经常感觉到反酸、烧心……
很多人以为是肠胃问题
然而
这背后可能藏着一个
鲜为人察觉的健康隐患
小伙半个胃“钻”到胸腔里
近日,广州中山六院的周太成医生接诊了一位自述经常感觉消化不良的患者。该名男子林先生(化名)28岁,长期被反酸、嗳气、烧心等症状困扰,一直以为只是普通胃病,不舒服就去消化内科开药,每次吃药都有所改善,每年全身体检也并未发现异常,因此没进一步排查。
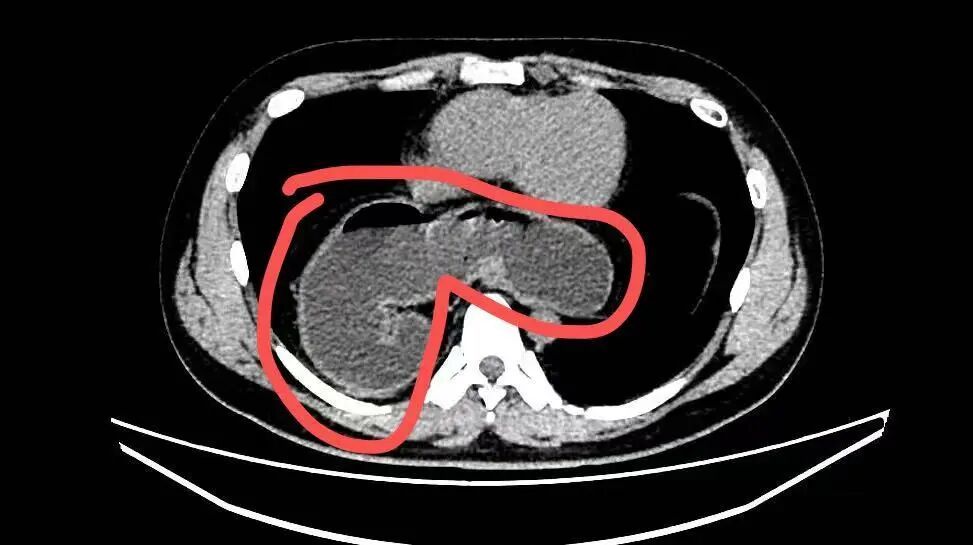
直到去年10月,因为反复咳嗽不止并出现迁延不愈的肺炎,林先生在当地医院就诊,肺部CT检查中发现:一部分的胃竟然“跑”进了胸腔里!

影像资料显示,小伙子的部分胃通过食管裂孔疝“逃跑”至胸腔。
由于情况复杂,林先生来到了中山六院疝与腹壁外科就诊。经胃镜检查明确诊断,他患的是食管裂孔疝合并反流性食管炎,且伴有胃扭转。经微创手术,术后三天林先生顺利出院。
为什么胃可以跑到胸腔里?
对此,周太成解析,在人体的胸腔和腹腔之间有一层扁平肌肉——膈肌,中间有一个专门让食管穿过的天然孔洞,这个孔洞便是食管裂孔。当食管裂孔异常扩大时,原本待在腹腔的胃甚至与胃部连接的肠、脾脏等都可能发生转移,挤进了人体上部的胸腔处,形成食管裂孔疝。形成食管裂孔疝后,一方面胃酸容易出现反流,引发烧心、胀气等不适症状,另一方面腹腔的器官容易发生“位移”,影响器官正常的工作,部分位移器官例如胃部甚至发生扭转,导致人体无法正常进食。
与不良的生活习惯有关
经了解,林先生虽然年轻,但是拥有多年的不良生活习惯史,“平时会抽烟、喝酒,每次喝白酒6、7两,一周两次或者更多。晚上睡得也比较晚,2、3点才睡,还爱吃宵夜。”
除了老年人因为机体退化、肌肉变薄导致食管裂孔变大外,不良的生活习惯也会诱发这一疾病。“中青年人出现‘疝’可能是长期受到刺激的结果,例如长期抽烟、喝酒、喝咖啡、吃辣食、熬夜、饮食不规律等行为会持续刺激消化道,或者是肥胖的人群,腹压较大,慢慢地将正常的食管裂孔撑大,导致‘门’或者‘门框’松了,逐步形成食管裂孔疝。”周太成表示。
长期消化不良
应考虑排查这一疾病
“吃饱饭了以后,如果感觉到反酸、烧心,我们把它叫胃食管反流,大家都很容易忽略它,觉得不是什么大事。”医生提醒,对于长期有消化不良症状,例如反酸、烧心情况,除了排查消化道疾病,也需考虑排查人体内部是否形成了食管裂孔疝导致症状的出现。
需要提醒的是,严重的食管裂孔疝可导致无法进食,这一情况多见于高龄的老年人,有的人甚至误以为是“大限将至”。实际上,对于这一良性疾病,通过微创手术可以根治,高龄也并非手术禁忌。
转自:广州日报
点击右上角
微信好友
朋友圈

点击浏览器下方“
”分享微信好友Safari浏览器请点击“
”按钮

点击右上角
QQ

点击浏览器下方“
”分享QQ好友Safari浏览器请点击“
”按钮
