临近农历新年
不少女孩子都喜欢
做一款漂亮的美甲
既赏心悦目,又迎合喜庆氛围

但很少有人知道
一些款式的新年美甲
可能有不少安全隐患
之前就有人因此进了医院
……
事件回顾
22岁的王女士
前段时间做了一款美甲
为了让手指显得更修长
还特意贴了延长甲片
不料在骑电动车时意外摔了一跤
手指触地的瞬间
王女士就感觉到钻心的痛
食指上的延长甲片直接断裂
渗出了鲜血
随后她立即前往医院就诊

王女士手指受伤严重。图源:杭州市临平区中西医结合医院
经检查
王女士指甲断裂,部分甲床外露
医生表示如果没有美甲
伤害不会这么严重

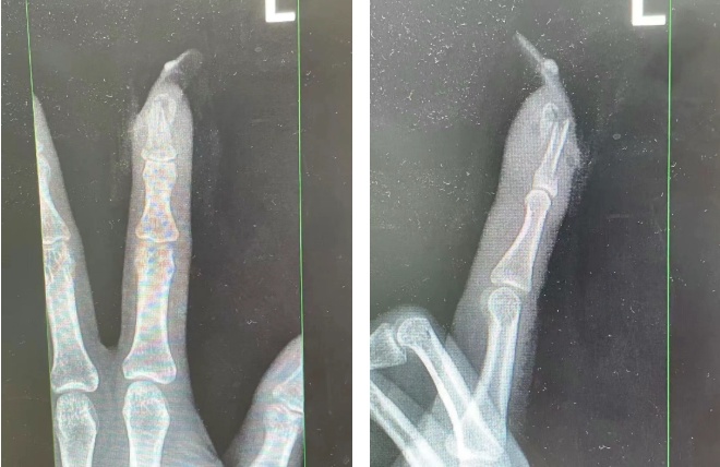
王女士受伤手指的X光影像。图源:杭州市临平区中西医结合医院
万幸经过手术
王女士恢复良好
相关案例
尽管王女士这样属于极端个例
但造型复杂的美甲
确实会对手部正常活动造成影响
这背后还有不少安全隐患
1
带钻美甲被“咬”住
2026年1月12日
湖南湘潭
一女子在洗碗时
自己的带钻美甲
不慎卡进水槽漏斗的圆孔中
消防员在接到求助后
立即到场展开救援
成功助女子脱困
2
洋芋刀卡住长美甲
2026年1月8日
云南大理
一名女子不慎将长美甲
嵌进洋芋刀缝隙中无法抽出
于是前往当地消防站寻求帮助
消防员使用专业工具
快速将洋芋刀从女子美甲上取下

3
“棒骨美甲”
2023年1月6日
黑龙江鹤岗
一女子吃棒骨时挖骨髓
结果骨头被美甲卡住取不下来

女子及时求助当地消防
消防员
把这款别具一格的“棒骨美甲”取下
消防提示
人人都有追求美的权利
但美丽的底色应是安全
建议美甲款式不要过于复杂
突出的大颗装饰物也不宜过多
另外也不要频繁美甲
指甲生长周期一般为3个月
因此两次美甲最好间隔3个月以上
做完美甲以后
在日常生活及外出时一定要注意保护
若美甲断裂导致受伤
应及时清洁伤口、止血
前往医院进行处理
若美甲不慎被卡难以自行取出
请立即报警求助
综合:中国消防 湖南消防 云南消防 杭州市临平区中西医结合医院
点击右上角
微信好友
朋友圈

点击浏览器下方“
”分享微信好友Safari浏览器请点击“
”按钮

点击右上角
QQ

点击浏览器下方“
”分享QQ好友Safari浏览器请点击“
”按钮
