高三女生“眼中风”永久致盲 黄金90分钟这些方法及时自救

2025-10-18 09:05来源: 央视新闻客户端

调查问题加载中,请稍候。
若长时间无响应,请刷新本页面

  很多人听说过“脑中风”,但对于“眼中风”可能比较陌生。近日,一则“高三女生眼中风永久致盲”的消息登上热搜。江苏一名高三女生左眼突然失明,错过最佳就医时间,永久致盲。“眼中风”是一种什么样的疾病?发生后如何自救及治疗?

  什么是“眼中风”?

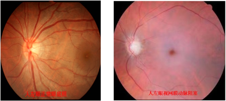
  “眼中风”在医学上称为视网膜中央动脉阻塞,是由于视网膜中央动脉发生阻塞而造成的视网膜急性缺血性疾病,这种眼科急症可导致患者视功能严重受损甚至完全丧失。

  视网膜就像照相机的胶卷底片,它将照入眼内的光转换为电信号,通过视神经传送至大脑,我们才能“看到”周围的事物。

高三女生“眼中风”永久致盲 黄金90分钟这些方法及时自救

  视网膜对局部缺氧极其敏感,如果新鲜的动脉血不能进入和滋养视网膜,就会发生无痛性的突然视力下降或丧失,也就是出现“眼中风”。

  需要注意的是,部分人在发生“眼中风”前会出现先兆症状:一只眼睛出现突发的、一过性黑曚,数秒或数分钟后视力自行恢复。很多人会误以为这是疲劳所致,睡一觉就好,殊不知这样很容易错过黄金治疗期。

  发生“眼中风”后

  如何自救及治疗?

  “眼中风”的特点是发病急、症状重、不可逆,发病后90分钟内为黄金治疗期。一旦视网膜中央动脉缺血、坏死,错过最佳治疗时间,视力恢复的可能性非常小。发生“眼中风”后,应该如何自救?

  首先应保持冷静,第一时间赶往医院眼科急诊。

  家中如备有急救药物硝酸甘油,可舌下含服,以扩张视网膜中央动脉。

  在到达医院前,用手掌按压眼球10秒,突然放松压迫,不断重复这个动作,持续10到15分钟,以减轻视网膜动脉灌注阻力,降低眼压。

  预防“眼中风”

  记住以下关键点

  视网膜中央动脉阻塞多见于老年人。它的发生与高血压、高血糖、高血脂、心脏病等疾病密切相关。老年人血管弹性下降,管壁硬化,再加上老年人常有各类基础病,很容易罹患“眼中风”。

高三女生“眼中风”永久致盲 黄金90分钟这些方法及时自救

  近年来,由于压力大、用眼过度、基础疾病等因素,“眼中风”的患者呈年轻化趋势。预防“眼中风”,记住以下关键点↓

  “三高”人群低盐、低脂饮食,遵医嘱按时、按量服药,从源头上预防“眼中风”。

  避免过度疲劳及紧张,保持心情愉快。

  改变不良的生活习惯,避免用眼过度,不要熬夜。

  有心脑血管慢性疾病的患者,应至少半年做一次眼底检查,及早发现风险。

  (央视新闻客户端综合)

[责任编辑: ]
阅读剩余全文(
为你推荐
在太原市热力集团有限责任公司中继能源站,工作人员检查、记录设备运行情况(10月19日摄)。为应对冷空气影响,山西省太原市于10月19日提前启动供热工作,并通过加强巡检、24小时监控等措施,保障群众温暖舒适过冬。
21
10月20日,安徽送变电工程有限公司检修人员在古泉换流站进行检修作业。10月17日至10月23日,准东-皖南±1100千伏特高压直流输电工程的受端站——安徽宣城古泉换流站迎来年度停电检修。
21
位于青海省海南藏族自治州的龙羊峡库区地处黄河上游,依托库区丰富的冷水资源和优越的生态环境,当地发展起小银鱼特色渔业。位于青海省海南藏族自治州的龙羊峡库区地处黄河上游,依托库区丰富的冷水资源和优越的生态环境,当地发展起小银鱼特色渔业。
21
10月18日,在四川省眉山市仁寿县钟祥镇龙桥社区,村民在四川农业大学科技示范点整理收获的香稻。农业农村部最新农情调度显示,2025年全国秋粮收获近七成。农业农村部最新农情调度显示,2025年全国秋粮收获近七成。
20
随着气温降低,各地提前部署、多措并举,确保市民温暖过冬。随着气温降低,各地提前部署、多措并举,确保市民温暖过冬。随着气温降低,各地提前部署、多措并举,确保市民温暖过冬。
20
国庆假期后,机票、酒店等价格下降,不少游客来到海南享受舒适惬意的错峰游。国庆假期后,机票、酒店等价格下降,不少游客来到海南享受舒适惬意的错峰游。国庆假期后,机票、酒店等价格下降,不少游客来到海南享受舒适惬意的错峰游。
20
10月18日,一列满载进口物资的货物列车驶向中国铁路哈尔滨局集团有限公司绥芬河站(无人机照片)。记者从中国铁路哈尔滨局集团有限公司获悉,截至10月18日,中欧班列“东通道”今年实现进口货物2781.8万吨,进口中欧班列2669列274920标箱,贸易流动为国内国际产业链供应链注入稳定动能。
19
金秋时节,神州大地色彩斑斓,秋景迷人,吸引市民和游客赏景游玩,亲近自然。金秋时节,神州大地色彩斑斓,秋景迷人,吸引市民和游客赏景游玩,亲近自然。金秋时节,神州大地色彩斑斓,秋景迷人,吸引市民和游客赏景游玩,亲近自然。
19
10月18日,2025中国景德镇国际陶瓷博览会在江西景德镇陶博城国际会展中心开幕,吸引境内外1000余家采购商参与。10月18日,2025中国景德镇国际陶瓷博览会在江西景德镇陶博城国际会展中心开幕,吸引境内外1000余家采购商参与。
19
在贵州,“村超”“村BA”成为地区崭新“金名片”;滕王阁前,背诵《滕王阁序》的游客络绎不绝;文旅消费的综合带动作用日益凸显,演艺经济、夜间经济、票根经济等有效延展消费链条,群众多元消费需求在丰富多彩的文旅供给中不断得到满足。
18
载入更多资讯
返回
返回

点击右上角微信好友

朋友圈

点击浏览器下方“”分享微信好友Safari浏览器请点击“”按钮

点击右上角QQ

点击浏览器下方“”分享QQ好友Safari浏览器请点击“”按钮