正值柿子大量上市的季节
很多人的餐桌上
少不了柿子的身影



图源:微博
很多喜欢吃柿子的人
更是开启狂炫模式
但是过量食用柿子
很有可能对身体健康造成影响

来看看下面这个案例
↓↓↓
女子连吃3个柿子
肠子里切出一堆“石头”
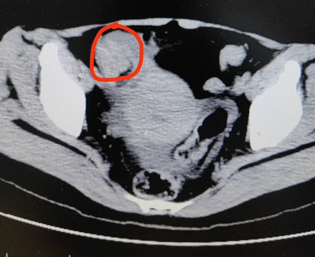
据“杭州日报”报道,近日,杭州一位冯女士(化名),在家一口气连吃3只柿子,晚餐又吃了2只大闸蟹。结果当天晚上,冯女士突然开始肚子痛,疼得全身冒冷汗,还不停呕吐。忍了两天后,冯女士终于忍无可忍,前往医院就诊。
医生高度怀疑,冯女士发生了绞窄性肠梗阻。最后手术从她的肠子里切出一堆“石头”,最大的直径有4公分,确诊“柿石症”。

而这样的例子
此前也有发生
↓↓↓
*划重点
柿子中含有较多的鞣酸和果胶,与虾、蟹、鱼、牛奶等高蛋白食物同食,因蛋白与鞣酸相遇,容易发生反应产生沉淀物——鞣酸蛋白,当胃里的胃酸较多的情况下,鞣酸蛋白和食物中的果胶、纤维素等,把食物残渣粘合在一起,在胃内形成胃柿石,造成胃部不适。
除了不和高蛋白食物一起吃
食用柿子
还要遵循以下原则
↓↓↓
柿子食用注意事项

不空腹吃
空腹食用柿子极易形成结石性团块,形成柿石症,出现腹痛、腹胀、恶心、食欲下降等症状,严重甚至会导致胃穿孔和出血。
不要和太酸的食物一起吃
柿子不宜同含果胶、鞣酸较多和酸性水果同食,如黑枣、酸枣、山楂、橘子、猕猴桃等,也不宜和醋一起食用,这样吃易出现胀气、结石的问题。
贫血和糖尿病患者慎食
柿子含鞣酸,易与铁质结合,从而妨碍人体对食物中铁质的吸收,所以贫血患者应少吃。
柿子的含糖量比较高,而且多为单糖和双糖,如葡萄糖、蔗糖、果糖等,容易引起血糖升高。所以,不建议糖尿病患者吃柿子。
此外,医生提醒:即便正常人群也不要贪多,每天1-2个足矣。
你喜欢吃柿子吗?
一天大概会吃多少个?
注意以上食用注意事项
不要超量了!
转自丨幸福福田
点击右上角
微信好友
朋友圈

点击浏览器下方“
”分享微信好友Safari浏览器请点击“
”按钮

点击右上角
QQ

点击浏览器下方“
”分享QQ好友Safari浏览器请点击“
”按钮
