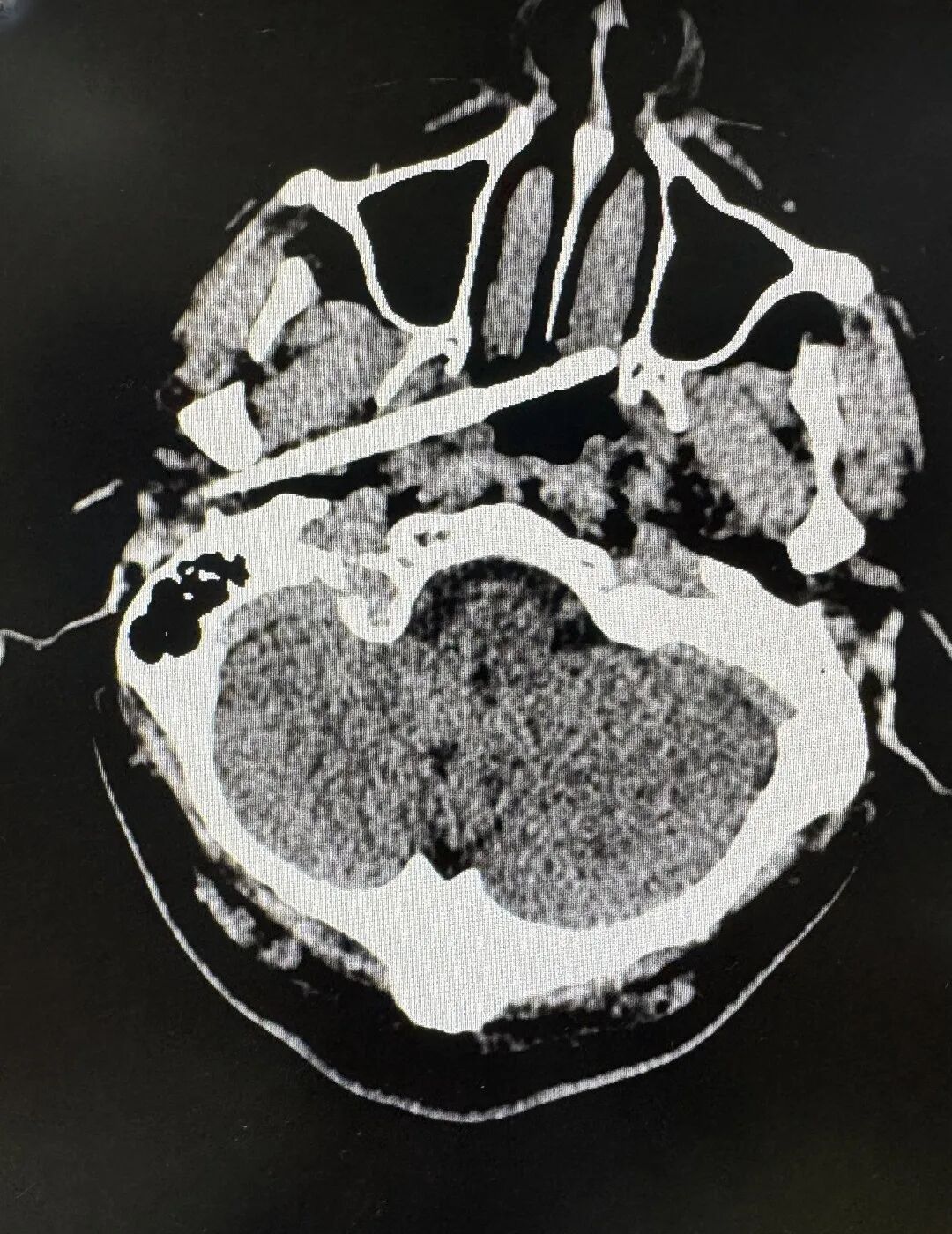
男子被一根筷子从外耳道上方插入
穿透侧颅底和咽旁的间隙
直抵鼻咽部
筷子尖端距离颈内动脉仅5毫米
近日,东莞45岁男子意外被一根筷子从耳部插入颅底,筷子被折断,断端残留在体内。更令人揪心的是,筷子不仅穿透了耳部骨质,筷子尖端距离颈内动脉仅5毫米。颈内动脉是大脑供血的主干线之一,一旦破裂,可导致瞬间大出血死亡。

1月10日,患者陈先生经紧急转诊来到珠江医院,“该区域解剖结构复杂,密布重要神经血管,筷子能避开大动脉,已属不幸中的万幸,但手术取出仍风险极高。”耳鼻咽喉头颈外科中心于超生主任医师介绍。
面对如此复杂且危急的创伤,创伤中心迅速启动严重创伤救治“绿色通道”,召集耳鼻咽喉头颈外科、神经外科、影像诊断科、麻醉科专家进行多学科会诊,共同研讨救治方案。
最终,经过2小时手术,这根危及生命的筷子被完整取出,邻近的重要血管和神经也得到了充分保护,患者未发生感染、出血或神经功能损伤,目前已转入普通病房康复。

于超生主任医师特别提醒:
尖锐异物刺入头部切勿自行拔除,应保持原位固定并立即就医。颅底区域神经血管密集,盲目处置可能导致二次损伤,甚至危及生命。
文/广州日报新花城记者:周洁莹 通讯员:朱振潮、马彦、韩羽柔
点击右上角
微信好友
朋友圈

点击浏览器下方“
”分享微信好友Safari浏览器请点击“
”按钮

点击右上角
QQ

点击浏览器下方“
”分享QQ好友Safari浏览器请点击“
”按钮
