近日,一起令人揪心又警醒的事件
在杭州师范大学附属医院
急诊医学科上演——
冬天常用的暖宝宝
差点成为致命的“毒药”!
这是怎么一回事?
73岁奶奶误食暖宝宝粉末
胃里惊现大批“致密影”
原来,73岁的李奶奶(化名),竟将暖宝宝里的黑色粉末错认成芝麻糊,冲水喝下,随后便出现了头晕不适的状况。
家属知道后,焦急万分地将其送到了医院。急诊医学科陈克栋主治医师接诊后,应急响应和多学科救治立即启动。
医院第一时间为老人进行了护胃、补液等支持治疗,以保护胃肠道黏膜、促进代谢,并稳定生命体征。为明确异物在体内的具体情况,医院迅速开辟绿色通道,为李奶奶完成了腹部CT检查。
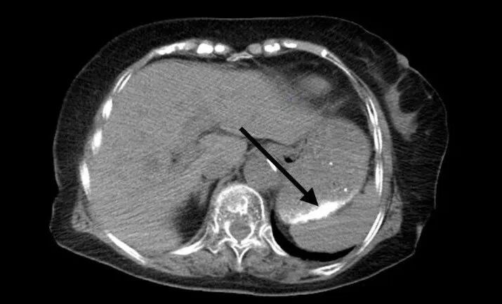
CT结果提示:
胃部及部分小肠内可见多发致密影。这意味着误食的粉末已散布于上消化道,如不及时处理,可能导致化学性灼伤、肠穿孔甚至肠梗阻等严重后果。

CT检查结果
多学科联合抢救
病情得到有效控制
消化内科何承海主治医师接到急会诊通知后,果断决定实施紧急胃镜探查与异物清除术。
在精细的内镜操作下,成功将胃内残留的粉末状异物吸除干净,阻止了危害进一步蔓延。
得益于积极的抢救,李奶奶的病情得到了有效控制,经过几天的住院观察,患者目前已经顺利出院。


暖宝宝里是什么?
一旦误食应该怎么做?
暖宝宝的发热芯材主要由还原铁粉、活性炭、蛭石、氯化钠等物质混合构成。误食暖宝宝里的粉末,主要带来三重风险:
1
化学性损伤
铁粉在胃酸中氧化放热,可能引起黏膜灼伤,严重时可致穿孔。
2
物理性风险
粉末可能黏附在消化道壁上,刺激黏膜,大量积聚还可能引发肠梗阻。
3
误吸危险
在呕吐或吞咽过程中,粉末呛入气管可能导致吸入性肺炎或呼吸道梗阻,尤其对老年人威胁更大。
发现家人误食怎么办?
一旦发现家人误食不明物质,保持冷静、科学应对是关键。
● 立即送医:带上误食物品的残余部分和包装,迅速前往医院急诊科,为医生判断成分提供依据。
● 切勿盲目催吐:尤其是对腐蚀性物质或意识不清者,催吐可能导致二次损伤或窒息。
● 遵从专业处置:医生会根据异物性质、位置,决定是否采取胃镜取出、药物治疗或手术等方案。

图片来源于供稿单位
家有老人
这些安全细节别疏忽
在日常生活中,老年人(尤其是阿尔茨海默病、脑血管意外后遗症等患者)因认知功能下降,会出现判断力减退、丧失、幻觉、谵妄等症状,极易发生误食、误服(如将药片当糖豆、将清洁剂当饮料)等意外。
安全无小事,多一点细心,就多一份安心。这里有一些给照护者的安全建议:
01
“视线管理”
将药品、化学品(清洁剂、洗衣液)、小件危险品(电池、干燥剂、暖宝宝)等绝对安全上锁或放置于患者无法触及的高处。
02
环境简化
减少家中不必要的杂物,尤其是容易混淆的瓶瓶罐罐。
03
加强看护
在患者活动期间,尽量保证其处于看护者视线范围内,特别是在厨房、卫生间等危险区域。
04
替代与教育
选择更安全的取暖方式(如加盖毛毯、调节空调)。用简单直白的语言反复提醒某些物品“不能吃”。
转自:健康杭州
点击右上角
微信好友
朋友圈

点击浏览器下方“
”分享微信好友Safari浏览器请点击“
”按钮

点击右上角
QQ

点击浏览器下方“
”分享QQ好友Safari浏览器请点击“
”按钮
