同一天,两个38岁宝爸因急性心梗被送进医院,且都发生在剧烈运动后。都说运动使人健康,这到底是怎么回事?

该图片为AI数字内容
打了10分钟羽毛球,
心脏就受不了了……
“我都瘦了10斤了,怎么还是没逃过心梗?”身高173cm,体重约90KG,外形壮实的孙先生(化名)是一位羽毛球教练。浙江医院心血管内科吴少泽医师介绍,一年前,孙先生曾因胸闷就诊,被查出心脏右冠中段、远端钙化斑块,以及心脏三支主要血管之一前降支中段60%狭窄。当时考虑到没有三高的危险因素(可能为早发冠心病家族史),孙先生也坚信自己可以通过运动瘦身扭转健康状况,因此拒绝了介入治疗,只接受药物治疗,他花了一年时间,瘦身取得了阶段性成果,体重原来有96KG,如今轻了超过5公斤,但让他没想到的是,意外还是来了。
近期,他带孩子到羽毛球场操练,手痒之下亲自上场挥杆仅10分钟左右,就因心前区剧烈绞痛被送进了急诊。浙江医院心血管内科副主任汤益民主任医师分析,剧烈运动导致这位患者心脏的不稳定斑块破裂,进而造成前降支近段次全闭塞。所幸送医及时,接受汤益民团队的紧急介入治疗后,孙先生的身体险情被成功化解。


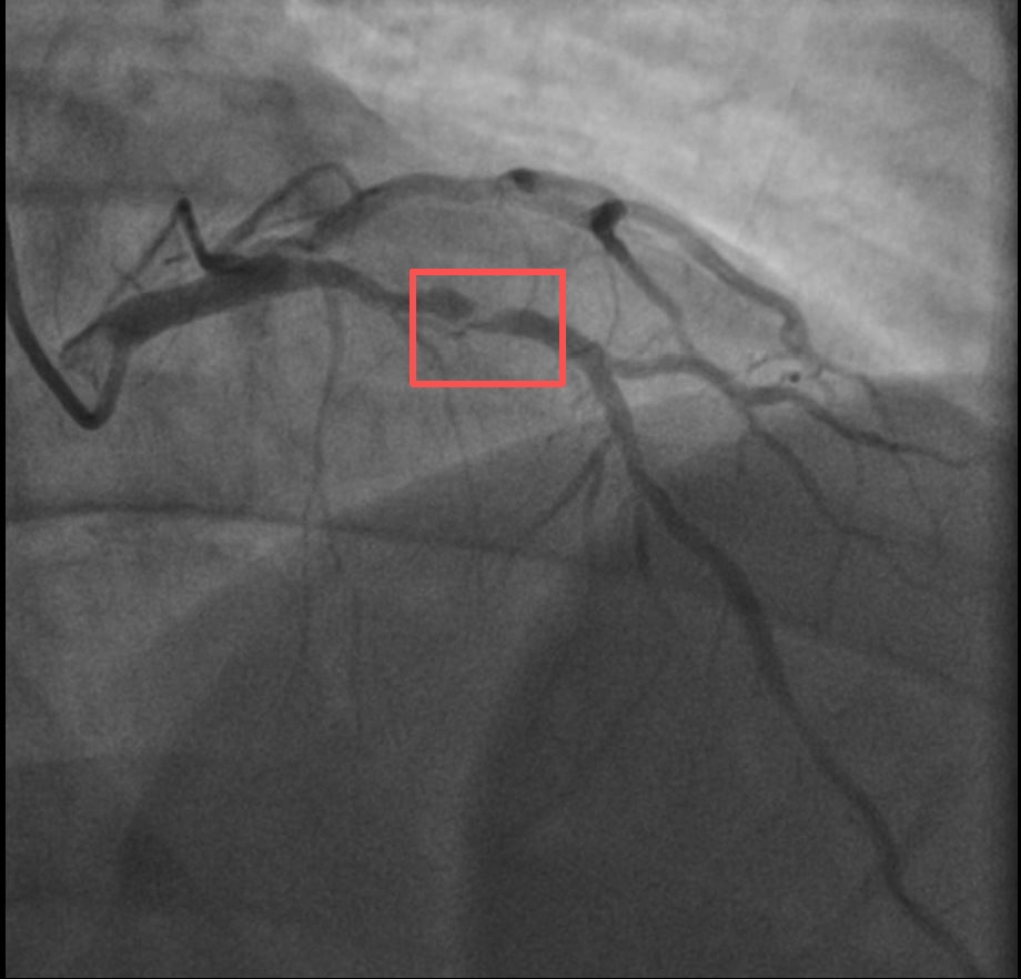
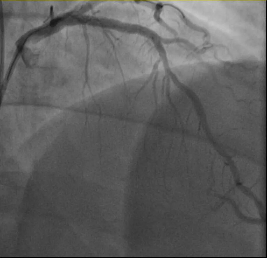
介入治疗前后影像图
爬了一次山,隔天就胸痛
“多亏了你们,我才能及时脱险。但我平时身体还不错,只有点高血糖,怎么会突然心梗呢?”同一天,38岁的钱先生(化名)也有类似遭遇。
他的血糖一直偏高,服药后控制不佳,但年轻的钱先生并没有太上心。周末,他和孩子爬了一座山,隔天,钱先生就因突发胸骨中段压榨性疼痛被送到了急诊,最后被证实也是心梗——心脏三支主要血管之一回旋支远段次全闭塞。
浙江医院心血管内科翁莹政医师介绍,这位患者来院时血糖12.79mmol/L(正常空腹值应该在3.9~6.1mmol/L),甘油三酯也超标。三高(高血压、高血脂、高血糖)是导致动脉粥样硬化(包括心脏的冠状动脉)的主要危险因素,在冠状动脉粥样硬化早期,血管狭窄可能并不严重,仅当血管狭窄到一定程度时,在运动、情绪激动等情况下,心肌耗氧量增加,就可能造成心梗等急性心肌缺血事件。所幸经过汤益民团队的及时介入治疗,钱先生也转危为安。

该图片为AI数字内容
高危人群不要随意给锻炼“上强度”
很多人知道,长期规律、适度的运动是预防心血管疾病最有效的方式之一,但对于已有潜在心脏问题或高危因素的人群,突然、剧烈的运动却可能成为急性心肌梗死的“导火索”。新闻里,猝然倒在羽毛球场、足球场及篮球场等激烈运动场合的中青年人并不鲜见。浙江医院心血管内科副主任杜常青主任医师解释,剧烈运动主要通过三种机制诱发心肌梗死:
1.斑块破裂:剧烈运动时,心率加快、血压升高,血流对血管壁的冲击力增强。若冠状动脉内存在不稳定的动脉粥样硬化斑块(由胆固醇、炎症细胞等组成),这种冲击可能导致斑块破裂。斑块内容物暴露于血液中,会迅速引发血小板聚集和血栓形成,从而阻塞冠状动脉,造成心肌缺血甚至坏死。
2.心肌氧供需失衡:剧烈运动使心脏负荷骤增,心肌耗氧量急剧上升。但对已有冠状动脉狭窄的患者而言,血流无法相应增加,难以满足心肌的供氧需求,进而引发心肌缺血,严重时可导致心肌梗死,即使没有斑块破裂。
3.冠状动脉痉挛:剧烈运动可能通过交感神经兴奋或电解质紊乱(如低钾、低镁)诱发冠状动脉痉挛,使血管突然收缩、管腔狭窄,甚至暂时中断血流。
前文提到两个38岁奶爸突发心梗,都可能与剧烈运动后心肌供血不足、不稳定斑块破裂相关。
那么,日常大家应该如何预防剧烈运动诱发的心梗呢?杜常青这样建议:

1.先做心血管风险筛查
(1)常规体检不可少:每年做血脂、血糖、血压、心电图检查,有家族心脏病史、长期吸烟、熬夜、肥胖以及合并血脂、血糖、血压等高危因素者,建议心血管内科专科评估,医生可能建议做心脏超声、运动负荷试验,必要时完善冠脉CTA等心脏的结构与功能评估,提前发现隐藏的心血管问题。
(2)运动前评估心脏耐受度:对于长期久坐或缺乏规律运动者,在开展高强度运动前,可做运动负荷试验,判断心脏对运动的适应能力,避免盲目挑战超出身体承受范围的运动。
2.科学规划运动方案
(1)遵循“循序渐进”原则:从不规律运动切换到规律运动时,先从低强度运动(如快走、慢跑)开始,每周逐步增加运动量,避免突然进行大强度、长时间运动。
(2)做好运动前后准备:运动前花5~10分钟热身,活动关节、激活心肺,避免血管和心脏突然受刺激;运动后不要立刻停下,通过慢走、拉伸等方式平稳降心率,减少冠脉痉挛风险。
(3)规避危险运动场景:避免在高温高湿、寒冷大风环境下长时间剧烈运动;熬夜、过度疲劳、饮酒、感冒后24小时内不进行高强度运动;运动中或运动后若出现胸闷、心悸、头晕等不适,立即停止并休息,症状不缓解需及时到急诊胸痛中心就医,切勿心存侥幸。
转自:浙江医院
点击右上角
微信好友
朋友圈

点击浏览器下方“
”分享微信好友Safari浏览器请点击“
”按钮

点击右上角
QQ

点击浏览器下方“
”分享QQ好友Safari浏览器请点击“
”按钮
