同一天,
两个38岁宝爸因急性心梗被送进医院,
且都发生在剧烈运动后。
都说运动使人健康,
这到底是怎么回事?
打了10分钟羽毛球
心脏就受不了了
“我都瘦了10斤了,怎么还是没逃过心梗?”身高173cm,体重约90KG,外形壮实的孙先生(化名)是一位羽毛球教练。
浙江医院心血管内科吴少泽医师介绍,一年前,孙先生曾因胸闷就诊,被查出心脏右冠中段、远端钙化斑块,以及心脏三支主要血管之一前降支中段60%狭窄。孙先生觉得自己没有家族史,就拒绝了介入治疗,只接受药物治疗。他花了一年时间,轻了超过5公斤,没想到意外还是来了。前阵子,他带孩子到羽毛球场操练,手痒之下亲自上场挥拍仅10分钟左右,就因心前区剧烈绞痛被送进了急诊。
浙江医院心血管内科副主任汤益民主任医师分析,剧烈运动导致这位患者心脏的不稳定斑块破裂,进而造成前降支近段次全闭塞。所幸送医及时,孙先生的身体险情被成功化解。


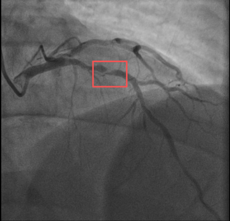
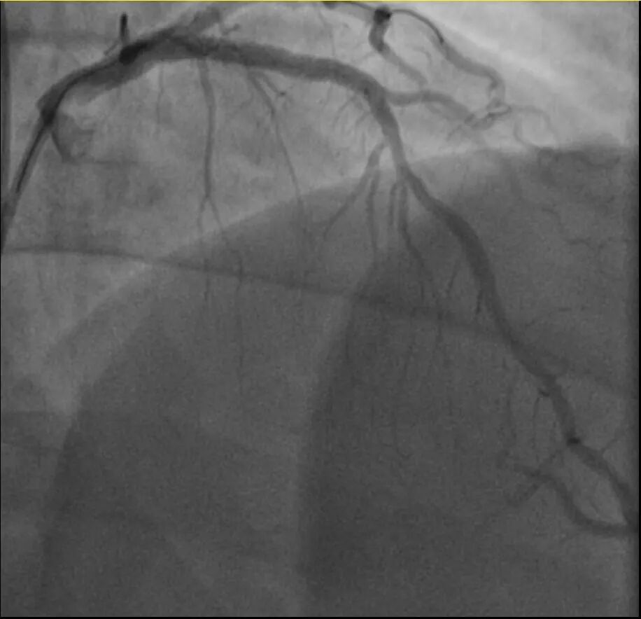
介入治疗前后影像图
爬了一次山,隔天就胸痛
“多亏了你们,我才能及时脱险。但我平时身体还不错,只有点高血糖,怎么会突然心梗呢?”同一天,38岁的钱先生(化名)也有类似遭遇。
他的血糖一直偏高,服药后控制不佳,但年轻的钱先生并没有太上心。周末,他和孩子爬了一座山,隔天,钱先生就因突发胸骨中段压榨性疼痛被送到了急诊,最后被证实也是心梗——心脏三支主要血管之一回旋支远段次全闭塞。
浙江医院心血管内科翁莹政医师介绍,这位患者来院时血糖12.79mmol/L(正常空腹值应该在3.9~6.1mmol/L),甘油三酯也超标。三高(高血压、高血脂、高血糖)是导致动脉粥样硬化(包括心脏的冠状动脉)的主要危险因素。所幸经过汤益民团队的及时介入治疗,钱先生也转危为安。
高危人群
不要随意给锻炼“上强度”
对于已有潜在心脏问题或高危因素的人群,突然、剧烈的运动却可能成为急性心肌梗死的“导火索”。

1.先做心血管风险筛查

2.科学规划运动方案

转自:浙江医院
点击右上角
微信好友
朋友圈

点击浏览器下方“
”分享微信好友Safari浏览器请点击“
”按钮

点击右上角
QQ

点击浏览器下方“
”分享QQ好友Safari浏览器请点击“
”按钮
