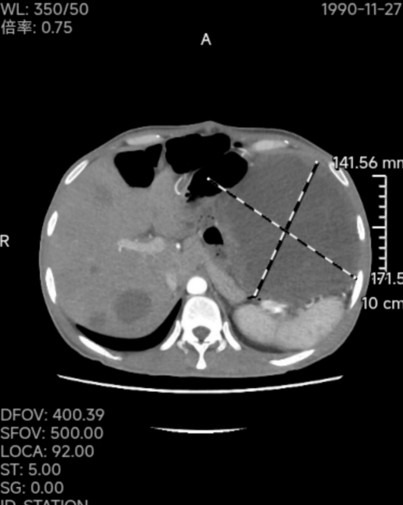
CT检查显示,其腹部存在肿物,考虑为小肠间质瘤复发,且已压迫腹腔脏器,胃肠肛肠外科主任邱磊介绍,若不及时干预,王先生可能出现失血性休克甚至呼吸心跳骤停。

为挽救王先生生命,医院迅速制定手术方案,并启动多学科联动。经过7个半小时的手术,医生成功取出 5枚巨大肿瘤,其中最大直径达 20公分,并抽取脓性液体约 1000ml,总重量达 20斤。

目前,王先生恢复良好,各项生命体征平稳,已顺利出院。
事实上,王先生4年前就曾因小肠间质瘤在佛山市第二人民医院接受手术,当时切除了约16公分的肿瘤。医生明确叮嘱:术后需长期服用靶向药物,并定期复查。

但一年前,王先生自觉“已痊愈”,擅自停药,未按时复查,最终导致病情急转直下。
为此,医生再次强调:
术后不能擅自停药
不可自行调整药量
中高危患者必须长期规范服药
任何侥幸都可能导致复发甚至危及生命
佛山市新闻传媒中心(记者:张世玉) 佛山市第二人民医院宣传科
点击右上角
微信好友
朋友圈

点击浏览器下方“
”分享微信好友Safari浏览器请点击“
”按钮

点击右上角
QQ

点击浏览器下方“
”分享QQ好友Safari浏览器请点击“
”按钮
