临近农历新年
不少女孩子都喜欢
做一款漂亮的美甲
既赏心悦目,又迎合喜庆氛围

但很少有人知道
一些款式的新年“战甲”
真的杀伤力满满!
之前就有人因此进了医院……
事件回顾
浙江杭州22岁的王女士
前段时间做了一款美甲
为了让手指显得更修长
还特意贴了延长甲片
不料在骑电动车时意外摔了一跤
手指触地的瞬间
王女士就感觉到钻心的痛
食指上的延长甲片直接断裂
渗出了鲜血
随后她立即前往
临平区中西医结合医院就诊

王女士手指受伤严重。图源:杭州市临平区中西医结合医院
经检查
王女士指甲断裂
部分甲床外露
医生表示如果没有美甲
伤害不会这么严重

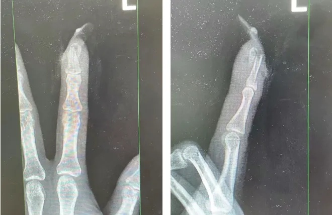
王女士受伤手指的X光影像。图源:杭州市临平区中西医结合医院
幸运的是,经过手术
王女士恢复良好
相关案例
尽管王女士这样属于极端个例
但造型复杂的美甲
确实会对手部正常活动造成影响
这背后还有不少安全隐患
01
带钻美甲被“咬”住
2026年1月12日
湖南湘潭
一女子在洗碗时
自己的带钻美甲
不慎卡进水槽漏斗的圆孔中
消防员在接到求助后
立即到场展开救援
成功助女子脱困
02
洋芋刀卡住长美甲
2026年1月8日
云南大理
一名女子不慎将长美甲
嵌进洋芋刀缝隙中无法抽出
于是前往当地消防站寻求帮助
消防员使用专业工具
快速将洋芋刀从女子美甲上取下

03
“棒骨美甲”
2023年1月6日
黑龙江鹤岗
一女子吃棒骨时挖骨髓
结果,骨头被美甲卡住
取不下来

女子及时求助当地消防
消防员“手拿把掐”
把这款别具一格的“棒骨美甲”
成功取下
消防部门提示
人人都有追求美的权利
但美丽的底色应是安全
建议美甲款式不要过于复杂
突出的大颗装饰物也不宜过多
另外,也不要频繁美甲
指甲生长周期一般为3个月
两次美甲最好间隔3个月以上
做完美甲以后
在日常生活及外出时
一定要注意保护
若美甲断裂导致受伤
应及时清洁伤口、止血
前往医院进行处理
若美甲不慎被卡难以自行取出
请立即报警求助
今视频长天新闻综合中国消防、湖南消防、云南消防、杭州市临平区中西医结合医院
点击右上角
微信好友
朋友圈

点击浏览器下方“
”分享微信好友Safari浏览器请点击“
”按钮

点击右上角
QQ

点击浏览器下方“
”分享QQ好友Safari浏览器请点击“
”按钮
