不久前
海宁孙奶奶(化名)的家属
惊恐发现
老人左臂像被无形力量操控
不受控制地挥舞扭动
仿佛在跳舞
更诡异的是
白天症状越演越烈
夜晚入睡却戛然而止
这是怎么一回事?
突发怪症
左臂竟自发“起舞”
孙奶奶(化名)今年八十多岁,患有糖尿病多年,因日常服药不规律,血糖控制一直不理想。一周前,她的左侧肢体突然出现异常,上肢和下肢不自主地大幅度、无规律地挥舞扭动,无法自行控制,如同在跳一场不受控制的“舞蹈”。这种症状在白天活动时加剧,夜间睡眠时则完全消失,严重影响了她的日常生活与安全。家属带其在外院多方求诊,始终未能明确病因,后经人介绍来到海宁四院老年医学科门诊就诊。
接诊的老年医学科主任胡安定详细询问病史并查体后发现,孙奶奶左侧肢体持续不自主运动,伴有耸肩及面部表情异常,行走不稳,但并无肌张力增高等神经系统常见体征。胡安定敏锐地意识到,这并非普通神经系统疾病,可能与代谢紊乱密切相关。

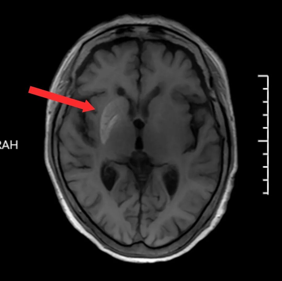
一个异常高信号揭开谜底
头颅磁共振(MRI)检查显示一个关键线索,在影像上可以看到,孙奶奶右侧大脑豆状核区域显示出异常高信号,而在其他序列中该区域并无明显异常。这一特异性影像表现,引起了放射科主任陈子虎的高度重视。

他迅速组织团队集体阅片讨论。由于患者有长期糖尿病史、血糖控制不佳,虽未出现酮症酸中毒等急性并发症,但结合其症状以及MRI上特征性表现,应重点考虑与代谢相关的罕见疾病。
“该病多见于血糖控制不良的老年糖尿病患者,尤其是女性。其典型影像学标志也与患者影像表现高度吻合。”通过老年医学科与放射科的多学科会诊,胡安定医疗团队逐步排除了脑卒中、肿瘤、颅内感染、免疫性脑炎等常见病因,最终锁定病因——非酮症高血糖性偏侧舞蹈症。该病的根本机制在于长期高血糖对大脑基底节区神经细胞代谢的影响。
诊断明确后,胡安定迅速为孙阿姨制订了以强化降糖为核心,辅以促脑循环、改善脑代谢的综合治疗方案。目前,孙阿姨病情已逐步控制。
在此,也要提醒广大糖尿病患者及家属,糖尿病管理贵在长期平稳控糖,高血糖不仅会引起多饮、多尿、乏力等常见症状,还可能诱发诸如偏侧舞蹈症这类罕见的神经系统并发症。若出现不明原因的肢体不自主运动、性格改变、认知下降等异常,应及时就医,并主动告知糖尿病病史。
转自:大潮网
点击右上角
微信好友
朋友圈

点击浏览器下方“
”分享微信好友Safari浏览器请点击“
”按钮

点击右上角
QQ

点击浏览器下方“
”分享QQ好友Safari浏览器请点击“
”按钮
