近日
浙江杭州22岁的主播小江(化名)
因为需要长时间直播带货
保持精致持久的妆容
故每天两次使用定妆喷雾
在坚持了近半年后
竟然因此住进了医院...
22岁主播天天喷定妆喷雾
不幸患肺炎
据介绍,小江就诊时高烧超过40℃,血常规检查显示白细胞、中性粒细胞、CRP(C-反应蛋白)均明显升高,嗜酸性粒细胞也显著偏高。
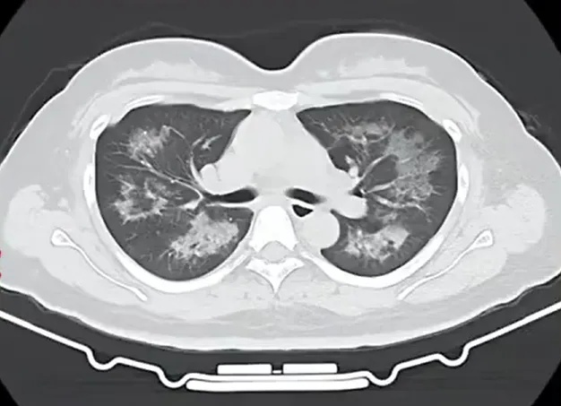
胸部CT进一步显示,她的双肺出现多发斑片状模糊影,被诊断为间质性肺炎。医生判断,病因很可能与她近期长期接触的某类物质相关。经过反复细致地询问病史,小江才说出自己长期、频繁使用定妆喷雾的习惯。

挥发性化学成分
可能诱发不良反应
医生提醒,定妆喷雾中含有大量挥发性化学成分,这些物质被吸入后可直接作用于肺部细胞,造成细胞损伤。
临床上,轻症患者可能只出现咳嗽、咳痰、喘息等症状;若易感人群短期内大量吸入这类致敏性物质,就可能诱发过敏性肺炎,严重时甚至发展为呼吸衰竭,必须高度重视。
小江所患的正是这种疾病。幸好在接受治疗三天后,小江的血常规指标恢复正常,肺部炎症也快速吸收。
相关话题迅速登上微博热搜
引发网友热议

不少网友感到害怕
自己平常也有用喷雾的习惯




有网友表示自己也是
因为使用喷雾导致肺部出现问题

有网友表示
每次使用喷雾都会憋气



其实,不止定妆喷雾,医生提醒:杀虫剂、空气清新剂等各类化学喷雾制剂,使用时都可能让人体不慎吸入含挥发性有机物。
本身患有慢性荨麻疹、过敏性鼻炎等过敏性基础病的人群,应尽量避免使用化学喷雾类产品。在使用过程中的皮肤黏膜接触、微粒吸入肺部,都可能引发严重过敏反应,甚至导致呼吸困难、危及生命。
如果确实需要使用喷雾类产品
专家建议
尽量在开阔、通风良好的环境操作;
避免对脸直喷,可先喷在美妆蛋或刷具上再上脸;
气雾瓶应远离热源,避免摔打碰撞;
使用后如出现持续咳嗽、胸闷、发热等不适,应及时就医并告知医生近期喷雾接触史。
点击右上角
微信好友
朋友圈

点击浏览器下方“
”分享微信好友Safari浏览器请点击“
”按钮

点击右上角
QQ

点击浏览器下方“
”分享QQ好友Safari浏览器请点击“
”按钮
