春节是阖家团圆、喜庆祥和的日子。然而,在欢笑、美食与温馨相聚的背后,一种被称为“血管灾难”的凶险疾病,正迎来它的高发期。
深夜,杭州师范大学附属医院急诊医学科被一声急促的呼救打破宁静。
45岁的吴先生(化名)脸色惨白,额头上布满豆大的汗珠,双手紧紧捂住胸口与背部,口中艰难地吐出几个字:“疼死我了……”一场生死救援就此拉开序幕。
深夜血管撕裂
患者命悬一线
吴先生被迅速送入抢救室。接诊医生根据其“突发胸背部剧烈撕裂样疼痛”的典型症状,高度怀疑是心血管领域最为凶险的疾病之一——主动脉夹层。
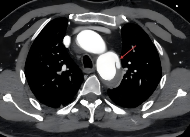
急诊增强CT检查证实了这一猜想:患者的胸主动脉血管内膜已被高速血流撕裂出一个破口,血流冲入血管壁中层。整个主动脉就像一根被过度充气、随时可能爆裂的水管,生命悬于一线。

增强CT显示主动脉壁内膜局部破裂,血流由破口处进入中膜
“这种疾病死亡率很高,每小时死亡率增加约1%。”介入血管科主任周兵主任医师在紧急会诊中解释道,“血液在假腔中挤压真腔,可能导致全身重要脏器供血中断;血管一旦完全破裂,患者将在几分钟内死亡。必须立即手术!”
微创介入架起生命通道
“不定时炸弹”成功拆除
时间就是生命。周医生及其团队当机立断,决定使用最新型的胸主动脉分支支架对患者进行治疗,这款支架能够在封堵主动脉破口的同时保存患者的左锁骨下动脉。

在数字减影血管造影机的精确引导下,周医生通过患者大腿根部的微小穿刺点,将覆膜支架系统沿血管轻柔而准确地输送至病变的胸主动脉。
支架在预定位置展开,既完美覆盖了血管内膜的破口,将肆虐的血流重新导入真腔,又巧妙地为通向大脑和上肢的重要分支血管留出了通道。
数小时后,当造影显示支架位置完美,主动脉血流恢复通畅,所有人都松了一口气——这颗“不定时炸弹”终于被成功拆除。


主动脉支架植入后,破口消失,主要血管分支通畅
这种病近期高发
教你正确识别“警报”
主动脉夹层,常被称为“血管中的灾难”,是心血管疾病中最凶险、最紧急的病症之一。它并非血管堵塞,而是血管壁的“内层撕裂”。
周医生提醒,气温变化大、生活节律紊乱、饮食失控、情绪波动等多种因素叠加,极易诱发主动脉夹层。
主动脉夹层最典型的症状就是突发、剧烈的胸背部撕裂样或刀割样疼痛,可放射至颈部、腹部,患者常形容为“此生最痛”。一旦出现这种症状,必须立即拨打120,等待专业救护。
医生建议,天气寒冷,请务必照顾好自己和家人的健康,特别是已有高血压、动脉硬化或相关家族史的人群,务必做到以下几点:
血压管理“不放假”
严格按时服用降压药,每日监测血压。
饮食有度
美味浅尝辄止,控制盐、油、酒的摄入。
作息有序
避免连续熬夜和过度疲劳,保证充足睡眠。
情绪平稳
娱乐有度,保持心态平和。
注意保暖
外出时做好头部、颈部和胸背部的保暖。
供稿:杭州师范大学附属医院
点击右上角
微信好友
朋友圈

点击浏览器下方“
”分享微信好友Safari浏览器请点击“
”按钮

点击右上角
QQ

点击浏览器下方“
”分享QQ好友Safari浏览器请点击“
”按钮
