急救手法是“双刃剑”,精准应用才能救人,一旦错误使用则可能会致命。
近日,江苏常州一名73岁老人因食用年糕不慎卡喉,家属情急之下使用海姆立克法施救,却因操作不当导致其胃部被压破,形成约4厘米撕裂伤口。
据家属描述,老人进食年糕仅5分钟,便突发剧烈呛咳,随后迅速出现呼吸困难、意识不清。情急之下,家属立即采用“海姆立克急救法”按压腹部,却未能缓解症状,老人反而情况愈发危急,最终拨通120求助。
据悉,老人曾两次发生脑出血,因而吞咽功能有一定障碍,这也是导致其此次食物卡喉的直接原因。

医护人员迅速启动窒息抢救流程,使用可视喉镜进行气道探查,在清晰视野下精准定位并夹出残留的年糕异物。但此时老人自主呼吸仍未恢复,血氧饱和度持续偏低,团队果断实施气管插管,连接呼吸机辅助呼吸,待患者平稳后进行了CT的检查。
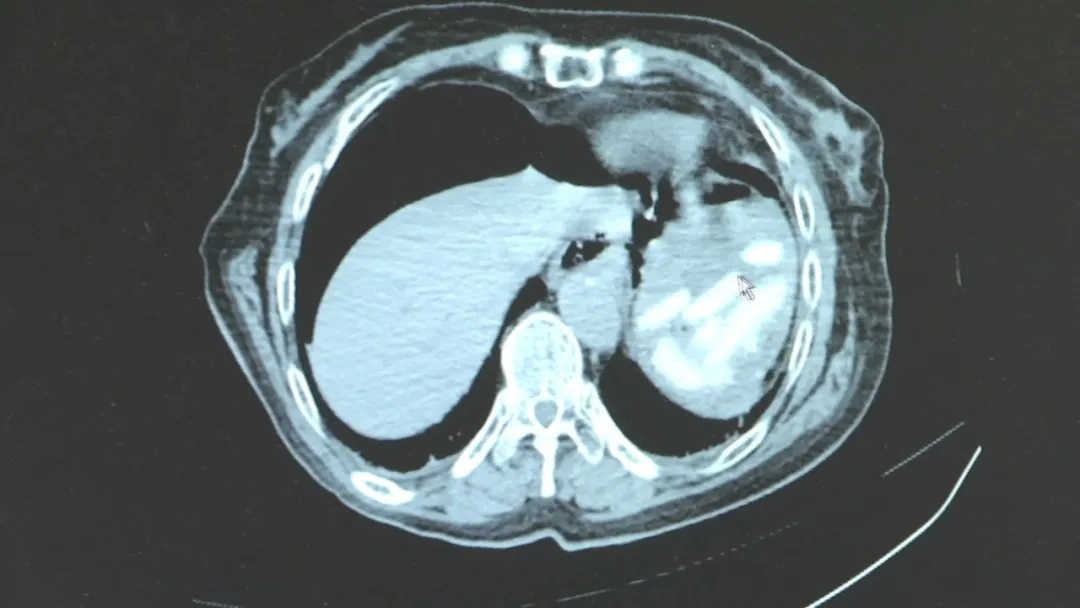
谁承想,CT影像一显,情况远比表面凶险:患者的胃部破裂,在胃小弯侧形成了约4厘米的破口,腹腔里存在大量积气体,更发现了大量尚未消化的年糕。医疗团队当机立断,将患者转入胃肠外科进行紧急手术。

结合家属的急救操作描述,医生判断这可能是不规范使用海姆立克急救法导致的严重并发症——过度用力按压腹部,且按压位置偏差,不仅未能有效排出气道异物,反而造成了消化道破裂的二次伤害。
消化道破裂属于急症,若不及时手术,大量胃内容物进入腹腔会引发严重感染,危及生命。

经过48小时的多学科联合救治,老人的生命体征逐渐平稳,成功脱离呼吸机,目前已从ICU转入普通病房进一步康复治疗。
医生特别提醒:海姆立克急救法仅适用于完全窒息、无法咳嗽的患者,施救时切忌盲目用力捶打腹部,尤其是老年人及体弱者。同时建议家属避免给吞咽功能较弱的老人喂食年糕、汤圆等黏性食物,以防发生意外。
海姆立克急救法是应对气道异物梗阻的核心急救技术,自发明以来拯救了无数生命。但它并非“简单按压”,尤其是针对老年人群体,身体机能衰退、脏器脆弱,不规范操作极易引发严重后果,如消化道穿孔、肋骨骨折、内脏损伤等。

哪些误区会酿成风险?
1、按压位置错误:未对准肚脐上两横指的胸骨下方区域,而是直接按压胃部或肚脐,易导致胃破裂、消化道穿孔;
2、按压力度过大:忽视老年人脏器耐受度,盲目用力冲击,可能造成肋骨骨折、气胸;
3、操作时机不当:患者已完全失去意识时仍强行实施腹部冲击,可能导致异物进一步深入气道,加重窒息;
4、适用人群混淆:对孕妇、肥胖者未采用胸部冲击法,仍沿用腹部冲击,增加损伤风险。
综合:荔枝新闻、武进新闻、常州市第七人民医院
点击右上角
微信好友
朋友圈

点击浏览器下方“
”分享微信好友Safari浏览器请点击“
”按钮

点击右上角
QQ

点击浏览器下方“
”分享QQ好友Safari浏览器请点击“
”按钮
