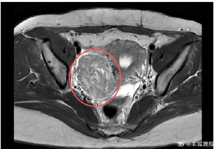
近日,来自广州的吴女士突然出现月经量增多、腰痛、尿频等现象,来到广医三院检查后发现,最大的子宫肌瘤已经堪比成年男性拳头大小,并长在了子宫旁的阔韧带上,长此以往可能影响肾功能。原来,吴女士八年前就已查出子宫肌瘤,但因无症状所以并未留意。医院妇科主任刘娟提醒,子宫肌瘤虽然是一种恶变概率不高的良性肿瘤,并非所有都需要手术,但仍需定期复查,若身体出现上述症状后需及时介入治疗。(记者:王沫依)

点击右上角
微信好友
朋友圈

点击浏览器下方“
”分享微信好友Safari浏览器请点击“
”按钮

点击右上角
QQ

点击浏览器下方“
”分享QQ好友Safari浏览器请点击“
”按钮
