近日
11岁的小明(化名)拿吸管、大头针
自制了一个吹箭玩具
本来应是往外吹“发射”
没想到吸气时
一下把大头针吸进胃里
大晚上紧急送到医院取针
小明家长告诉第一现场记者,“小明把大头针放进吸管里,想用力一吹可以弹得很远,他觉得这个东西好玩,当时可能预备吹的时候不留神,吸到喉咙里去了。”


胃里全是食物残渣
想取大头针没那么容易
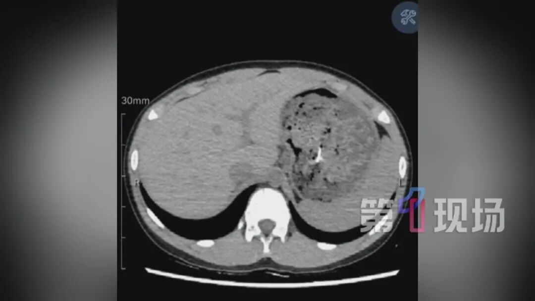
在当地医院CT检查显示,大头针已经进到胃腔里了。但孩子刚吃完牛肉面,胃里全是食物残渣,想要取出这个大头针没那么容易。医生评估后,建议立即转诊,家长便立马带着孩子去了南方医科大学深圳医院。

崔晓丙 副主任医师
南方医科大学深圳医院消化内科
小朋友也是幸运的,他是吸箭的时候,吸到喉咙直接吞下去,顺着食管的长轴下去。而我们人类食管其实有三个狭窄,最窄的地方应该也就1.5公分左右。如果这个针打横进到食管,很有可能在食管壁就穿孔了。
针尖极易划伤食管
孩子配合是手术的关键
孩子来到医院后,消化内科团队立刻开通绿色通道,但摆在医生面前的,有三大难题:
孩子胃里全是未消化的食物,全麻极易发生食物误吸,麻醉无法使用;
3.5厘米的大头针混在胃里的食物残渣中,要把它找出来,难度堪比大海捞针;
大头针尖锐、易滑动,传统的异物钳、网兜根本抓不住,一旦操作不当,针尖可能划伤食管黏膜,引发穿孔、出血。
面对这些棘手情况,医生们迅速制定方案,先用内镜在胃内残渣中尝试寻找,若不顺利则加用磁铁吸附大头针,若仍无法取出外科接手。

为了扩大视野、保护食管黏膜,消化内科崔晓丙医生采用“透明帽辅助进镜”的方式。胃里的食物残渣堆积,3名医生同步紧盯屏幕,对照家长提供的大头针照片,像侦探一样细致搜寻。
经过30分钟的专注搜寻,医生终于锁定了大头针的针尖位置——它正静静“躺”在食物残渣中,银色的针尖格外显眼。

崔晓丙 副主任医师
南方医科大学深圳医院消化内科
如果横着去取,一定会损伤食道粘膜,所以也是在做反复的尝试。中间小朋友开始呕吐,呕吐之后,他这胃腔就会巨大的变动,也会影响相应的操作。
陈依平 主管护师
南方医科大学深圳医院消化内科
小朋友无法控制的呕吐,甚至眼泪鼻涕也流,他当时也是比较难受的,但是他还是坚持下来了。他的配合是我们手术能够成功的一个关键因素,小朋友非常坚强。
术后并无大碍 次日即可进食
手术中取出的大头针大约3.5厘米,银白色的针已经被胃酸腐蚀变黑,一旦耽误的时间过长,后果不堪设想。

崔晓丙 副主任医师
南方医科大学深圳医院消化内科
小朋友后面恢复得很好,第二天就能正常吃饭了。
别把小物件给孩子当玩具
误吞异物不要尝试偏方
医生介绍,这些年医院为许多小朋友,取出过各样各样的异物,包括纽扣、电池、玩具、零件等等。医生提醒,家长还是要把零碎的小物件收好,更不要把小零件给孩子当玩具。
崔晓丙 副主任医师
南方医科大学深圳医院消化内科
不小心吞了异物之后,有一些民间偏方:吞米饭、喝醋等。其实都不是很安全,这种时候应第一时间到医院就医,中间尽量不要吃东西,也不要喝水。如果是空腹状态,我们也有可能做个麻醉,更安全更方便的取出来。
第一现场记者 | 杨语然
点击右上角
微信好友
朋友圈

点击浏览器下方“
”分享微信好友Safari浏览器请点击“
”按钮

点击右上角
QQ

点击浏览器下方“
”分享QQ好友Safari浏览器请点击“
”按钮
