鱼味道鲜美
不管是红烧还是清蒸
在江南水乡长大的人们
餐桌上总少不了这道美味
而与美味伴随而来的
还有致命的危机
浙江海宁一老人吃了一顿鱼
在“鬼门关”走了一遭!
惊险!鱼刺紧贴颈总动脉
十月的一个深夜,海宁市人民医院消化内科病房一片寂静。突然,刺耳的电话铃声划破了夜的宁静,值班医生许冬佳迅速接起电话:“消化内科吗?我是急诊科!有位老人被鱼刺卡喉,情况紧急,请立即会诊!”
急诊室里,一位六十岁左右的老人正痛苦地捂着喉咙,旁边是她焦急的儿子。见到医生,家属急忙上前:“医生,我母亲晚上喝鱼汤时一边吃一边说话,不小心卡了鱼刺。我们让她咽了两口饭,结果反而更严重了,现在连话都说不出来了!”
许医生心里一沉:这正是最危险的情况——吃饭时分心加上错误的应急处置,很可能让简单的鱼刺卡喉变成生命危机。
他温和地对老人说:"别担心,我们会帮你处理。现在先不要做吞咽动作,放轻松,我们先检查一下。"
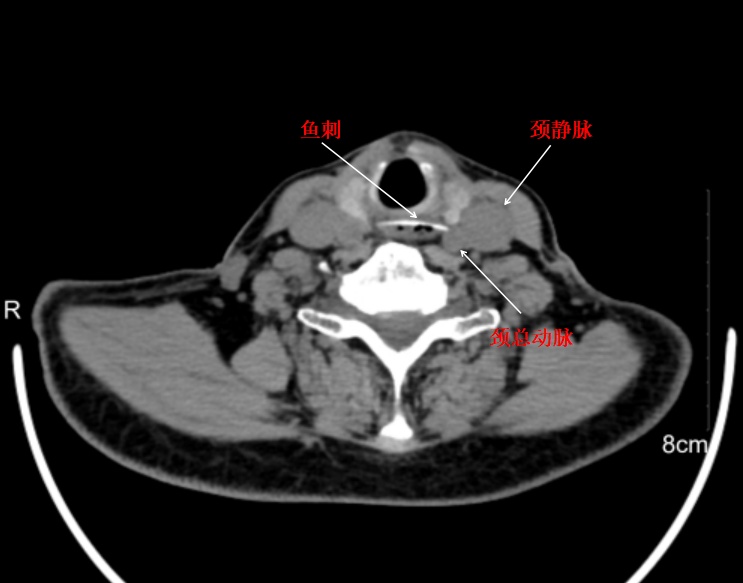
CT检查结果让经验丰富的许医生也捏了把汗:一根长达2.5厘米的鱼刺横梗在食管上段,尖锐的一端紧贴颈总动脉!这意味着每一次吞咽、每一次呼吸,鱼刺都可能刺破这根为大脑供血的重要血管,引发致命性大出血。

生死30秒
“必须立即手术!”许医生当机立断。
在快速向家属说明病情的凶险性后,他一边安抚老人情绪,一边组织内镜中心做好急诊内镜准备。这一刻,时间就是生命。
随即,老人被送往了内镜室。操作前,许医生深吸一口气,平稳地拿起胃镜。当内镜抵达食管上段时,显示屏上清晰地显示出那根致命凶器——鱼刺像一枚钉子深深扎入食管壁,距离颈动脉仅有毫厘之差。
“异物钳!”许医生冷静地指挥着。钳子在他的精准操控下,稳稳夹住鱼刺暴露的一端,轻柔而果断地向外拔出。整个过程只用了30秒,这根危及生命的鱼刺就被成功取出!


术后,老人瞬间感觉喉咙舒畅,激动地握住许医生的手连连道谢。许冬佳却只是微笑着说:“这是我们应该做的。您以后吃鱼一定要记得:细嚼慢咽,专心吃饭。”
鱼刺卡喉:这些错误做法会致命
误区一:喝醋软化鱼刺
醋确实能软化鱼刺,但需要长时间浸泡。饮用时醋液仅短暂接触鱼刺,根本无法起效,反而会刺激食管黏膜,加重损伤。
误区二:强行吞咽饭团
这是最危险的做法!饭团的推力可能让鱼刺越扎越深,甚至刺穿食管。如果鱼刺移位至紧邻大动脉的食管第二狭窄处,可能瞬间引发致命性大出血。
误区三:盲目催吐
剧烈的呕吐会使食管内压力骤增,可能加重鱼刺对食管壁的损伤,甚至导致食管穿孔。
正确处理方法:记住这四个步骤
立即停食:停止进食进水,减少吞咽动作
轻咳尝试:尝试轻柔咳嗽,看能否利用气流将浅表鱼刺冲出
寻求帮助:如果鱼刺位置较浅,可见,可让他人用镊子小心夹出
及时就医:若出现持续疼痛、吞咽困难或胸痛,立即就医!
安全吃鱼指南
专心进食:吃鱼时不说笑、不看电视
细嚼慢咽:充分咀嚼,感受是否有鱼刺
选材讲究:老人小孩尽量选择刺少的鱼种
光线充足:晚餐时保证充足照明,便于挑刺
提前处理:为老人和孩子提前剔除鱼刺
“这次取异物虽然只用了30秒,但背后的风险却不容小觑。”许冬佳医生最后提醒道,“品尝美味固然重要,但生命安全永远第一。记住正确的处理方法,才能享受美食无后顾之忧。”
综合:大潮网、海宁市人民医院
点击右上角
微信好友
朋友圈

点击浏览器下方“
”分享微信好友Safari浏览器请点击“
”按钮

点击右上角
QQ

点击浏览器下方“
”分享QQ好友Safari浏览器请点击“
”按钮
