明明在控糖也中招?一查已有“大洞”!你以为的健康零食,正在“腐蚀”牙齿

2025-09-27 19:38来源: 健康杭州

调查问题加载中,请稍候。
若长时间无响应,请刷新本页面

  近日,杭州的李女士(化名)捂着半边脸来到杭州师范大学附属医院口腔医学中心,经检查,牙体牙髓专科负责人陈幸副主任医师发现她的牙齿已有深龋洞波及牙神经,必须做根管治疗。

  李女士感到很困惑:“我明明在控糖,怎么还老蛀牙?”详细问诊之后,陈幸找到了原因。

  原来,李女士虽然戒了奶茶,但还常喝无糖碳酸饮料、常吃看似“健康”的果干,它们正是蛀牙产生的“元凶”!

  无糖碳酸饮料里的酸,会直接酸蚀牙釉质导致“牙齿脱矿”,破坏力不输糖;果干黏稠、糖分高,特别容易粘在牙齿缝隙里,成了细菌滋生的温床。这些“隐形酸”与“隐形糖”悄然损害牙齿,待出现冷热刺激痛时,龋坏往往已深达牙齿内部。

明明在控糖也中招?一查已有“大洞”!你以为的健康零食,正在“腐蚀”牙齿

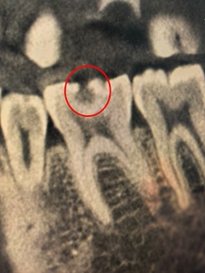
  接近牙神经的龋洞

  龋齿是怎么形成的?

  1

  糖分为细菌供能,酸性物质开始形成

  口腔中的细菌会以各类糖分(如奶茶中的添加糖、蛋糕上的奶油、水果中的果糖等)为养分,代谢产生酸性物质 。摄入糖分后几分钟内,牙齿表面的pH值便会下降,龋齿风险随之升高。

  2

  牙釉质遭受酸蚀,出现早期脱矿迹象

  牙釉质作为人体最坚硬的组织,是牙齿的保护层,但其对酸十分敏感。细菌产生的酸会溶解牙釉质中的羟基磷灰石晶体,初期表现为牙面出现白垩色斑,此为脱矿信号,若不及时干预,将进展为实质性缺损。

  3

  龋坏突破牙釉质,侵入牙本质

  一旦牙釉质被破坏,细菌便可沿牙本质小管向牙齿内部深入。此时牙齿可能对冷、热、甜、酸等刺激产生敏感或疼痛,意味着龋齿已进入中期,损害蔓延至牙本质。

  4

  感染深入牙髓,引发剧烈疼痛

  若仍不及时处理,细菌将进一步感染牙髓(即牙神经),导致牙髓炎,甚至波及根尖周围组织。此时常伴剧烈疼痛,需进行根管治疗(俗称“杀神经”),牙齿结构及功能将永久受损。

  如何正确防治龋齿?

  陈幸介绍,维护牙齿健康是一项系统工程,不是仅靠简单的“戒糖”就能一劳永逸。关键在于采取以下五项策略,从源头控制致病因素:

  1

  仔细查看食品成分,识别隐藏糖分

  “零蔗糖”不等于无糖:留意配料表中的果葡糖浆、蜂蜜、结晶果糖、麦芽糖浆等,这些成分同样能被细菌利用产酸。

  注意高碳水化合物食品:薯片、饼干等食物虽不甜,但其中的碳水化合物经唾液分解可转化为糖,间接促进龋齿发生。

  2

  控制摄糖频率,缩短牙齿酸蚀时间

  集中时间摄入糖分: 尽量在正餐后食用甜食,减少牙齿接触酸性环境的次数。

  进食后及时清洁: 用清水或漱口水漱口,清除口腔内残留的糖分及酸性物质。

  使用吸管饮用甜饮料: 减少液体与牙齿表面的直接接触,降低酸蚀风险。

  3

  选择有益零食,增强牙齿抵抗力

  适量食用奶酪、坚果: 富含钙、磷等矿物质,有助于调节口腔酸碱平衡,促进牙釉质再矿化。

  多食用高纤维蔬菜: 如芹菜、胡萝卜,咀嚼过程中可帮助清洁牙面。

  咀嚼无糖口香糖: 刺激唾液分泌,有助于冲刷食物残渣和促进牙面再矿化。

  4

  采用正确口腔清洁方法,有效去除菌斑

  选用含氟牙膏: 氟化物能增强牙釉质抗酸能力。

  日常使用牙线或冲牙器: 清除牙缝中的菌斑和食物残渣。

  掌握正确刷牙方法: 建议采用巴氏刷牙法,刷毛与牙面呈45度角,小幅度水平震颤,每次持续2分钟,尤其注意睡前彻底清洁。

  5

  定期口腔检查与专业护理

  定期检查: 成年人每年至少进行一次口腔检查,儿童建议每半年一次。

  定期洁牙: 建议每年至少进行一次洁牙。

  为儿童采取防龋措施: 如3~6岁定期涂氟,6~12岁恒牙期进行窝沟封闭。

  总结而言,蛀牙的形成是日常细微损害累积的结果。坚持识别隐藏糖分、进食后及时清洁、定期接受专业口腔护理,有助于长期维持牙齿健康,保持咀嚼“战斗力”!

  供稿:杭州师范大学附属医院

[责任编辑: ]
阅读剩余全文(
为你推荐
新华社香港10月1日电题:“站在甲板上,心里特别自豪”——香港市民参观戚继光舰、沂蒙山舰点燃爱国热情 正在执行远海综合实习访问任务的中国海军83舰编队9月30日上午抵达香港特区,从当日起至10月2日组织舰艇开放交流活动。
02
今年国庆与中秋“双节”叠加,各地丰富文旅供给,促进假日文化和旅游消费。今年国庆与中秋“双节”叠加,各地丰富文旅供给,促进假日文化和旅游消费。今年国庆与中秋“双节”叠加,各地丰富文旅供给,促进假日文化和旅游消费。
02
10月1日,在湖北省宜昌市,船舶有序通过三峡双线五级船闸(无人机照片)。长江三峡通航管理局最新统计数据显示,2025年前三季度,三峡枢纽累计通过船舶32018艘次,同比增长4.03%,累计通过量达1.28亿吨,同比增长11.15%;葛洲坝枢纽累计通过船舶33998艘次,同比增长5.2%,累计通过量达1.32亿吨,同比增长11.49%;共保障3330.45万吨民生物资过坝,持续为长江黄金水道效益发挥和沿江地方经济发展注入强劲动力。
02
10月1日清晨,隆重的升国旗仪式在北京天安门广场举行,庆祝中华人民共和国成立76周年。新华社记者 鞠焕宗 摄  10月1日清晨,隆重的升国旗仪式在北京天安门广场举行,庆祝中华人民共和国成立76周年。
01
当日是国庆节,各地群众以不同形式共庆祖国华诞。当日是国庆节,各地群众以不同形式共庆祖国华诞。当日是国庆节,各地群众以不同形式共庆祖国华诞。当日是国庆节,各地群众以不同形式共庆祖国华诞。
01
9月29日,河北省唐山市丰润区新城道幼儿园举行的“花好月圆 古韵迎中秋”主题活动中,小朋友在老师的指导下学习彩绘灯笼。随着国庆、中秋的临近,各地群众开展丰富多彩的活动,喜迎“双节”。
01
国庆、中秋将至,各地组织开展丰富多彩的活动,喜迎“双节”。国庆、中秋将至,各地组织开展丰富多彩的活动,喜迎“双节”。国庆、中秋将至,各地组织开展丰富多彩的活动,喜迎“双节”。
30
9月29日11时00分,我国在西昌卫星发射中心使用长征二号丁运载火箭,成功将试验三十号卫星01、02星发射升空,卫星顺利进入预定轨道,发射任务获得圆满成功。新华社发(杨熙 摄)  9月29日,我国在西昌卫星发射中心使用长征二号丁运载火箭,成功将试验三十号卫星01、02星发射升空。
30
时逢北京故宫博物院百年华诞,宁寿宫花园第一、二进院落将于9月30日起向观众开放。宁寿宫花园又称“乾隆花园”,位于紫禁城宁寿宫区(今北京故宫博物院珍宝馆)西北隅,是乾隆皇帝为晚年生活构建的理想居所。
30
经过三年多建设,新的世界第一高桥——贵州花江峡谷大桥于9月28日正式建成通车。
29
载入更多资讯
返回
返回

点击右上角微信好友

朋友圈

点击浏览器下方“”分享微信好友Safari浏览器请点击“”按钮

点击右上角QQ

点击浏览器下方“”分享QQ好友Safari浏览器请点击“”按钮