小文(化名)怎么也没想到
自己20岁的身体会突然“失控”
左手左脚像在跳一支停不下来的舞
怎么都控制不住
她以为是太累了
直到症状越来越频繁
这才匆匆去了
南方科技大学医院神经内科就诊
1
20岁女孩左手左脚失控“跳舞”5天
据小文介绍,她在一家餐饮店工作,5天前发现自己左侧手脚开始不自主地扭动,晚上症状还会加重,而且症状一天比一天重。
无缘无故,身体怎么会“跳舞”?神经内科主任白春艳接诊后,详细询问了小文来就医前的情况。小文的回答让她心里有了个猜测,于是立马给她做了一个随机血糖检查。结果显示血糖高达31.2mmol/L,是正常值的5倍!

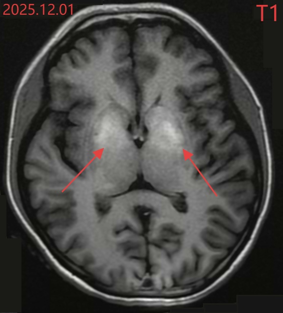
小文的颅脑MR结果
进一步的检查更令人震惊:糖化血红蛋白17.7%(正常应在6.5%以下),这意味着她的血糖在很长一段时间内都处于“失控”状态。颅脑MR显示,她大脑深处控制运动的基底节区域已经出现异常信号——这是长期高血糖对大脑的“灼伤”。
白春燕诊断,小文患上了糖尿病非酮症舞蹈病,这是一种罕见的糖尿病并发症,通常出现在长期血糖控制不佳的中老年糖尿病患者身上。可小文只有20岁,且此前从未被诊断为糖尿病。
经过胰岛素降糖、氯硝西泮联合氟哌啶醇改善舞蹈病症状治疗,小文的血糖稳步下降、舞蹈样运动逐渐缓解。到了第四天,症状已经明显缓解,到了第九天,小文左上肢不自觉的舞蹈样动作基本没有了。目前,小文已经出院,后续将继续跟踪治疗。
2
高血糖的缘由:
失眠+甜饮+一天一顿饭
白春燕表示,小文的高血糖源于她不健康的生活日常,看似普通的日常习惯,其实正在一点点拖垮身体。
据小文介绍,她的工作从上午十点开始,一直忙碌到晚上九点。她基本上一天只吃一到两顿正经饭,晚上下班后,没有饥饿感,什么也吃不下。这种“一顿管全天”的模式持续了3个月。
不爱吃饭的小文却热衷于甜饮,每周三次的奶茶或果茶已成为习惯。运动几乎从生活中消失,仅有的活动是从店里走回宿舍的短途路程。 但下班后的时间却长期被失眠占据,小文通常凌晨一点多躺下,却要辗转反侧到三点才能真正入睡。
小文还回忆,在手脚出现不受控扭动的同时,自己的体重也在以每天一斤的速度在快速下降。
3
“舞蹈病”多见于
血糖控制不佳的老年患者
据介绍,糖尿病非酮症舞蹈病,是糖尿病一个比较“偏门”的并发症,因为长期严重的高血糖,“烧坏”了大脑里专门管“动作协调”的区域。所以导致大脑的指令乱了套,身体的一部分(通常是单侧的手臂和腿)会不受控制地、无目的地乱动,看起来就像在不由自主地“跳舞”或扭动,患者自己完全无法控制,而且“舞蹈”在紧张、情绪激动时会更明显。
医生表示,这个病比较罕见,一般情况下,它多见于血糖长期控制不佳的老年糖尿病患者。像小文这样20岁、新发糖尿病就以这个病为表现的,属于非常少见的情况,这也凸显了她长期不健康生活方式带来的极端代谢紊乱。不过通过及时治疗,预后通常良好,大多数患者经专业治疗后,“舞蹈”症状会在几天到几周内明显缓解或消失。
白春燕表示,目前糖尿病正越来越年轻化,二三十岁的患者逐渐增多。小文入院前一个月其实已经出现典型糖尿病症状——经常口渴、容易饿,但她并未重视,这是身体发出的求救信号。因此,年轻人也要定期体检,血糖检查简单快捷。
另外,尽量定时吃饭,避免长时间空腹后暴饮暴食;减少高糖饮料,水是最好的饮品;保证睡眠,尽量在11点前入睡;每周安排一定时间运动,哪怕只是快走。如果出现不明原因的体重快速下降、异常口渴、尿多,或者像小文这样出现不自主的身体运动,请务必及时就医。
转自深圳晚报
点击右上角
微信好友
朋友圈

点击浏览器下方“
”分享微信好友Safari浏览器请点击“
”按钮

点击右上角
QQ

点击浏览器下方“
”分享QQ好友Safari浏览器请点击“
”按钮
