在医学的世界里
有这样一个特殊群体——
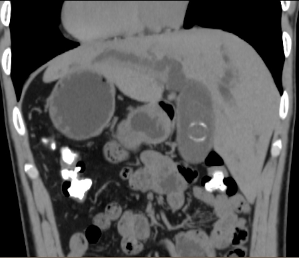
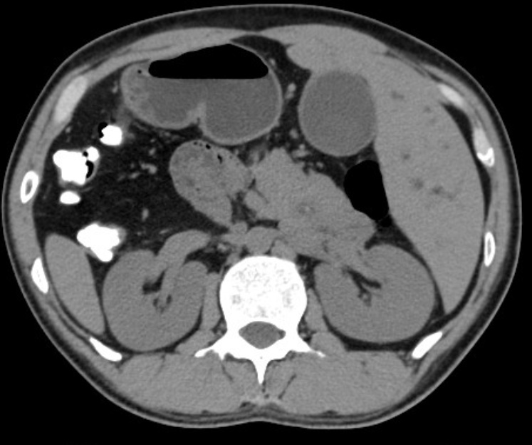
他们的心脏在右侧,肝脏在左侧……
五脏六腑的位置与大众完全相反
他们被称为“镜面人”
医学上称为“完全性内脏反位”
这种罕见的先天解剖变异发生概率
仅为百万分之一
当“镜面人”遭遇胆道疾病需要手术时
其解剖结构的“全盘反转”
对外科医生而言
无疑是技术与思维定式的终极挑战

反转的脏器CT影像

近日,福建医科大学孟超肝胆医院(福建医科大学吴孟超纪念医院)肝胆胰脾外科A区在李海涛主任医师的带领下,凭借精湛的技术、逆向的思维和充分的术前规划,成功为一名胆道结石的“镜面人”患者实施了精准的胆道手术。
患者陈先生因腹痛、肤黄就诊当地医院,经检查确诊为胆总管结石伴胆管炎。然而影像检查提示:右位心,完全内脏反位。面对这百万分之一的变异,当地的医生束手无策。陈先生慕名来到孟超肝胆医院就诊。

面对这一罕见病例
肝胆胰脾外科A区团队没有退缩
联合消化内科、影像科、麻醉科、
手术室护理团队
进行详细的术前讨论
制定了完善的手术方案
手术当日,在麻醉团队的精准护航下,李海涛作为主刀医生站在手术台前,开启了这场“镜像空间”的探索。
他需要克服数十年来形成的强大方向感惯性,以逆向思维指挥双手。最终,团队凭借对肝胆解剖的深刻理解、娴熟的“腹腔镜、胆道镜”镜下操作技巧,仅历时两个小时便完成手术。
术中李海涛巧妙利用患者的解剖变异,经扩张的胆囊管断端取净胆总管结石,避免长期带管困扰。在护理团队精心护理下,陈先生术后仅一周便顺利康复出院。
“镜面人”双镜联合胆道手术的成功实施,不仅解除了患者的病痛,更标志着孟超肝胆医院在应对罕见解剖变异及高难度肝胆手术领域的综合实力达到了新的高度。
记者 陈丹 通讯员 林春梅 文/摄
点击右上角
微信好友
朋友圈

点击浏览器下方“
”分享微信好友Safari浏览器请点击“
”按钮

点击右上角
QQ

点击浏览器下方“
”分享QQ好友Safari浏览器请点击“
”按钮
