临近春节
不少家庭已开启“大扫除模式”
除尘布新准备过年
然而
看似平常的“年前大扫除”
也可能藏着许多健康风险
据河南广播电视台《小莉帮忙》报道
近日
河南郑州一名6岁女孩发烧17天
送医检查后医生震惊地发现
孩子的脑子竟然被“啃”了20多个洞

据医生介绍
这个女孩是烟曲霉导致的感染
当时孩子随家人回长期空置的老房子
打扫卫生
短时间内吸入房子中大量霉变的粉尘
致使真菌侵入血液并扩散至脑部

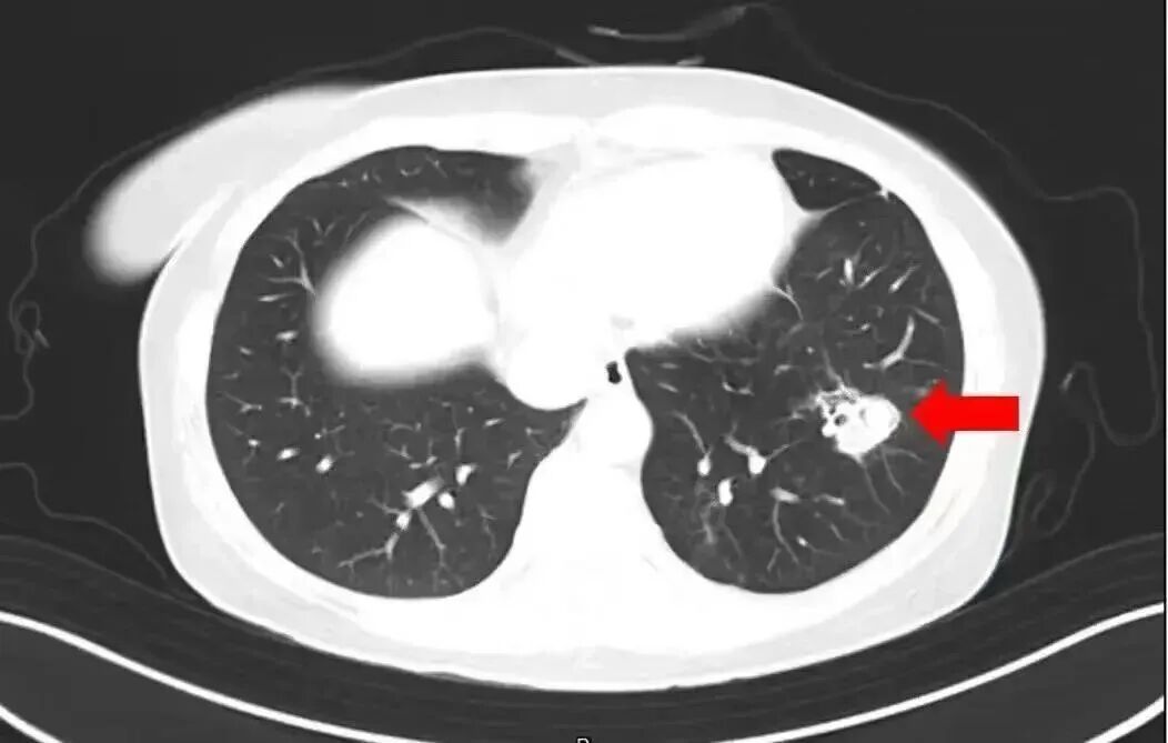
女孩的检查报告。图源:河南广播电视台《小莉帮忙》
类似事件并非个例!
2025年4月,浙江杭州一女子整理衣柜后出现发烧、咳嗽的症状,体温最高达40℃。医生问诊得知,该女子整理衣柜时发现柜内长了霉斑,便动手清理,但清理过程中没戴口罩。经检查,最终确诊其感染曲霉菌。

2025年1月,江苏扬州的张大爷为迎接春节开始大扫除,清扫过程中不慎吸入大量灰尘和霉菌孢子,导致哮喘发作。张大爷随即服用了常备的哮喘治疗药物,可症状反而逐渐加重。经检查,张大爷的肺部出现感染,确诊为肺曲霉病。
医生提醒
临近年关打扫房子
最好不让小孩在屋里
墙角发霉发黑要尽快处理
同时也要做好防护!
霉点会对人体造成哪些影响?
家里出现霉点不仅影响美观,还对人体呼吸系统、皮肤、肠道等有潜在威胁。有的霉菌甚至有潜在致癌风险,比如黄曲霉菌能分泌黄曲霉毒素,是一类致癌物。
1.侵袭呼吸系统
黑曲霉多附着在潮湿的淋浴间及洗漱台周围,容易侵袭孩子、老人或免疫力较弱的人群,诱发呼吸系统疾病和肺病;
瓜枝孢多附着在墙面,或浮在空气中,易引发哮喘和呼吸系统疾病。
烟曲霉等特定霉菌,对免疫力较弱的人,还可能带来致命的肺部感染。
2.诱发过敏
霉菌还是重要的过敏原,它能形成网状的菌丝体,产生大量孢子。霉菌孢子体积小,在空气中容易飞散,有些人会出现眼睛皮肤发红发痒、鼻塞、咳嗽等情况。
北京同仁医院曾对门诊过敏性鼻炎患者统计发现,霉菌是过敏性鼻炎的重要原因之一,且夏季更活跃。
3.引起胃肠炎
霉菌容易造成感染,比如念珠菌引发的食道炎及胃肠炎等。
家里出现霉菌如何清除?
霉菌青睐潮湿的环境,在温度20—30摄氏度,湿度80%以上的地方最容易繁殖。此外,长时间未清理的 空调,其内部易积累霉菌。
开窗通风,是最有效的除霉方法。应尽量在房间对角线方向上打开至少两扇窗户换气;或使用空调的 除湿功能来降低屋内湿度。
浴室内最易滋生霉菌,避免在浴室内晾衣物;日常可在打扫后使用除霉的专用喷雾剂。
家中大扫除,清除霉菌的时候要注意戴口罩、戴手套,以免吸入引发疾病。除了佩戴防尘口罩外,还需要视情况 戴上护目镜,以防清洁剂溅入眼睛,造成眼部损伤。

年前大扫除
这些清洁剂别“混搭”
清洁剂各有不同功效,不要以为混合使用效果会更好,有时可能产生有毒气体或导致灼伤。
洁厕灵+84消毒液=氯气中毒
氯气是一种有毒且具有强烈刺激性的气体,会使人恶心、呕吐、胸口疼痛和腹泻。
84消毒液+洗衣液=有毒物质
洗衣液和84消毒液混合会发生中和反应,降低清洁效果,甚至产生有毒物质。
洗洁精+洁厕灵=清洁效果减弱
洗洁精是碱性清洁剂;洁厕灵属于酸性清洁剂。二者混合会发生中和反应,导致清洁效果大打折扣。
春节前“大扫除”
请采取必要的防护措施
戴上口罩、手套
按需佩戴护目镜
转发!提醒!
综合:中国青年报、河南广播电视台《小莉帮忙》、国家应急广播、央视网、扬州大学附属医院等
点击右上角
微信好友
朋友圈

点击浏览器下方“
”分享微信好友Safari浏览器请点击“
”按钮

点击右上角
QQ

点击浏览器下方“
”分享QQ好友Safari浏览器请点击“
”按钮
