男子肺部突然白了一大片!医生紧急提醒:几天便可引发重症

2025-10-16 15:51来源: 新闻坊

调查问题加载中,请稍候。
若长时间无响应,请刷新本页面

  近日

  湖北武汉一维修工程师

  在清理长期未开机的ATM机后

  出现头痛、高烧不退等症状

  起初以为是普通感冒

  结果服药后仍高烧不退

  就医后医生揪出致病菌

  ——军团菌

男子肺部突然白了一大片!医生紧急提醒:几天便可引发重症

  ▲ 视频截图

  高烧不退

  男子肺“白”了一大片

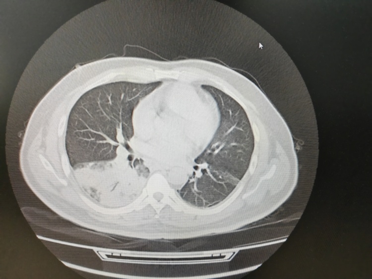
  49岁的张先生是一位维修工程师,一周前突然高烧到39℃。一开始以为是着凉感冒导致,张先生吃了退烧药,但效果不明显。

  在经历了三天反复高烧后,张先生意识到问题的严重性,赶紧到武汉市第四医院武胜院区就诊。

  呼吸内科主任沈三英详细询问,并为患者完善了相应检查。结果显示,张先生的左肺竟然“白”了一大片。气管镜检查后,团队再通过肺泡灌洗液NGS检测抓住元凶——军团菌。

男子肺部突然白了一大片!医生紧急提醒:几天便可引发重症

  张先生回忆,一周前他曾参与过ATM机维修,由于机器内部长期未清理,打开后灰尘较多,但他当时又没戴口罩。

  医生推断,张先生很可能是在维修时中招了军团菌。

  为什么ATM机里藏有军团菌?

  医生解释,机器运行时会产生大量热量,内部设计有小型水冷系统或散热风扇来降温,如果机器内部潮湿、有积水又长期没清理,就像个“小型空调冷却塔”,为军团菌繁殖创造条件。打开机器后,极易吸入含有细菌的微小水汽从而中招。

  所幸张先生就医及时,目前体温恢复正常并已顺利出院。

  军团菌是一种喜欢生活在温水里的细菌,自然界的水塘、溪流里都有它,但它更爱空调冷却塔、热水器、淋浴喷头、温泉、公共喷泉等人类创造的“温水环境”。虽不算常见,但其起病急、进展快,能在短短几天内引发重症肺炎,甚至呼吸衰竭。

  对于军团菌

  小坊此前曾报道过相关病例

  提醒坊友警惕注意

  2024年6月,长沙市中心医院接连收治了两名军团菌肺炎患者,均表现为持续发热、寒战、咳嗽等症状,同时伴有肺部感染,起病原因都与空调相关。医生提醒:长期未清洁的空调可能传播嗜肺军团菌。

男子肺部突然白了一大片!医生紧急提醒:几天便可引发重症

  2022年8月,山东青岛一名40多岁的男子因冲凉水澡后出现高热、呼吸衰竭、横纹肌溶解、多器官功能障碍……住进青岛市第三人民医院ICU抢救了近2周,才转危为安;最终,基因测序揪出致病元凶——“嗜肺军团菌”。

  2021年5月,湖南宁乡的刘先生出现了肌肉疼痛、头痛、胸痛等症状,还发起了高烧、呼吸困难。到当地医院就诊后,刘先生竟被告知肺、肝、肾等多器官功能障碍,病情十分危重,医院考虑为军团菌肺炎继发急性多器官功能衰竭。

  令刘先生没想到的是,引发病症的竟是自家爱车!因春夏时节,雨水不断,家里的小车停放近两个月没动,好不容易等到天气好转,他便开着爱车、吹着空调外出,却不料因此住进了医院重症病房。

  喜湿热夏秋高发

  病死率高达10%~15%

  “嗜肺军团菌”肺炎是因军团菌感染引起的疾病,又名退伍军人杆菌,因1976年首先在美国费城退伍军人中暴发而得名。该病多在夏秋季节高发。军团菌喜欢在温水及潮湿闷热的地方生存繁殖,所引起的嗜肺军团菌肺炎极易发展成重症肺炎威胁生命,病死率高达10%~15%。

  感染途径

  主要途径:吸入受污染人造水源(淋雨、雾化器、湿化器、莲蓬头、人造喷泉、空调系统等)产生含军团菌气溶胶导致感染。

  直接吸入被污染水源:管道污染有自来水的军团菌,通过刷牙、漱口等吸入下呼吸道引发感染,尤其是免疫受损宿主。

  军团菌感染具有以下特点,且吸烟、酗酒、免疫抑制、合并慢性心肺疾病等人群易感染。

  进展快(未经及时救治的患者可能在1周内病情迅速恶化)

  病情重(为重症肺炎的独立危险因素,高达44%患者入住ICU)

  病死率高(病死率达10%~15%,院内感染死亡率25%~50%)

  诊断率低 (延迟治疗与高死亡率相关)

  专家介绍,与一般肺炎相比,典型的嗜肺军团菌肺炎症状有突发高热、干咳、头痛、肌痛,伴有呼吸困难,有或无胃肠道症状,如恶心、呕吐和腹泻等,神经系统症状常有头痛、谵妄、定向力改变、精神状态改变、小脑功能障碍。早期可能很像普通感冒。

[责任编辑: ]
阅读剩余全文(
为你推荐
10月18日,在四川省眉山市仁寿县钟祥镇龙桥社区,村民在四川农业大学科技示范点整理收获的香稻。农业农村部最新农情调度显示,2025年全国秋粮收获近七成。农业农村部最新农情调度显示,2025年全国秋粮收获近七成。
20
随着气温降低,各地提前部署、多措并举,确保市民温暖过冬。随着气温降低,各地提前部署、多措并举,确保市民温暖过冬。随着气温降低,各地提前部署、多措并举,确保市民温暖过冬。
20
国庆假期后,机票、酒店等价格下降,不少游客来到海南享受舒适惬意的错峰游。国庆假期后,机票、酒店等价格下降,不少游客来到海南享受舒适惬意的错峰游。国庆假期后,机票、酒店等价格下降,不少游客来到海南享受舒适惬意的错峰游。
20
10月18日,一列满载进口物资的货物列车驶向中国铁路哈尔滨局集团有限公司绥芬河站(无人机照片)。记者从中国铁路哈尔滨局集团有限公司获悉,截至10月18日,中欧班列“东通道”今年实现进口货物2781.8万吨,进口中欧班列2669列274920标箱,贸易流动为国内国际产业链供应链注入稳定动能。
19
金秋时节,神州大地色彩斑斓,秋景迷人,吸引市民和游客赏景游玩,亲近自然。金秋时节,神州大地色彩斑斓,秋景迷人,吸引市民和游客赏景游玩,亲近自然。金秋时节,神州大地色彩斑斓,秋景迷人,吸引市民和游客赏景游玩,亲近自然。
19
10月18日,2025中国景德镇国际陶瓷博览会在江西景德镇陶博城国际会展中心开幕,吸引境内外1000余家采购商参与。10月18日,2025中国景德镇国际陶瓷博览会在江西景德镇陶博城国际会展中心开幕,吸引境内外1000余家采购商参与。
19
在贵州,“村超”“村BA”成为地区崭新“金名片”;滕王阁前,背诵《滕王阁序》的游客络绎不绝;文旅消费的综合带动作用日益凸显,演艺经济、夜间经济、票根经济等有效延展消费链条,群众多元消费需求在丰富多彩的文旅供给中不断得到满足。
18
10月17日,财政部、海关总署、国家税务总局三部门联合对外发布公告,调整海南离岛旅客免税购物政策,并将于11月1日起实施。吴京芳表示,此次调整就是为推进更高水平的对外开放,更好满足旅客多元化购物需求,进一步释放离岛免税政策效应。
18
在全运会射击赛场上,超世界纪录夺冠者不在少数,突破自己创造的世界纪录的也不算稀奇,但在超过世界纪录后还评价自己表现“中规中矩”的,大概只有刘宇坤。
18
当日上午,中国海军83舰编队抵达泰国梭桃邑港,开始对泰国进行为期4天的友好访问。当日上午,中国海军83舰编队抵达泰国梭桃邑港,开始对泰国进行为期4天的友好访问。当日上午,中国海军83舰编队抵达泰国梭桃邑港,开始对泰国进行为期4天的友好访问。
17
载入更多资讯
返回
返回

点击右上角微信好友

朋友圈

点击浏览器下方“”分享微信好友Safari浏览器请点击“”按钮

点击右上角QQ

点击浏览器下方“”分享QQ好友Safari浏览器请点击“”按钮