两个38岁的宝爸
都因急性心梗被送进医院
而且都发生在剧烈运动后!
一个陪娃打了10分钟羽毛球
一个陪娃爬了次山
都说运动有益健康
但这到底是咋回事?
打了10分钟羽毛球
心脏就受不了了
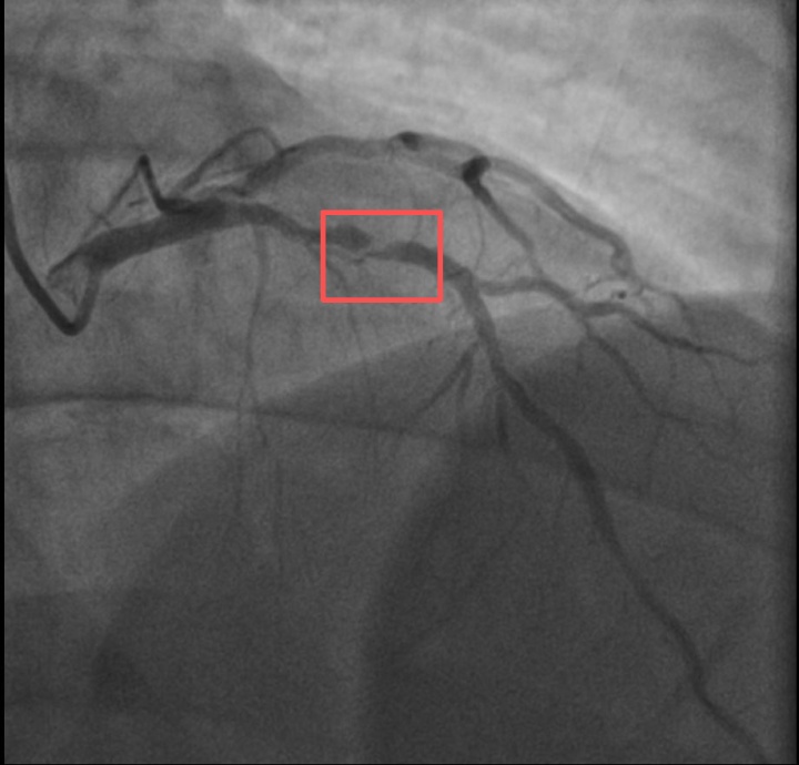
孙先生(化名)是一位羽毛球教练。一年前,他因胸闷就诊时被查出心脏右冠中段、远端钙化斑块,以及心脏三支主要血管之一前降支中段60%狭窄。当时考虑到没有三高的危险因素(可能为早发冠心病家族史),孙先生也坚信自己可以通过运动恢复健康,因此拒绝了介入治疗,只接受药物治疗。

孙先生介入治疗前影像图
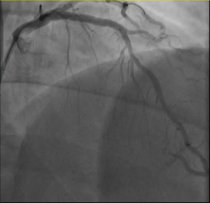
孙先生花了一年时间,体重从原来的96公斤瘦到90公斤,但让他没想到的是,意外还是来了。近日,他带孩子去练习羽毛球,没想到亲自上场挥杆仅10分钟左右,孙先生就因心前区剧烈绞痛被送进了急诊。
浙江医院心血管内科的医生分析,剧烈运动导致这位患者心脏的不稳定斑块破裂,进而造成前降支近段次全闭塞。所幸送医及时,孙先生的身体险情被化解。

介入治疗后影像图
爬了一次山
隔天就胸痛
钱先生的血糖一直偏高,服药后控制不佳,但年轻的他并没有太上心。周末,他和孩子爬了一座山,隔天就因突发胸骨中段压榨性疼痛被送到了急诊,最后被证实也是心梗——心脏三支主要血管之一回旋支远段次全闭塞。
医生介绍,钱先生来院时血糖12.79毫摩尔每升(正常空腹值应该在3.9~6.1毫摩尔每升),甘油三酯也超标。三高是导致动脉粥样硬化(包括心脏的冠状动脉)的主要危险因素,在冠状动脉粥样硬化早期,血管狭窄可能并不严重,仅当血管狭窄到一定程度时,在运动、情绪激动等情况下,心肌耗氧量增加,就可能造成心梗等急性心肌缺血事件。所幸及时治疗,钱先生也转危为安。
高危人群不要随意
给锻炼“上强度”
长期规律、适度的运动是预防心血管疾病最有效的方式之一,但对于已有潜在心脏问题或高危因素的人群,突然、剧烈的运动却可能成为急性心肌梗死的“导火索”。
如何判断运动是否过量?运动后血压会有所上升,但不会大于140每90毫米汞柱。如若你运动后发现血压大于180每110毫米汞柱,即便是后面下降到正常区间,仍说明运动过度,要及时减少运动量。
大家该如何预防
剧烈运动诱发的心梗?
浙江医院心血管内科副主任杜常青主任医师建议如下:
1. 先做心血管风险筛查
(1)通过常规体检了解自身血压、血脂、血糖水平,排查是否存在冠心病等基础疾病。
(2)运动前评估心脏耐受度:缺乏规律运动者可做运动负荷试验,判断心脏对运动的适应能力,避免盲目挑战超出身体承受范围的运动。
2. 科学规划运动方案
(1)遵循“循序渐进”原则:先从低强度运动(如快走、慢跑)开始,逐步增加运动量。
(2)做好运动前后准备:运动前花5~10分钟热身;运动后不要立刻停下,通过慢走、拉伸等方式平稳降心率。
(3)规避危险运动场景:避免在高温高湿、寒冷大风环境下长时间剧烈运动;熬夜、过度疲劳、饮酒、感冒后24小时内不进行高强度运动;运动中或运动后若出现不适,立即停止并休息。
运动遵医嘱
不冒进更安心~
做筛查,再开练
心梗风险早拿捏!
综合丨广州广播电视台、新闻坊、浙江医院、幸福福田
点击右上角
微信好友
朋友圈

点击浏览器下方“
”分享微信好友Safari浏览器请点击“
”按钮

点击右上角
QQ

点击浏览器下方“
”分享QQ好友Safari浏览器请点击“
”按钮
