罕见!福建发现1例“镜面人”,“全球仅百万分之一”,更棘手的是……

2026-01-03 07:48来源: 杭州日报

调查问题加载中,请稍候。
若长时间无响应,请刷新本页面

  你能想象吗?有人心脏长在右边,肝脏、脾脏全“长反了”,五脏六腑像照镜子一样颠倒,这种“镜面人”的概率,比中彩票头奖还低,全球仅百万分之一。近日,福建就发现了一例……

  而当“镜面人”遇上胆道疾病需要手术时,其解剖结构的“全盘反转”,对医生来说,简直是一场对技术与思维定式的终极挑战。

  五脏六腑全反了

  手术刀该往哪下?

  近日,福建医科大学吴孟超纪念医院肝胆外科迎来一位特殊患者陈先生(化名)。

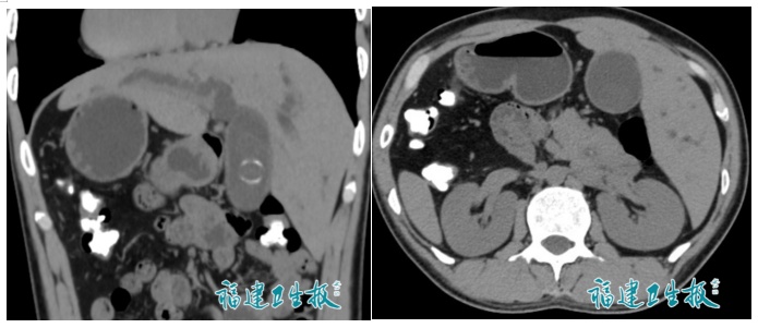
  陈先生因腹痛、皮肤发黄前往医院检查,检查结果令人意外:不仅查出有胆总管结石,更惊人的是,他的右位心、完全内脏反位,通俗说,就是“五脏六腑像照镜子一样长反了”!

  当地医院看到片子直摇头:“解剖结构全反了,手术风险太高,我们做不了。”

罕见!福建发现1例“镜面人”,“全球仅百万分之一”,更棘手的是……

  反转的脏器CT影像

  陈先生辗转多地求医无果,最终慕名找到李海涛主任医师团队。

  面对这百万分之一的罕见病例,李海涛一句话掷地有声:“只要有一线希望,就不能让患者绝望。”

  术前“逆向推演”

  把“镜像解剖”刻进脑子里

  手术难度有多大?打个比方:

  普通人做手术靠“左肝右脾”的方向感,而“镜面人”相当于要把所有解剖知识“倒过来用”——腹腔镜镜头下的视野是反的,器械操作要左右手互换,稍有不慎就可能误伤血管和胆管。

  为确保万无一失,李海涛及其团队开启“逆向备战”:联合影像科重建3D镜像模型,消化内科预判术中可能出现的胆道变异,麻醉科定制“反方向”监护方案,手术室护理团队反复演练器械摆放……

  李海涛表示:“我们要在手术台上‘活’成一个‘镜面人’,才能精准找到结石的位置。”

  两小时“镜像手术”:

  双镜配合,巧取结石不留后遗症

  手术当天,李海涛站在手术台前,眼前的腹腔镜画面是“反”的——本该在左边的肝脏,此刻在右边;本该在右边的胆管,此刻在左边。他双手握着器械,像“左手画方右手画圆”般逆向操作。

  腹腔镜负责“探路”,胆道镜深入胆管“抓石头”,李海涛巧妙避开变异的血管,从扩张的胆囊管断端精准取净结石,避免了传统手术“长期带T管”的痛苦。

  整个手术仅用2小时,出血量不到50ml,堪称“教科书级”的精准操作。术后一周,患者陈先生就已康复出院了。

  转自:福建卫生报

[责任编辑: ]
阅读剩余全文(
为你推荐
记者从交通运输部了解到,1月1日全社会跨区域人员流动量预计超2.08亿人次,同比增长21%。公路方面,跨区域人员流动量预计超1.87亿人次,同比增长18.1%,自驾出行的中短途流量明显增多。
02
跨年夜,位于拉萨的西藏自治区人民医院妇产科依旧灯火通明,医护人员穿梭在产房、手术室与病房之间,守护高原家庭的新希望。跨年夜,位于拉萨的西藏自治区人民医院妇产科依旧灯火通明,医护人员穿梭在产房、手术室与病房之间,守护高原家庭的新希望。
02
1月1日,消费者在北京一家门店选购家电产品。
02
辞旧迎新之际,各地举行精彩纷呈的跨年活动,迎接2026年的到来。辞旧迎新之际,各地举行精彩纷呈的跨年活动,迎接2026年的到来。辞旧迎新之际,各地举行精彩纷呈的跨年活动,迎接2026年的到来。
01
时值岁末,各企业铆足干劲,加紧生产,奋力冲刺“全年红”。时值岁末,各企业铆足干劲,加紧生产,奋力冲刺“全年红”。时值岁末,各企业铆足干劲,加紧生产,奋力冲刺“全年红”。
01
12月31日,圆明园第五届欢乐冰雪季试营业。据介绍,圆明园第五届欢乐冰雪季将于2026年1月1日正式拉开帷幕,为广大市民与游客献上一场冰雪盛宴。据介绍,圆明园第五届欢乐冰雪季将于2026年1月1日正式拉开帷幕,为广大市民与游客献上一场冰雪盛宴。
01
2025年12月31日6时40分,我国在文昌航天发射场使用长征七号改运载火箭,成功将实践二十九号卫星A星、B星发射升空,卫星顺利进入预定轨道,发射任务取得圆满成功。
31
12月30日,北京通州站正式投用,从此站至宝坻站、唐山站、北辰站、秦皇岛站最快26分钟、55分钟、56分钟、90分钟可达。12月30日,北京通州站正式投用,从此站至宝坻站、唐山站、北辰站、秦皇岛站最快26分钟、55分钟、56分钟、90分钟可达。
31
元旦将至,全国多地学校和幼儿园举办丰富多彩的校园活动,让孩子们在快乐喜庆中迎接新年的到来。元旦将至,全国多地学校和幼儿园举办丰富多彩的校园活动,让孩子们在快乐喜庆中迎接新年的到来。
31
自然资源部12月29日发布《黄岩岛珊瑚礁生态调查报告》,3523.67公顷的黄岩岛国家级自然保护区设立三个月来,珊瑚礁生态系统状况首次全面披露。
30
载入更多资讯
返回
返回

点击右上角微信好友

朋友圈

点击浏览器下方“”分享微信好友Safari浏览器请点击“”按钮

点击右上角QQ

点击浏览器下方“”分享QQ好友Safari浏览器请点击“”按钮